Foreign body aspiration
| Foreign body aspiration | |
|---|---|
| Other names: Aspiration; pulmonary aspiration; pulmonary aspiration syndrome; airway aspiration; foreign body inhalation | |
![]() | |
| Aspirated corn kernel lodged in the airway of an adult. | |
| Specialty | Emergency medicine, respirology |
| Symptoms | Choking, coughing, shortness of breath[1] |
| Complications | Aspiration pneumonia, chemical pneumonitis, lung abscess[2] |
| Usual onset | Sudden[1] |
| Risk factors | Parkinson's, multiple sclerosis, stroke, alcoholism, dementia, mechanical ventilation, nasogastric tube, vomiting[2] |
| Diagnostic method | Suspected based on history, supported by CXR or CT scan[1][3] |
| Differential diagnosis | Croup, esophageal foreign body, asthma[1] |
| Treatment | Abdominal thrusts, chest thrusts with back blows, bronchoscopy[4] |
| Frequency | Common[2] |
| Deaths | 2.5%[1] |
Foreign body aspiration, including pulmonary aspiration, is the entry of solids or liquids into the trachea or lungs.[2] Symptoms often include choking, coughing, and difficulty breathing;[1] though, some have few symptoms.[5] The person may turn blue or wheeze.[1][2] Generally it is sudden in onset.[1] Complications may include chemical pneumonitis, aspiration pneumonia, or lung abscess.[2]
Generally objects arrive from the mouth or stomach.[2] Most commonly it involves food, stomach contents, or saliva.[2] In children nutes, coins, and toys are frequently involved.[1] Risk factors include GERD or neurological problems, including swallowing problems.[2] Diagnosis may be suspected based on history and supported by CXR or CT scan.[1][3]
If the upper airway is blocked resulting in an inability to breath, abdominal thrusts or chest thrusts with back blows are recommended.[4] Otherwise typically bronchoscopy is carried out to remove the object in question.[1] Risk of death has been estimated at 2.5%.[1] Foreign body aspiration is common, occuring in about 3.6 million people in 2013.[2][6] Children under four years old are commonly affected, with boys more commonly affected than girls.[5][3] While small amounts of aspiration occur universally, in most it does not result in issues.[7]
Sign and symptoms

Symptoms vary based on the site of obstruction, the size of the foreign body, and the severity of obstruction.[8] 20% of foreign bodies become lodged in the upper airway, while 80% become lodged in a bronchus.[9] Signs are usually abrupt in onset and can involve coughing, choking, or wheezing; however, symptoms can be slower in onset if the foreign body does not cause a large degree of obstruction.[8] With this said, aspiration can also be asymptomatic on rare occasions.[10]
Typically there is sudden onset of choking.[8] In these cases, the obstruction is classified as a partial or complete obstruction.[8] Signs of partial obstruction include choking with drooling, stridor, but the person maintains the ability to speak.[8] Signs of complete obstruction include choking with inability to speak or absence of bilateral breath sounds and cyanosis.[8] A fever may be present. When this is the case, it is possible the object may be chemically irritating or contaminated.[11]
Foreign bodies above the larynx often present with stridor, while objects below the larynx present with wheezing.[9] Foreign bodies above the vocal cords often present with difficulty and pain with swallowing and excessive drooling.[12] Foreign bodies below the vocal cords often present with pain and difficulty with speaking and breathing.[12] Increased respiratory rate may be the only sign of foreign body aspiration in a child who cannot report if they have swallowed a foreign body.[9]
In adults, the right lower lobe of the lung is the most common site of pneumonia in foreign body aspiration.[8] This is due to the fact that the anatomy of the right main bronchus is wider and steeper than that of the left main bronchus, allowing objects to enter more easily than the left side.[8] Unlike adults, there is only a slight propensity towards objects lodging in the right bronchus in children.[11] This is likely due to the bilateral bronchial angles being symmetric until about 15 years of age when the aortic knob fully develops and displaces the left main bronchus.[11]
Complications
If the foreign body does not cause a large degree of obstruction, people may present with a chronic cough, asymmetrical breath sounds, or recurrent pneumonia.[8] If the aspiration occurred weeks or months ago, the object may lead to an obstructive pneumonia or a lung abscess. A chronic foreign body aspiration is a cause of unexplained recurrent pneumonia or lung abscess.[11]
