Acute respiratory distress syndrome
| Acute respiratory distress syndrome | |
|---|---|
| Other names: Respiratory distress syndrome (RDS), adult respiratory distress syndrome, shock lung | |
![]() | |
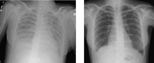
| Chest x-ray of person with severe ARDS demonstrating widespread "ground-glass" appearing opacities in both lungs. | |
| Specialty | Critical care medicine |
| Symptoms | Shortness of breath, rapid breathing, bluish skin coloration[1] |
| Usual onset | Within a week[1] |
| Causes | Sepsis, pancreatitis, trauma, pneumonia, aspiration[1] |
| Diagnostic method | Adults: PaO2/FiO2 ratio of less than 300 mm Hg[1] Children: Oxygenation index > 4[2] |
| Differential diagnosis | Heart failure[1] |
| Treatment | Mechanical ventilation, ECMO[1] |
| Prognosis | 35 to 50 % risk of death[1] |
| Frequency | 3 million per year[1] |
Acute respiratory distress syndrome (ARDS) is a type of respiratory failure characterized by rapid onset of widespread inflammation in the lungs.[1] Symptoms include shortness of breath, rapid breathing, and bluish skin coloration.[1] For those who survive, a decreased quality of life is common.[3]
Causes may include sepsis, pancreatitis, trauma, pneumonia, and aspiration.[1] The underlying mechanism involves diffuse injury to cells which form the barrier of the microscopic air sacs of the lungs, surfactant dysfunction, activation of the immune system, and dysfunction of the body's regulation of blood clotting.[4] In effect, ARDS impairs the lungs' ability to exchange oxygen and carbon dioxide.[1] Adult diagnosis is based on a PaO2/FiO2 ratio (ratio of partial pressure arterial oxygen and fraction of inspired oxygen) of less than 300 mm Hg despite a positive end-expiratory pressure (PEEP) of more than 5 cm H2O.[1] Heart-related pulmonary edema, as the cause, must be excluded.[3]
The primary treatment involves mechanical ventilation together with treatments directed at the underlying cause.[1] Ventilation strategies include using low volumes and low pressures.[1] If oxygenation remains insufficient, lung recruitment maneuvers and neuromuscular blockers may be used.[1] If these are insufficient, extracorporeal membrane oxygenation (ECMO) may be an option.[1] The syndrome is associated with a death rate between 35 and 50%.[1]
Globally, ARDS affects more than 3 million people a year.[1] The condition was first described in 1967.[1] Although the terminology of "adult respiratory distress syndrome" has at times been used to differentiate ARDS from "infant respiratory distress syndrome" in newborns, the international consensus is that "acute respiratory distress syndrome" is the best term because ARDS can affect people of all ages.[5] There are separate diagnostic criteria for children and those in areas of the world with fewer resources.[3]
Signs and symptoms
The signs and symptoms of ARDS often begin within two hours of an inciting event, but have been known to take as long as 1–3 days; diagnostic criteria require a known insult to have happened within 7 days of the syndrome. Signs and symptoms may include shortness of breath, fast breathing, and a low oxygen level in the blood due to abnormal ventilation.[6][7] Other common symptoms include muscle fatigue and general weakness, low blood pressure, a dry, hacking cough, and fever.[8]
Complications
Complications may include the following:[9]
- Lungs: barotrauma (volutrauma), pulmonary embolism (PE), pulmonary fibrosis, ventilator-associated pneumonia (VAP)
- Gastrointestinal: bleeding (ulcer), dysmotility, pneumoperitoneum, bacterial translocation
- Neurological: hypoxic brain damage
- Cardiac: abnormal heart rhythms, myocardial dysfunction
- Kidney: acute kidney failure, positive fluid balance
- Mechanical: vascular injury, pneumothorax (by placing pulmonary artery catheter), tracheal injury/stenosis (result of intubation and/or irritation by endotracheal tube)
- Nutritional: malnutrition (catabolic state), electrolyte abnormalities
Other complications that are typically associated with ARDS include:[8]
- Atelectasis: small air pockets within the lung collapse
- Complications that arise from treatment in a hospital: blood clots formed by lying down for long periods of time, weakness in muscles that are used for breathing, stress ulcers, and even depression or other mental illnesses.
