Combined pulmonary fibrosis and emphysema
| Combined pulmonary fibrosis and emphysema | |
|---|---|
| Other names: CPFE | |
![]() | |
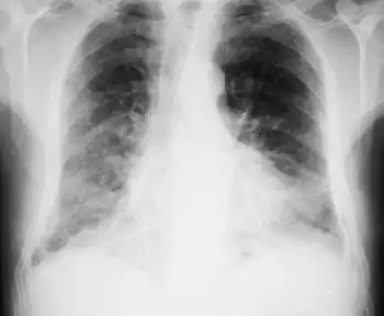
| Chest X-ray of combined pulmonary fibrosis and emphysema demonstrating bilateral interstitial pattern, predominantly right sided | |
| Specialty | Pulmonology |
Combined pulmonary fibrosis and emphysema (CPFE), describes a medical syndrome involving both pulmonary fibrosis and emphysema.[1][2] The combination is most commonly found in male smokers. Pulmonary function tests typically show preserved lung volume with very low transfer factor.[3]
Signs and symptoms
CFPE is characterised by shortness of breath, and reduced oxygen concentration (reflecting gas exchange abnormalities). Imaging shows upper-lobe emphysema, and lower-lobe interstitial fibrosis.[4] CFPE is often complicated by pulmonary hypertension, acute lung injury, lung cancer, and coronary artery disease.[4]
Risk factor
The primary risk factor for Combined pulmonary fibrosis and emphysema is smoking[5]
Diagnosis
The diagnosis is confirmed with high resolution CT scan.[6]
Treatment
In terms of management there is no specific treatment, though it is important to stop smoking .Some individuals might benefit from ICS/LABA treatment[7]
References
- ↑ Cottin, V; Cordier JF (June 2005). "Combined pulmonary fibrosis and emphysema: an experimental and clinically relevant phenotype". American Journal of Respiratory and Critical Care Medicine. 172 (12): 1605, author reply 1605–6. doi:10.1164/ajrccm.172.12.1605a. PMID 16339012. Archived from the original on 2011-09-27. Retrieved 2021-07-31.
- ↑ Cottin, V; Nunes H; Brillet PY; et al. (February 2006). "Combined pulmonary fibrosis and emphysema: a distinct underrecognised entity". European Respiratory Journal. 26 (4): 586–593. doi:10.1183/09031936.05.00021005. PMID 16204587.
- ↑ Papiris, SA; Triantafillidou, C; Manali, ED (February 2013). "Combined pulmonary fibrosis and emphysema". Expert Review of Respiratory Medicine. 7 (1): 19–31. doi:10.1586/ers.12.80. PMID 23362797.
- ↑ 4.0 4.1 Wand, O; Kramer, MR (January 2018). "The Syndrome of Combined Pulmonary Fibrosis and Emphysema - CPFE". Harefuah. 157 (1): 28–33. PMID 29374870.
- ↑ Lin, Huijin; Jiang, Shanping (April 2015). "Combined pulmonary fibrosis and emphysema (CPFE): an entity different from emphysema or pulmonary fibrosis alone". Journal of Thoracic Disease. 7 (4). doi:10.3978/j.issn.2072-1439.2015.04.17. ISSN 2077-6624. Archived from the original on 31 July 2021. Retrieved 19 September 2022.
- ↑ Jankowich, MD; Rounds, SI (January 2012). "Combined pulmonary fibrosis and emphysema syndrome: a review". Chest. 141 (1): 222–231. doi:10.1378/chest.11-1062. PMC 3251269. PMID 22215830.
- ↑ Hage, René; Gautschi, Fiorenza; Steinack, Carolin; Schuurmans, Macé M (28 January 2021). "Combined Pulmonary Fibrosis and Emphysema (CPFE) Clinical Features and Management". International Journal of Chronic Obstructive Pulmonary Disease. 16: 167–177. doi:10.2147/COPD.S286360. ISSN 1176-9106. Archived from the original on 20 September 2022. Retrieved 19 September 2022.
{{cite journal}}: CS1 maint: unflagged free DOI (link)
External links
| Classification | |
|---|---|
| External resources |
|