Complications can develop if a foreign body remains in the airway. Complications may occur after removal of the object depending on the timeline of events.[8] Cardiac arrest and death are possible complications if a sudden complete obstruction occurs.[11] The most common complications are pulmonary infection, such as pneumonia or lung abscess.[11] This can be more difficult to overcome in the elderly population and lead to even further complications. Patients may develop inflammation of the airway walls from a foreign body remaining in the airway.[8] Airway secretions can be retained behind the obstruction which creates an ideal environment for subsequent bacterial overgrowth.[11] Hyperinflation of the airway distal to the obstruction can also occur if the foreign body is not removed.[13] Episodes of recurrent pneumonia in the same lung field should prompt evaluation for a possible foreign body in the airway.[13]
Whether or not the foreign body is removed, complications such as chemical bronchitis, mucosal reactions, and the development of granulation tissue are possible.[14]
Complications can also arise from interventions used to remove a foreign body from the airway.[15] Rigid bronchoscopy is the gold standard for removal of a foreign body, however this intervention does have potential risks.[15] The most common complication from rigid bronchoscopy is damage to the patient's teeth.[15] Other less common complications include cuts to the mouth or esophagus, perforation of the bronchial tree, damage to the vocal cords, pneumothorax, atelectasis, stricture, and perforation.[11]
Aspiration can result in death through a variety of mechanisms. This is most common in the elderly with known baseline risk factors, though it frequently goes unrecognized.[16]
Aspiration pneumonia
Aspiration pneumonia is when bacteria is carried into the respiratory tract via aspiration and subsequently causes an infection of the lung. Any substance or object that is aspirated into the airway has the potential of carrying infectious agents with it into the respiratory tract. It primarily affects older adults and can be especially severe in patients with learning disabilities, or disorders of abnormal swallowing.[17]
-
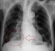
Obstructive pneumonia in the right lung (left side of the image) from a blockage in the respiratory tract. -
X-ray of pneumonia in lower right lung (bottom left of image) due to aspiration and airway obstruction.
Aspiration pneumonitis
Aspiration pneumonitis (Mendelson's syndrome) is chemical injury of lung tissue secondary to aspiration of regurtitated gastric acid.[18] The syndrome was first described among pregnant patients[19] after the administration of anesthesia, though it can occur in any scenario where gastric contents are aspirated.[20]
Causes
Most cases of foreign body aspiration are in children ages 6 months to 3 years due to the tendency for children to place small objects in the mouth and nose. Children of this age usually lack molars and cannot grind up food into small pieces for proper swallowing.[12] Small, round objects including nuts, hard candy, popcorn kernels, beans, and berries are common causes of foreign body aspiration.[8] Latex balloons are also a serious choking hazard in children that can result in death. A latex balloon will conform to the shape of the trachea, blocking the airway and making it difficult to expel with the Heimlich maneuver.[21] In addition, if the foreign body is able to absorb water, such as a bean, seed, or corn, among other things, it may swell over time leading to a more severe obstruction.[22]
In adults, foreign body aspiration is most prevalent in populations with impaired swallowing mechanisms such as the following: neurological disorders, alcohol use, advanced age leading to senility (most common in the 6th decade of life), and loss of consciousness.[14] This inadequate airway protection may also be attributed to poor dentition, seizure, general anesthesia, or sedative drug use.[22]
Neurologic
Any condition that results in depressed level of consciousness (such as traumatic brain injury, alcohol intoxication, drug overdose, medical sedation, stroke, and general anesthesia) can result in pulmonary aspiration of pharyngeal secretions.[23] Neurologic conditions that affect muscle coordination and posture (such as cerebral palsy, Parkinson's disease, muscular dystrophies, etc.) can also increase risk of aspiration.