- Failure of multiple organs
- Pulmonary hypertension or increase in blood pressure in the main artery from the heart to the lungs. This complication typically occurs due to the restriction of the blood vessel due to inflammation of the mechanical ventilation
Causes
There are direct and indirect causes of ARDS depending whether the lungs are initially affected. Direct causes include pneumonia (including bacterial and viral), aspiration, inhalational lung injury, lung contusion, chest trauma, and near-drowning. Indirect causes include sepsis, shock, pancreatitis, trauma (e.g. fat embolism), cardiopulmonary bypass, TRALI, burns, increased intracranial pressure.[10] Fewer cases of ARDS are linked to large volumes of fluid used during post-trauma resuscitation.[11]
Pathophysiology

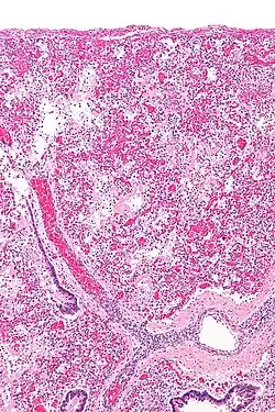
ARDS is a form of fluid accumulation in the lungs not explained by heart failure (noncardiogenic pulmonary edema). It is typically provoked by an acute injury to the lungs that results in flooding of the lungs' microscopic air sacs responsible for the exchange of gases such as oxygen and carbon dioxide with capillaries in the lungs.[12] Additional common findings in ARDS include partial collapse of the lungs (atelectasis) and low levels of oxygen in the blood (hypoxemia). The clinical syndrome is associated with pathological findings including pneumonia, eosinophilic pneumonia, cryptogenic organizing pneumonia, acute fibrinous organizing pneumonia, and diffuse alveolar damage (DAD). Of these, the pathology most commonly associated with ARDS is DAD, which is characterized by a diffuse inflammation of lung tissue. The triggering insult to the tissue usually results in an initial release of chemical signals and other inflammatory mediators secreted by local epithelial and endothelial cells.
Neutrophils and some T-lymphocytes quickly migrate into the inflamed lung tissue and contribute in the amplification of the phenomenon. Typical histological presentation involves diffuse alveolar damage and hyaline membrane formation in alveolar walls. Although the triggering mechanisms are not completely understood, recent research has examined the role of inflammation and mechanical stress.
Diagnosis

Diagnostic criteria for ARDS have changed over time as understanding of the pathophysiology has evolved. The international consensus criteria for ARDS were most recently updated in 2012 and are known as the "Berlin definition".[13][14] In addition to generally broadening the diagnostic thresholds, other notable changes from the prior 1994 consensus criteria[5] include discouraging the term "acute lung injury," and defining grades of ARDS severity according to degree of decrease in the oxygen content of the blood.
According to the 2012 Berlin definition, adult ARDS is characterized by the following:
- lung injury of acute onset, within 1 week of an apparent clinical insult and with progression of respiratory symptoms
- bilateral opacities on chest imaging (chest radiograph or CT) not explained by other lung pathology (e.g. effusion, lobar/lung collapse, or nodules)
- respiratory failure not explained by heart failure or volume overload
- decreased PaO
2/FiO
2 ratio (a decreased PaO
2/FiO
2 ratio indicates reduced arterial oxygenation from the available inhaled gas):- mild ARDS: 201 – 300 mmHg (≤ 39.9 kPa)
- moderate ARDS: 101 – 200 mmHg (≤ 26.6 kPa)
- severe ARDS: ≤ 100 mmHg (≤ 13.3 kPa)
- Note that the Berlin definition requires a minimum positive end expiratory pressure (PEEP) of 5 cmH
2O for consideration of the PaO
2/FiO
2 ratio. This degree of PEEP may be delivered noninvasively with CPAP to diagnose mild ARDS.
