Psoas abscess

Psoas abscess
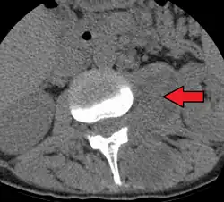
Paraspinal abscess in the psoas muscle
SpecialtyInfectious diseases, surgery, gastroenterology Edit this on Wikidata

Psoas abscess is a collection of pus (abscess) in the iliopsoas muscle compartment.[1][2][3] It can be classified into primary psoas abscess (caused by hematogenous or lymphatic spread of a pathogen) and secondary psoas abscess (resulting from contiguous spread from an adjacent infectious focus).[3]

Causes

Psoas abscess may be caused by lumbar tuberculosis, vertebral osteomyelitis, and pyelonephritis. Patients with Crohn's disease, diabetes, or immunocompromised states are at a higher risk of developing a psoas abscess.

Symptoms

Symptoms include flank pain, fever, and an inguinal mass. A positive psoas sign should raise suspicion of psoas abscess as a possibility. Owing to the proximal attachments of the iliopsoas, such an abscess may drain inferiorly into the upper medial thigh and present as a swelling in the region. The sheath of the muscle arises from the lumbar vertebrae and the intervertebral discs between the vertebrae. The disc is more susceptible to infection, from tuberculosis and Salmonella discitis. The infection can spread into the psoas muscle sheath.[4]

Treatment

Treatment may involve drainage and antibiotics.[5]

Additional images

Paraspinal abscess in the psoas muscle

See also

References

  1. Xu, Chengan; Zhou, Zhewen; Wang, Shouhao; Ren, Wenya; Yang, Xingdi; Chen, Hanzhu; Zheng, Wei; Yin, Qiaoqiao; Pan, Hongying (28 June 2024). "Psoas abscess: an uncommon disorder". Postgraduate Medical Journal. 100 (1185): 482–487. doi:10.1093/postmj/qgad110.
  2. "Psoas abscess". UpToDate. Retrieved 2023-08-08.
  3. 1 2 "Psoas abscess - Knowledge @ AMBOSS". www.amboss.com. Retrieved 2023-08-08.
  4. Drake, Richard (2012). Gray's basic anatomy, with STUDENT CONSULT. Philadelphia: Elsevier/Churchill Livingstone. ISBN 9781455710782.
  5. Melissas J, Romanos J, de Bree E, Schoretsanitis G, Askoxylakis J, Tsiftsis DD (April 2002). "Primary psoas abscess. Report of three cases". Acta Chir. Belg. 102 (2): 114–17. doi:10.1080/00015458.2002.11679276. PMID 12051083. S2CID 2502428.