Lung disease
Patients with a poor ability to clear their airway of secretions are at an increased risk of pulmonary aspiration.[24] This includes patients with pulmonary disease resulting in a weak cough, or poor forced expiratory volume. Any condition requiring mechanical ventilation is also at risk for aspiration.
Oropharyngeal disorders
Conditions which disrupt coordination of swallowing above the glottis put a patient at increased risk for aspiration. This is referred to as oropharyngeal dysphagia and can be a result of structural abnormalities (strictures, stenosis, mediastinal and neck masses, etc.), connective tissue diseases, neuropathy, or other central nervous system-related disorders (stroke, head injury, ALS, Guillain-Barre, etc.).[25]
Medications
Drugs can increase a person's risk of aspiration through multiple mechanisms.[26] Medications including sedatives, hypnotics, and antipsychotics can result in decreased level of consciousness and loss of cough and swallow reflexes.[27] Long-term use of proton pump inhibitors can lead to overgrowth of gastric bacteria and increase risk of aspiration.[28] Antihistamines and antidepressants can cause xerostomia (decreased oral secretions) which can also lead to aspiration.[24]
Children
Particularly common in children, when an object is inhaled from the mouth into the airway. Objects commonly include food, coins, toys and balloons.[29] Age and developmental delays are therefore also considered risk factors for aspiration. The lumen of the right main bronchus is more vertical and slightly wider than that of the left, so aspirated objects are more likely to end up in this bronchus or one of its subsequent bifurcations.[30]
Diagnosis
One aspect of the assessment is a history provided by any witnesses.[11]
Examination
A physical examination should include a general assessment in addition to heart and lung exams. Listening to breath sounds may give additional information regarding object location and degree of obstruction.[11] Drooling and trouble swollowing should be noted alongside classic signs of airway obstruction as these can indicate involvement of the esophagus.[31]
Imaging

Radiography is the most common form of imaging used in the initial assessment of a foreign body presentation. Most patients receive a chest x-ray to determine the location of the foreign body.[8] Lateral neck, chest, and bilateral decubitus end-expiratory chest x-rays should be obtained in patients suspected of having aspirated a foreign body.[9] However, the presence of normal findings on chest radiography should not rule out foreign body aspiration as not all objects can be visualized.[8] In fact, up to 50% of cases can have normal findings on radiography.[11] This is because visibility of an object depends on many factors, such as the object's material, size, anatomic location and surrounding structures, as well as the patient's body habitus.[32] X-ray beams only show an object if that object's composition blocks the rays from traveling through, making it radiopaque and appearing lighter or white on the image. This also requires it to not be stuck behind something that blocks the beams first.[32] Objects that are radiopaque include items made of most metals except aluminum, bones except most fish bones, and glass. If the material does not block the x-ray beams it is considered radiolucent and will appear dark which prevents visualization.[32] This includes material such as most plastics, most fish bones, wood, and most aluminum objects.[32]
Other diagnostic imaging modalities, such as magnetic resonance imaging, computed tomography, and ventilation perfusion scans play a limited role in the diagnosis of foreign body aspiration.[11]
Signs on x-ray include visualization of the foreign body or hyperinflation of the affected lung.[32] Other x-ray findings that can be seen with foreign body aspiration include obstructive emphysema, atelectasis, and consolidation.[12]
While, x-ray can be used to visualize the location and identity of a foreign body, rigid bronchoscopy under general anesthesia is the gold-standard for diagnosis since the foreign body can be visualized and removed with this intervention.[8] Rigid bronchoscopy is indicated when two of the three following criteria are met: report of foreign body aspiration by the patient or a witness, abnormal lung exam findings, or abnormal chest x-ray findings.[8]
-
Foreign body aspiration with bronchoscopy finding a nut in the right bronchus. Note right lung (left of image) is hyperinflated (darker).[33] -
Foreign body in the esophagus causing airway compromise.