Note that the 2012 "Berlin criteria" are a modification of the prior 1994 consensus conference definitions (see history).[9]
Medical imaging
Radiologic imaging has long been a criterion for diagnosis of ARDS. Original definitions of ARDS specified that correlative chest X-ray findings were required for diagnosis, the diagnostic criteria have been expanded over time to accept CT and ultrasound findings as equally contributory. Generally, radiographic findings of fluid accumulation (pulmonary edema) affecting both lungs and unrelated to increased cardiopulmonary vascular pressure (such as in heart failure) may be suggestive of ARDS. Ultrasound findings suggestive of ARDS include the following:
- Anterior subpleural consolidations
- Absence or reduction of lung sliding
- "Spared areas" of normal parenchyma
- Pleural line abnormalities (irregular thickened fragmented pleural line)
- Nonhomogeneous distribution of B-lines (a characteristic ultrasound finding suggestive of fluid accumulation in the lungs)[15]
-
Acute respiratory distress syndrome -
Acute respiratory distress syndrome -
Acute respiratory distress syndrome -
Acute respiratory distress syndrome
Treatment
Acute respiratory distress syndrome is usually treated with mechanical ventilation in the intensive care unit (ICU). Mechanical ventilation is usually delivered through a rigid tube which enters the oral cavity and is secured in the airway (endotracheal intubation), or by tracheostomy when prolonged ventilation (≥2 weeks) is necessary. The role of non-invasive ventilation is limited to the very early period of the disease or to prevent worsening respiratory distress in individuals with atypical pneumonias, lung bruising, or major surgery patients, who are at risk of developing ARDS. Treatment of the underlying cause is crucial. Appropriate antibiotic therapy is started as soon as culture results are available, or if infection is suspected (whichever is earlier). Empirical therapy may be appropriate if local microbiological surveillance is efficient. Where possible the origin of the infection is removed. When sepsis is diagnosed, appropriate local protocols are followed.
Mechanical ventilation
The overall goal of mechanical ventilation is to maintain acceptable gas exchange to meet the body's metabolic demands and to minimize adverse effects in its application. The parameters PEEP (positive end-expiratory pressure, to keep alveoli open), mean airway pressure (to promote recruitment (opening) of easily collapsible alveoli and predictor of hemodynamic effects) and plateau pressure (best predictor of alveolar overdistention) are used.[16]
Previously, mechanical ventilation aimed to achieve tidal volumes (Vt) of 12–15 ml/kg (where the weight is ideal body weight rather than actual weight). Recent studies have shown that high tidal volumes can overstretch alveoli resulting in volutrauma (secondary lung injury). The ARDS Clinical Network, or ARDSNet, completed a clinical trial that showed improved mortality when people with ARDS were ventilated with a tidal volume of 6 ml/kg compared to the traditional 12 ml/kg. Low tidal volumes (Vt) may cause a permitted rise in blood carbon dioxide levels and collapse of alveoli[9] because of their inherent tendency to increase shunting within the lung. Physiologic dead space cannot change as it is ventilation without perfusion. A shunt is perfusion without ventilation within a lung region.
Low tidal volume ventilation was the primary independent variable associated with reduced mortality in the NIH-sponsored ARDSNet trial of tidal volume in ARDS. Plateau pressure less than 30 cm H
2O was a secondary goal, and subsequent analyses of the data from the ARDSNet trial and other experimental data demonstrate that there appears to be no safe upper limit to plateau pressure; regardless of plateau pressure, individuals with ARDS fare better with low tidal volumes.[17]
Airway pressure release ventilation
No particular ventilator mode is known to improve mortality in acute respiratory distress syndrome (ARDS).
