Adenomyomatosis
| Adenomyomatosis | |
|---|---|
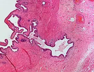
| Micrograph showing Rokitansky–Aschoff sinus. H&E stain. | |
Adenomyomatosis is a benign condition characterized by hyperplastic changes of unknown cause involving the wall of the gallbladder.[1] Adenomyomatosis is caused by an overgrowth of the mucosa, thickening of the muscular wall, and formation of intramural diverticula or sinus tracts termed Rokitansky–Aschoff sinuses, also called entrapped epithelial crypts.
Signs and symptoms
Adenomyomatosis is usually asymptomatic[2]
Pathophysiology
Rokitansky–Aschoff sinuses
Rokitansky–Aschoff sinuses are pseudodiverticula or pockets in the wall of the gallbladder. They may be microscopic or macroscopic. Histologically, they are outpouchings of gallbladder mucosa into the gallbladder muscle layer and subserosal tissue as a result of hyperplasia and herniation of epithelial cells through the fibromuscular layer of the gallbladder wall.[3]
Rokitansky–Aschoff sinuses are not of themselves considered abnormal but they can be associated with cholecystitis.[4]
They form as a result of increased pressure in the gallbladder and recurrent damage to the wall of the gallbladder.[5]
Associations
Black pigment gallstones can form in Rokitansky–Aschoff sinuses of the gallbladder after the fourth to fifth decades of life in absence of the typical risk factors for bilirubin supersaturation of bile.[3] Hence, they are associated with gallstones (cholelithiasis). Cases of gall bladder cancer have also been reported to arise from Rokitansky–Aschoff sinuses.[6]
Diagnosis
-
Individual with adenomyomatosis a) Axial computed tomography image b) photomicrograph -
Adenomyomatosis of the gallbladder as seen on ultrasound[7]
-
Non-contrast abdominal ultrasound and contrast-enhanced ultrasound (CEUS) of adenomyomatosis of the gallbladder:[8]
a The fundus of the gallbladder wall was thickened and the GB wall was obscure.
b The intramural echogenic foci were detected by high frequency transducer.
c CEUS—arterial phase (22 s) —heterogeneous hyper-enhancement and wall was intact.
d CEUS—venous phase (34 s) the anechoic spaces were more clear.
Abdominal ultrasound has low accuracy in differentiating gall bladder adenomyomatosis from cancer and is operator dependent. However, it is used as the exam of the first-line due to its wide availability. Ultrasound findings may show thickened gall bladder wall, tiny anechoic spaces (Rokitansky–Aschoff sinuses or RAS), and twinkling artifact (or comet-tail reverberation). Comet tail reverberation, which is due to reflections from cholesterol crystals, is a highly specific sign for adenomyomatosis.[9]
On CT scan, it may show rosary sign, showing mucosal epithelium with intramural diverticula.[9]
Magnetic resonance imaging also plays an important role in the diagnosis of Rokitansky–Aschoff sinuses.[10] In fat-suppression MRI, RAS present with small, rounded, high signal intensity foci, called “pearl necklace sign”.[9]
Treatment
In terms of management should there be right upper quadrant pain, a cholecystectomy would be in order[2]
Eponym
Rokitansky–Aschoff sinuses are named after Carl Freiherr von Rokitansky (1804–1878), a pathologist in Vienna, Austria and Ludwig Aschoff (1866–1942), a pathologist in Bonn, Germany.[11][12]
See also
References
- ↑ Ram MD, Midha D (August 1975). "Adenomyomatosis of the gallbladder". Surgery. 78 (2): 224–9. PMID 1154265.
- ↑ 2.0 2.1 Joshi, Jonathan K.; Kirk, Lindsey (2022). "Adenomyomatosis". StatPearls. StatPearls Publishing. Archived from the original on 16 November 2022. Retrieved 15 November 2022. Archived 16 November 2022 at the Wayback Machine
- ↑ 3.0 3.1 Cariati A, Cetta F (2002). "Rokitansky-Aschoff sinuses of the gallbladder are associated with black pigment gallstone formation: a scanning electron microscopy study". Ultrastructural Pathology. 27 (4): 265–70. doi:10.1080/01913120309913. PMID 12907372. S2CID 25219550.
- ↑ van Breda Vriesman AC, Engelbrecht MR, Smithuis RH, Puylaert JB (February 2007). "Diffuse gallbladder wall thickening: differential diagnosis". AJR. American Journal of Roentgenology. 188 (2): 495–501. doi:10.2214/AJR.05.1712. PMID 17242260.
- ↑ Stunell H, Buckley O, Geoghegan T, O'Brien J, Ward E, Torreggiani W (April 2008). "Imaging of adenomyomatosis of the gall bladder". Journal of Medical Imaging and Radiation Oncology. 52 (2): 109–17. doi:10.1111/j.1440-1673.2008.01926.x. PMID 18373800.
- ↑ Matsumoto T, Shimada K (November 2009). "A case of gallbladder cancer arising from the Rokitansky-Aschoff sinus". Japanese Journal of Clinical Oncology. 39 (11): 776. doi:10.1093/jjco/hyp149. PMID 19884193.
- ↑ "UOTW#79 - Ultrasound of the Week". Ultrasound of the Week. 16 April 2017. Archived from the original on 10 April 2019. Retrieved 27 May 2017. Archived 10 April 2019 at the Wayback Machine
- ↑ Tang S, Huang L, Wang Y, Wang Y (August 2015). "Contrast-enhanced ultrasonography diagnosis of fundal localized type of gallbladder adenomyomatosis". BMC Gastroenterology. 15 (1): 99. doi:10.1186/s12876-015-0326-y. PMC 4524444. PMID 26239485.
{{cite journal}}: CS1 maint: unflagged free DOI (link) - ↑ 9.0 9.1 9.2 Pang L, Zhang Y, Wang Y, Kong J (2018). "Pathogenesis of gallbladder adenomyomatosis and its relationship with early-stage gallbladder carcinoma: an overview". Brazilian Journal of Medical and Biological Research. 51 (6): e7411. doi:10.1590/1414-431x20187411. PMC 6002143. PMID 29791592.
- ↑ Yoshimitsu K, Honda H, Jimi M, Kuroiwa T, Hanada K, Irie H, et al. (June 1999). "MR diagnosis of adenomyomatosis of the gallbladder and differentiation from gallbladder carcinoma: importance of showing Rokitansky-Aschoff sinuses". AJR. American Journal of Roentgenology. 172 (6): 1535–40. doi:10.2214/ajr.172.6.10350285. PMID 10350285.
- ↑ synd/983 at Who Named It?
- ↑ Kanne JP, Rohrmann CA, Lichtenstein JE (2005). "Eponyms in radiology of the digestive tract: historical perspectives and imaging appearances. Part 2. Liver, biliary system, pancreas, peritoneum, and systemic disease". Radiographics. 26 (2): 465–80. doi:10.1148/rg.262055130. PMID 16549610.
External links
| Classification |
|---|
- 00859 at CHORUS