Differential
Symptoms in adults may also mimic other lung disorders such as asthma, COPD, and lung cancer.[13]
Prevention
There are many factors to consider when determining how to decrease the likelihood of aspiration, especially in the extremely young and elderly populations.[34]
The major considerations in children are their developmental level in terms of swallowing and protecting their airway via mechanisms such as coughing and the gag reflex.[34] Also, certain object characteristics such as size, shape, and material can increase their potential to cause choking among children.[34] When there are multiple children in a shared environment, toys and foods that are acceptable for older children often pose a choking risk to the younger children.[34] Education for parents and caretakers should continue to be prioritized when possible. This can be through positions such as pediatricians, dentists, and school teachers as well as media advertisements and printed materials. This education should include educating caretakers on how to recognize choking and perform first aid and cardiopulmonary resuscitation, check for warning labels and toy recalls, and avoid high risk objects and foods.[22]
Thanks to numerous public advancements, such as the Child Safety Protection Act and the Federal Hazardous Substance Act (FHSA), warning labels for choking hazards are required on packaging for small balls, marbles, balloons, and toys with small parts when these are intended for use by children in at-risk age groups.[34] Also, the Consumer Product Safety Improvement Act of 2008 amended the FHSA to also require advertisements on websites, catalogues, and other printed materials to include the choking hazard warnings.[34]
The lungs are normally protected against aspiration by a series of protective reflexes such as coughing and swallowing. Significant aspiration can only occur if the protective reflexes are absent or severely diminished (in neurological disease, coma, drug overdose, sedation or general anesthesia). In intensive care, sitting patients upright reduces the risk of pulmonary aspiration and ventilator-associated pneumonia.
Measures to prevent aspiration depend on the situation and the patient. In patients at imminent risk of aspiration, tracheal intubation by a trained health professional provides the best protection. A simpler intervention that can be implemented is to lay the patient on their side in the recovery position (as taught in first aid and CPR classes), so that any vomitus produced by the patient will drain out their mouth instead of back down their pharynx. Some anesthetists will use sodium citrate to neutralize the stomach's low pH and metoclopramide or domperidone (pro-kinetic agents) to empty the stomach. In veterinary settings, emetics may be used to empty the stomach prior to sedation.
One strategy for prevention of aspiration in hospitalized patients with neurological disorders that impact swallowing is to place patients on a thickened fluids diet after swallowing assessment by a speech-language pathologist. However, the impact of diet-alteration is debated and may have an impact on patient quality of life.[35] Also, pharyngeal residue is more common with very thickened fluids: this may subsequently be aspirated and lead to a more severe pneumonia.[36]
Management
See also: Choking § Treatment
Treatment of foreign body aspiration is determined by the age and the severity of obstruction of the airway involved.[8]
Basic
An airway obstruction can be partial or complete. In partial obstruction, people can usually clear the foreign body with coughing.[8] In complete obstruction, intervention is required.[8]
If foreign body aspiration is suspected, finger sweeping in the mouth is not recommended due to the increased risk of displacing the foreign object further into the airway.[8]
For choking children less than 1 year of age, the child should be placed face down over the rescuer's arm.[8] Back blows should be delivered with the heel of the hand, then the person turned face-up and chest thrusts should be administered.[8] The rescuer should alternate five back blows followed by five chest thrusts until the object is cleared.[8] The Heimlich maneuver should be used in choking in older than 1 year of age to dislodge a foreign body.[8] If the person becomes unresponsive during physical intervention, cardiopulmonary resuscitation (CPR) should be started.[8]
Advanced