Some practitioners favor airway pressure release ventilation when treating ARDS. Well documented advantages to APRV ventilation[18] include decreased airway pressures, decreased minute ventilation, decreased dead-space ventilation, promotion of spontaneous breathing, almost 24-hour-a-day alveolar recruitment, decreased use of sedation, near elimination of neuromuscular blockade, optimized arterial blood gas results, mechanical restoration of FRC (functional residual capacity), a positive effect on cardiac output[19] (due to the negative inflection from the elevated baseline with each spontaneous breath), increased organ and tissue perfusion and potential for increased urine output secondary to increased kidney perfusion.
A patient with ARDS, on average, spends between 8 and 11 days on a mechanical ventilator; APRV may reduce this time significantly and thus may conserve valuable resources.[20]
Positive end-expiratory pressure
Positive end-expiratory pressure (PEEP) is used in mechanically ventilated people with ARDS to improve oxygenation. In ARDS, three populations of alveoli can be distinguished. There are normal alveoli which are always inflated and engaging in gas exchange, flooded alveoli which can never, under any ventilatory regime, be used for gas exchange, and atelectatic or partially flooded alveoli that can be "recruited" to participate in gas exchange under certain ventilatory regimens. The recruitable alveoli represent a continuous population, some of which can be recruited with minimal PEEP, and others which can only be recruited with high levels of PEEP. An additional complication is that some alveoli can only be opened with higher airway pressures than are needed to keep them open, hence the justification for maneuvers where PEEP is increased to very high levels for seconds to minutes before dropping the PEEP to a lower level. PEEP can be harmful; high PEEP necessarily increases mean airway pressure and alveolar pressure, which can damage normal alveoli by overdistension resulting in DAD. A compromise between the beneficial and adverse effects of PEEP is inevitable.
The 'best PEEP' used to be defined as 'some' cmH
2O above the lower inflection point (LIP) in the sigmoidal pressure-volume relationship curve of the lung. Recent research has shown that the LIP-point pressure is no better than any pressure above it, as recruitment of collapsed alveoli—and, more importantly, the overdistension of aerated units—occur throughout the whole inflation. Despite the awkwardness of most procedures used to trace the pressure-volume curve, it is still used by some to define the minimum PEEP to be applied to their patients. Some new ventilators can automatically plot a pressure-volume curve.
PEEP may also be set empirically. Some authors suggest performing a 'recruiting maneuver'—a short time at a very high continuous positive airway pressure, such as 50 cmH
2O (4.9 kPa)—to recruit or open collapsed units with a high distending pressure before restoring previous ventilation. The final PEEP level should be the one just before the drop in PaO
2 or peripheral blood oxygen saturation during a step-down trial. A large randomized controlled trial of patients with ARDS found that lung recruitment maneuvers and PEEP titration was associated with high rates of barotrauma and pneumothorax and increased mortality.[21]
Intrinsic PEEP (iPEEP) or auto-PEEP—first described by John Marini of St. Paul Regions Hospital—is a potentially unrecognized contributor to PEEP in intubated individuals. When ventilating at high frequencies, its contribution can be substantial, particularly in people with obstructive lung disease such as asthma or chronic obstructive pulmonary disease (COPD). iPEEP has been measured in very few formal studies on ventilation in ARDS, and its contribution is largely unknown. Its measurement is recommended in the treatment of people who have ARDS, especially when using high-frequency (oscillatory/jet) ventilation.
