Cholesterolosis of gallbladder

Cholesterolosis of gallbladder
Other names: Strawberry gallbladder, gallbladder cholesterolosis
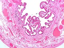
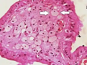
Micrograph of cholesterolosis of the gallbladder, with an annotated foam cell. H&E stain.
SpecialtyPathology, general surgery

Cholesterolosis of the gallbladder, also known as strawberry gallbladder, is a change in the gallbladder wall due to excess cholesterol.[1]

The name strawberry gallbladder comes from the typically stippled appearance of the mucosal surface on gross examination, which resembles a strawberry. Cholesterolosis results from abnormal deposits of cholesterol esters in macrophages within the lamina propria (foam cells) and in mucosal epithelium. The gallbladder may be affected in a patchy localized form or in a diffuse form. The diffuse form macroscopically appears as a bright red mucosa with yellow mottling (due to lipid), hence the term strawberry gallbladder. It is not tied to cholelithiasis (gallstones) or cholecystitis (inflammation of the gallbladder).[2]

See also

References

  1. Strawberry gallbladder - cancerweb.ncl.ac.uk.
  2. "Cholesterolosis of the Gall Bladder". Archived from the original on 2012-10-26. Retrieved 2022-03-12.

Further reading

  • Izzo L, Boschetto A, Brachini G, et al. (2001). "["Strawberry" gallbladder: review of the literature and our experience]". Il Giornale di Chirurgia (in italiano). 22 (1–2): 33–6. PMID 11272434.

External links

Classification