In the event that the basic measures do not remove the foreign body, and adequate ventilation cannot be restored, need for treatment by trained personnel becomes necessary.[8] Laryngoscopy should be performed in unresponsive patients if non-invasive airway clearance techniques are unsuccessful.[9] Laryngoscopy involves placing a device in the mouth to visualize the back of the airway.[9] If the foreign body can be seen, it can be removed with forceps.[9] An endotracheal tube should then be placed in order to prevent airway compromise from resulting inflammation after the procedure.[9] If the foreign body cannot be visualized, intubation, tracheotomy, or needle cricothyrotomy can be done to restore an airway for patients who have become unresponsive due to airway compromise.[8]
If non-invasive measures do not dislodge the foreign body, and the patient can maintain adequate ventilation, rigid bronchoscopy under general anesthesia should be performed.[8] Supplemental oxygen, cardiac monitoring, and a pulse oximeter should be applied to the patient.[9] Efforts should be made to keep the patient calm and avoid agitating the patient to prevent further airway compromise.[9] Flexible rather than rigid bronchoscopy might be used when the diagnosis or object location are unclear. When flexible bronchoscope is used, rigid bronchoscope is typically on standby and readily available as this is the preferred approach for removal.[37] Rigid bronchoscopy allows good airway control, ready bleeding management, better visualization, and ability to manipulate the aspirated object with a variety of forceps.[37] Flexible bronchoscopy may be used for extraction when distal access is needed and the operator is experienced in this technique.[37] Potential advantages include avoidance of general anesthesia as well as the ability to reach subsegmental bronchi which are smaller in diameter and further down the respiratory tract than the main bronchi.[37] The main disadvantage of using a flexible scope is the risk of further dislodging the object and causing airway compromise.[37] Bronchoscopy is successful in removing the foreign body in approximately 95% of cases with a complication rate of only 1%.[37]
After the foreign body is removed, patients should receive nebulized beta-adrenergic medication and chest physiotherapy to further protect the airway.[8] Steroidal anti-inflammatories and antibiotics are not routinely administered except in certain scenarios.[8] These include situations such as when the foreign body is difficult or impossible to extract, when there is a documented respiratory tract infection, and when swelling within the airway occurs after removal of the object.[37] Glucocorticoids may be administered when the foreign body is surrounded by inflamed tissue and extraction is difficult or impossible.[37] In such cases, extraction may be delayed for a short course of glucocorticoids so that the inflammation may be reduced before subsequent attempts.[37] These patients should remain under observation in the hospital until successful extraction as this practice can result in dislodgement of the foreign body.[37] Antibiotics are appropriate when an infection has developed but should not delay extraction.[37] In fact, removal of the object may improve infection control by removing the infectious source as well as using cultures taken during the bronchoscopy to guide antibiotic choice.[37] When airway edema or swelling occur, the patient may have stridor. In these cases, glucocorticoids, aerosolized epinephrine, or helium oxygen therapy may be considered as part of the management plan.[37]
Patients who are clinically stable with no need for supplemental oxygen after extraction may be discharged from the hospital the same day as the procedure.[22] Routine imaging such as a follow-up chest x-ray are not needed unless symptoms persist or worsen, or if the patient had imaging abnormalities previously to verify return to normal.[22] Most children are discharged within 24 hours of the procedure.[11]
See also
- Drowning
- Mendelson's syndrome
- Salt water aspiration syndrome
- Pharyngeal aspiration
References
- ↑ 1.00 1.01 1.02 1.03 1.04 1.05 1.06 1.07 1.08 1.09 1.10 1.11 Cramer, N; Jabbour, N; Tavarez, MM; Taylor, RS (January 2025). "Foreign Body Aspiration". StatPearls. PMID 30285375.
- ↑ 2.00 2.01 2.02 2.03 2.04 2.05 2.06 2.07 2.08 2.09 "Aspiration and Aspiration Syndromes (Foreign Body Aspiration and Aspiration Pneumonia)1: (aspiration is also known as "airway aspiration" and "pulmonary aspiration"; aspiration pneumonia is also known as "AP", "anaerobic pneumonia"2, and "necrotizing pneumonia") – CDHO". College of Dental Hygienists of Ontario. Retrieved 16 March 2025.
- ↑ 3.0 3.1 3.2 Knipe, Henry; Walizai, Tariq; Silverstone, Liz (25 February 2014). "Airway foreign bodies in children". Radiopaedia.org. Radiopaedia.org. doi:10.53347/rID-27886. Archived from the original on 29 March 2025. Retrieved 18 March 2025.
- ↑ 4.0 4.1 "How To Do the Heimlich Maneuver in the Conscious Adult or Child - Critical Care Medicine". MSD Manual Professional Edition. Archived from the original on 12 March 2025. Retrieved 18 March 2025.