Prone position
The position of lung infiltrates in acute respiratory distress syndrome is non-uniform. Repositioning into the prone position (face down) might improve oxygenation by relieving atelectasis and improving perfusion. If this is done early in the treatment of severe ARDS, it confers a mortality benefit of 26% compared to supine ventilation.[22][23] However, attention should be paid to avoid the SIDS in the management of the respiratory distressed infants by continuous careful monitoring of their cardiovascular system.[23]
Fluid management
Several studies have shown that pulmonary function and outcome are better in people with ARDS who lost weight or whose pulmonary wedge pressure was lowered by diuresis or fluid restriction.[9]
Medications
As of 2019, it is uncertain whether or not treatment with corticosteroids improves overall survival. Corticosteroids may increase the number of ventilator-free days during the first 28 days of hospitalization.[24] One study found that dexamethasone may help.[25] The combination of hydrocortisone, ascorbic acid, and thiamine also requires further study as of 2018.[26]
Inhaled nitric oxide (NO) selectively widens the lung's arteries which allows for more blood flow to open alveoli for gas exchange. Despite evidence of increased oxygenation status, there is no evidence that inhaled nitric oxide decreases morbidity and mortality in people with ARDS.[27] Furthermore, nitric oxide may cause kidney damage and is not recommended as therapy for ARDS regardless of severity.[28]
Extracorporeal membrane oxygenation
Extracorporeal membrane oxygenation (ECMO) is mechanically applied prolonged cardiopulmonary support. There are two types of ECMO: Venovenous which provides respiratory support and venoarterial which provides respiratory and hemodynamic support. People with ARDS who do not require cardiac support typically undergo venovenous ECMO. Multiple studies have shown the effectiveness of ECMO in acute respiratory failure.[29][30][31] Specifically, the CESAR (Conventional ventilatory support versus Extracorporeal membrane oxygenation for Severe Acute Respiratory failure) trial[32] demonstrated that a group referred to an ECMO center demonstrated significantly increased survival compared to conventional management (63% to 47%).[33]
Ineffective treatments
As of 2019, there is no evidence showing that treatments with exogenous surfactants, statins, beta-blockers or n-acetylcysteine decreases early mortality, late all-cause mortality, duration of mechanical ventilation, or number of ventilator-free days.[24]
Prognosis
The overall prognosis of ARDS is poor, with mortality rates of approximately 40%.[24] Exercise limitation, physical and psychological sequelae, decreased physical quality of life, and increased costs and use of health care services are important sequelae of ARDS.
Epidemiology
The annual rate of ARDS is generally 13–23 people per 100,000 in the general population.[34] It is more common in people who are mechanically ventilated with acute lung injury (ALI) occurring 16% of ventilated people. Rates increased in 2020 due to COVID-19 with some cases also appearing similar to HAPE.[35][36]
Worldwide, severe sepsis is the most common trigger causing ARDS.[37] Other triggers include mechanical ventilation, sepsis, pneumonia, Gilchrist's disease, drowning, circulatory shock, aspiration, trauma—especially pulmonary contusion—major surgery, massive blood transfusions,[38] smoke inhalation, drug reaction or overdose, fat emboli and reperfusion pulmonary edema after lung transplantation or pulmonary embolectomy. However, the majority of patients with all these conditions mentioned do not develop ARDS. It is unclear why some people with the mentioned factors above do not develop ARDS and others do.
Pneumonia and sepsis are the most common triggers, and pneumonia is present in up to 60% of patients and may be either causes or complications of ARDS. Alcohol excess appears to increase the risk of ARDS.[39] Diabetes was originally thought to decrease the risk of ARDS, but this has shown to be due to an increase in the risk of pulmonary edema.[40][41] Elevated abdominal pressure of any cause is also probably a risk factor for the development of ARDS, particularly during mechanical ventilation.
History
Acute respiratory distress syndrome was first described in 1967 by Ashbaugh et al.[9][42] Initially there was no clearly established definition, which resulted in controversy regarding the incidence and death of ARDS.
In 1988, an expanded definition was proposed, which quantified physiologic respiratory impairment.
