Liver abscess
| Liver abscess | |
|---|---|
| Other names: Hepatic abscess[1] | |
![]() | |
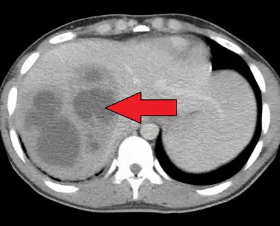
| Liver abscess on axial CT image: a hypodense lesion in the liver with peripherally enhancement. | |
| Specialty | General surgery, Infectious disease |
A liver abscess is a mass filled with pus inside the liver.[2] Common causes are abdominal conditions such as appendicitis or diverticulitis due to haematogenous spread through the portal vein.[3] It can also develop as a complication of a liver injury.
Types
There are several major forms of liver abscess, classified by cause:
- Pyogenic liver abscess, which is most often polymicrobial, accounts for 80% of hepatic abscess cases in the United States.
- Amoebic liver abscess due to Entamoeba histolytica accounts for 10% of cases. The incidence is much higher in developing countries.
- Fungal abscess, most often due to Candida species, accounts for less than 10% of cases.
- Iatrogenic abscess, caused by medical interventions
Signs and symptoms
The clinical presentation for a liver abscess is consistent with:[4]
- Fever
- Night sweats
- Malaise
- Vomiting
Causes
Risk factors for developing liver abscess can be due to infection, post-procedural infection and metastasis such as primary liver tumours, liver metastasis, biliary procedures, biliary injuries, biliary tract disease, appendicitis, and diverticulitis.
Major bacterial causes of liver abscess include the following:[5]
- Streptococcus species (including Enterococcus)
- Escherichia species
- Staphylococcus species
- Klebsiella species (Higher rates in the Far East)
- Anaerobes (including Bacteroides species)
- Pseudomonas species
- Proteus species
- Entamoeba Histolytica
However, as noted above, many cases are polymicrobial.
Diagnosis
In terms of the evaluation of liver abscess in the affected individual are the following are done:[6]
- CBC
- Ultrasound
- CT scan
-
a) Fluoroscopic view shows contrast in collapsed liver abscess red arrow b) fluoroscopic view shows contrast tracking from the liver abscess red arrow -
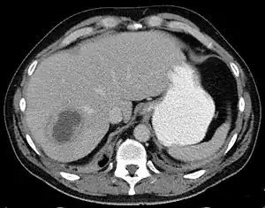
A large pyogenic liver abscess presumed to be the result of appendicitis
Differential diagnosis
As to the DDx in an individual with a liver abscess we look at:[4][7]
- Right lower lobe pneumonia
- Necrotic liver masses
Management
Antibiotics: IV metronidazole and third generation cephalosporin/quinolones, β-lactam antibiotics, and aminoglycosides are effective.
Prognosis
The prognosis has improved for liver abscesses. The mortality rate in-hospital is about 2.5-19%. The elderly, ICU admissions, shock, cancer, fungal infections, cirrhosis, chronic kidney disease, acute respiratory failure, severe disease, or disease of biliary origin have a worse prognosis.[4]
References
- ↑ "Hepatic Abscess | Johns Hopkins ABX Guide". www.hopkinsguides.com. Archived from the original on 2023-06-02. Retrieved 2025-07-22.
- ↑ "Liver Abscess Definition in Medical Conditions Dictionary". medconditions.net. 11 April 2018. Archived from the original on 5 April 2012. Retrieved 11 April 2018.
- ↑ MedlinePlus Encyclopedia: Pyogenic liver abscess
- ↑ 4.0 4.1 4.2 Akhondi H, Sabih DE (2019). "Liver Abscess". StatPearls. StatPearls Publishing. PMID 30855818. Archived from the original on 2021-05-03. Retrieved 2019-07-28.
- ↑ Webb GJ, Chapman TP, Cadman PJ, Gorard DA (January 2014). "Pyogenic liver abscess". Frontline Gastroenterology. 5 (1): 60–67. doi:10.1136/flgastro-2013-100371. PMC 5369710. PMID 28839753.
- ↑ "Liver Abscess Workup: Laboratory Studies, Imaging Studies, Percutaneous Aspiration and Drainage". emedicine.medscape.com. Archived from the original on 17 May 2024. Retrieved 22 July 2025.
- ↑ "Liver Abscess Differential Diagnoses". emedicine.medscape.com. Archived from the original on 17 May 2024. Retrieved 7 August 2025.
External links
| Classification | |
|---|---|
| External resources |
- Liver Abscess CT Images Archived 2016-03-04 at the Wayback Machine CTCases Liver Abscess CT Scan.