- ↑ 5.0 5.1 Foltran, Francesca; Ballali, Simonetta; Passali, Francesco Maria; Kern, Eugene; Morra, Bruno; Passali, Giulio Cesare; Berchialla, Paola; Lauriello, Maria; Gregori, Dario (2012-05-14). "Foreign bodies in the airways: A meta-analysis of published papers". International Journal of Pediatric Otorhinolaryngology. Foreign bodies injuries in children: an update. 76: S12 – S19. doi:10.1016/j.ijporl.2012.02.004. ISSN 0165-5876. PMID 22333317.
- ↑ Vos, Theo; Barber, Ryan M; Bell, Brad; Bertozzi-Villa, Amelia; Biryukov, Stan; Bolliger, Ian; Charlson, Fiona; Davis, Adrian; Degenhardt, Louisa; Dicker, Daniel; Duan, Leilei; Erskine, Holly; Feigin, Valery L; Ferrari, Alize J; Fitzmaurice, Christina; Fleming, Thomas; Graetz, Nicholas; Guinovart, Caterina; Haagsma, Juanita; Hansen, Gillian M; Hanson, Sarah Wulf; Heuton, Kyle R; Higashi, Hideki; Kassebaum, Nicholas; Kyu, Hmwe; Laurie, Evan; Liang, Xiofeng; Lofgren, Katherine; Lozano, Rafael; et al. (2015). "Global, regional, and national incidence, prevalence, and years lived with disability for 301 acute and chronic diseases and injuries in 188 countries, 1990–2013: A systematic analysis for the Global Burden of Disease Study 2013". The Lancet. 386 (9995): 743–800. doi:10.1016/s0140-6736(15)60692-4. PMC 4561509. PMID 26063472.
- ↑ Ficke, B; Rajasurya, V; Sanghavi, DK; Cascella, M (January 2025). "Chronic Aspiration". StatPearls. PMID 32809569.
- ↑ 8.00 8.01 8.02 8.03 8.04 8.05 8.06 8.07 8.08 8.09 8.10 8.11 8.12 8.13 8.14 8.15 8.16 8.17 8.18 8.19 8.20 8.21 8.22 8.23 8.24 8.25 8.26 8.27 8.28 8.29 Federico, Monica (2018). Current Diagnosis & Treatment: Pediatrics, 24e, "Respiratory Tract & Mediastinum". New York, NY: McGraw-Hill. ISBN 978-1259862908.
- ↑ 9.00 9.01 9.02 9.03 9.04 9.05 9.06 9.07 9.08 9.09 Lucia, Dominic (2017). Current Diagnosis & Treatment: Emergency Medicine, 8e, "Respiratory Distress". New York, NY: McGraw-Hill. ISBN 978-0071840613.
- ↑ "Foreign Body Aspiration: Overview - eMedicine". Archived from the original on 2008-12-27. Retrieved 2008-12-16.
- ↑ 11.00 11.01 11.02 11.03 11.04 11.05 11.06 11.07 11.08 11.09 11.10 11.11 11.12 Rovin, J. D.; Rodgers, B. M. (2000-03-01). "Pediatric Foreign Body Aspiration". Pediatrics in Review. 21 (3): 86–90. doi:10.1542/pir.21-3-86. ISSN 0191-9601. PMID 10702322. S2CID 40614870.
- ↑ 12.0 12.1 12.2 12.3 Weinberger, Paul (2015). Current Diagnosis & Treatment: Surgery, 14e, "Otolaryngology: Head & Neck Surgery". New York, NY: McGraw-Hill. ISBN 9781259255168.
- ↑ 13.0 13.1 13.2 Chesnutt, Asha (2019). Current Medical Diagnosis & Treatment, "Pulmonary Disorders". New York, NY: McGraw-Hill. ISBN 978-1260117431.
- ↑ 14.0 14.1 Won, Christine (2015). Fishman's Pulmonary Diseases and Disorders, Fifth Edition, "Upper Airway Obstruction in Adults". New York, NY: McGraw-Hill. ISBN 978-0071807289.
- ↑ 15.0 15.1 15.2 Haas, Andrew (2015). Fishman's Pulmonary Diseases and Disorders, 5th Eds. "Interventional Bronchoscopy". New York, NY: McGraw-Hill. ISBN 978-0071807289.
- ↑ Hu, Xiaowen; Yi, Eunhee S.; Ryu, Jay H. (2014). "Aspiration-related deaths in 57 consecutive patients: autopsy study". PLOS ONE. 9 (7): e103795. Bibcode:2014PLoSO...9j3795H. doi:10.1371/journal.pone.0103795. ISSN 1932-6203. PMC 4116222. PMID 25076409.
- ↑ Sanivarapu, Raghavendra R.; Vaqar, Sarosh; Gibson, Joshua (2024), "Aspiration Pneumonia", StatPearls, Treasure Island (FL): StatPearls Publishing, PMID 29261921, archived from the original on 2024-10-14, retrieved 2024-11-12
- ↑ Marik, Paul E. (March 2001). "Aspiration Pneumonitis and Aspiration Pneumonia". New England Journal of Medicine. 344 (9): 665–671. doi:10.1056/NEJM200103013440908. ISSN 0028-4793. PMID 11228282. Archived from the original on 2024-12-08. Retrieved 2024-12-16.
- ↑ Mendelson, C. L. (August 1946). "The aspiration of stomach contents into the lungs during obstetric anesthesia". American Journal of Obstetrics and Gynecology. 52 (2): 191–205. doi:10.1016/s0002-9378(16)39829-5. ISSN 0002-9378. PMID 20993766.
- ↑ Marik, Paul E (May 2011). "Pulmonary aspiration syndromes". Current Opinion in Pulmonary Medicine. 17 (3): 148–154. doi:10.1097/MCP.0b013e32834397d6. ISSN 1070-5287. PMID 21311332.
- ↑ Muntz, Harlan (2009). Pediatric Otolaryngology for the Clinician: Foreign Body Management. Humana Press. pp. 215–222. ISBN 978-1-58829-542-2.
- ↑ 22.0 22.1 22.2 22.3 22.4 EBSCO Informational Services (2020). "Foreign Body Aspiration". DynaMed. Archived from the original on 9 December 2022. Retrieved 2 November 2020.
- ↑ Huxley, Eliot J.; Viroslav, Jose; Gray, William R.; Pierce, Alan K. (1978). "Pharyngeal aspiration in normal adults and patients with depressed consciousness". The American Journal of Medicine. 64 (4): 564–8. doi:10.1016/0002-9343(78)90574-0. PMID 645722.
- ↑ 24.0 24.1 Ficke, Benjamin; Rajasurya, Venkat; Sanghavi, Devang K.; Cascella, Marco (2024), "Chronic Aspiration", StatPearls, Treasure Island (FL): StatPearls Publishing, PMID 32809569, archived from the original on 2025-02-06, retrieved 2024-11-10
- ↑ Fernández-Carmona, A.; Peñas-Maldonado, L.; Yuste-Osorio, E.; Díaz-Redondo, A. (2012-08-01). "Exploration and approach to artificial airway dysphagia". Medicina Intensiva (English Edition). 36 (6): 423–433. doi:10.1016/j.medine.2012.09.001. ISSN 2173-5727. PMID 22055775. Archived from the original on 2024-11-11. Retrieved 2024-12-16.
- ↑ Gonçalves-Pereira, João; Mergulhão, Paulo; Froes, Filipe (2024-10-25). "Medications to Modify Aspiration Risk: Those That Add to Risk and Those That May Reduce Risk". Seminars in Respiratory and Critical Care Medicine. 45 (6): 694–700. doi:10.1055/s-0044-1791827. ISSN 1098-9048. PMID 39454640. Archived from the original on 2024-11-10. Retrieved 2024-12-16.
- ↑ Meeusen, Vera; Barach, Paul; van Zundert, André (2024-01-01), Sanchez, Juan A.; Higgins, Robert S. D.; Kent, Paula S. (eds.), "Chapter 10 - Designing safe procedural sedation: adopting a resilient culture", Handbook of Perioperative and Procedural Patient Safety, Elsevier, pp. 115–163, ISBN 978-0-323-66179-9, archived from the original on 2024-11-10, retrieved 2024-11-10
- ↑ Fohl, Alexander L (2011). "Proton pump inhibitor-associated pneumonia: Not a breath of fresh air after all?". World Journal of Gastrointestinal Pharmacology and Therapeutics. 2 (3): 17–26. doi:10.4292/wjgpt.v2.i3.17. ISSN 2150-5349. PMC 3124633. PMID 21731913.
- ↑ Cramer, Natan; Jabbour, Noel; Tavarez, Melissa M.; Taylor, Roger S. (2024), "Foreign Body Aspiration", StatPearls, Treasure Island (FL): StatPearls Publishing, PMID 30285375, archived from the original on 2025-02-07, retrieved 2024-11-10
- ↑ Al Shamrani, Abdullah; AlShammari, Ayshah; AlAlkami, Halima; AlShanwani, Jawaher; Alharbi, Adel S. (2021-12-01). "When is asthma not guilty?". International Journal of Pediatrics and Adolescent Medicine. 8 (4): 203–211. doi:10.1016/j.ijpam.2020.10.002. ISSN 2352-6467. PMC 8356124. PMID 34401444.
- ↑ Rodríguez, Hugo; Passali, Giulio Cesare; Gregori, Dario; Chinski, Alberto; Tiscornia, Carlos; Botto, Hugo; Nieto, Mary; Zanetta, Adrian; Passali, Desiderio; Cuestas, Giselle (1 May 2012). "Management of foreign bodies in the airway and oesophagus". International Journal of Pediatric Otorhinolaryngology. 76: S84 – S91. doi:10.1016/j.ijporl.2012.02.010. PMID 22365376. Archived from the original on 24 March 2025. Retrieved 16 March 2025.
- ↑ 32.0 32.1 32.2 32.3 32.4 Tseng, Hsiang-Jer; Hanna, Tarek N.; Shuaib, Waqas; Aized, Majid; Khosa, Faisal; Linnau, Ken F. (December 2015). "Imaging Foreign Bodies: Ingested, Aspirated, and Inserted". Annals of Emergency Medicine. 66 (6): 570–582.e5. doi:10.1016/j.annemergmed.2015.07.499. PMID 26320521. S2CID 80224. Archived from the original on 2025-07-05. Retrieved 2025-03-16.
- ↑ Maulik S Patel. "Xray". Retrieved 18 March 2025.
- ↑ 34.0 34.1 34.2 34.3 34.4 34.5 Committee on Injury, Violence, and Poison Prevention (2010-03-01). "Prevention of Choking Among Children". Pediatrics. 125 (3): 601–607. doi:10.1542/peds.2009-2862. ISSN 0031-4005. PMID 20176668. S2CID 897966.
{{cite journal}}: CS1 maint: multiple names: authors list (link) - ↑ O'Keeffe ST. (July 2018). Use of modified diets to prevent aspiration in oropharyngeal dysphagia: is current practice justified? BMC Geriatrics. 2018;18:167 https://doi.org/10.1186/s12877-018-0839-7
- ↑ Robbins J, Gensler G, Hind J, Logemann JA, Lindblad AS, Brandt D, et al. Comparison of 2 interventions for fluid aspiration on pneumonia incidence: a randomised trial. Ann Intern Med. 2008;148:509–18.
- ↑ 37.00 37.01 37.02 37.03 37.04 37.05 37.06 37.07 37.08 37.09 37.10 37.11 37.12 Sheperd, Wes (2019). Airway foreign bodies in adults. In: UpToDate, Post, TW (Ed), UpToDate, Waltham, MA.
Further reading
- Levy, D M (2006). "Pre-operative fasting—60 years on from Mendelson". Continuing Education in Anaesthesia, Critical Care & Pain. 6 (6): 215–8. doi:10.1093/bjaceaccp/mkl048.
External links
| Classification |
|---|
- Atlas of Pathology Archived 2024-07-25 at the Wayback Machine
.jpg)