1994 American-European Consensus Conference
In 1994, a new definition was recommended by the American-European Consensus Conference Committee [5][9] which recognized the variability in severity of pulmonary injury.[43]
The definition required the following criteria be met:
- acute onset, persistent dyspnea
- bilateral infiltrates on chest radiograph consistent with pulmonary edema
- hypoxemia, defined as PaO
2:FiO
2 < 200 mmHg (26.7 kPa) - absence of left atrial (LA) hypertension
- pulmonary artery wedge pressure < 18 mmHg (obtained by pulmonary artery catheterization)
- if no measured LA pressure available, there must be no other clinical evidence to suggest elevated left heart pressure.
If PaO
2:FiO
2 < 300 mmHg (40 kPa), then the definitions recommended a classification as "acute lung injury" (ALI). Note that according to these criteria, arterial blood gas analysis and chest X-ray were required for formal diagnosis. Limitations of these definitions include lack of precise definition of acuity, nonspecific imaging criteria, lack of precise definition of hypoxemia with regards to PEEP (affects arterial oxygen partial pressure), arbitrary PaO
2 thresholds without systematic data.[44]
2012 Berlin definition
In 2012, the Berlin Definition of ARDS was devised by the European Society of Intensive Care Medicine, and was endorsed by the American Thoracic Society and the Society of Critical Care Medicine. These recommendations were an effort to both update classification criteria in order to improve clinical usefulness and to clarify terminology. Notably, the Berlin guidelines discourage the use of the term "acute lung injury" or ALI, as the term was commonly being misused to characterize a less severe degree of lung injury. Instead, the committee proposes a classification of ARDS severity as mild, moderate or severe according to arterial oxygen saturation.[13] The Berlin definitions represent the current international consensus guidelines for both clinical and research classification of ARDS.
Terminology
ARDS is the severe form of acute lung injury (ALI), and of transfusion-related acute lung injury (TRALI), though there are other causes. The Berlin definition included ALI as a mild form of ARDS.[45] However, the criteria for the diagnosis of ARDS in the Berlin definition excludes many children, and a new definition for children was termed pediatric acute respiratory distress syndrome (PARDS); this is known as the PALICC definition (2015).[46][47]
Research directions
There is ongoing research on the treatment of ARDS by interferon (IFN) beta-1a to aid in preventing leakage of vascular beds. Traumakine (FP-1201-lyo) is a recombinant human IFN beta-1a drug, developed by the Finnish company Faron Pharmaceuticals, which is undergoing international phase-III clinical trials after an open-label, early-phase trial showed an 81% reduction-in-odds of 28-day mortality in ICU patients with ARDS.[48] The drug is known to function by enhancing lung CD73 expression and increasing production of anti-inflammatory adenosine, such that vascular leaking and escalation of inflammation are reduced.[49]
Aspirin has been studied in those who are at high risk and was not found to be useful.[1]
An intravenous ascorbic acid treatment was tested in the 2019 RCT, in people with ARDS due to sepsis and there was no change in primary endpoints.[50]
See also
References
- ↑ 1.00 1.01 1.02 1.03 1.04 1.05 1.06 1.07 1.08 1.09 1.10 1.11 1.12 1.13 1.14 1.15 1.16 1.17 1.18 1.19 1.20 Fan, E; Brodie, D; Slutsky, AS (20 February 2018). "Acute Respiratory Distress Syndrome: Advances in Diagnosis and Treatment". JAMA. 319 (7): 698–710. doi:10.1001/jama.2017.21907. PMID 29466596. S2CID 3451752.
- ↑ Cheifetz, Ira M (25 May 2017). "Pediatric ARDS". Respiratory Care. 62 (6): 718–731. doi:10.4187/respcare.05591. PMID 28546374.
- ↑ 3.0 3.1 3.2 Matthay, MA; Zemans, RL; Zimmerman, GA; Arabi, YM; Beitler, JR; Mercat, A; Herridge, M; Randolph, AG; Calfee, CS (14 March 2019). "Acute respiratory distress syndrome". Nature Reviews. Disease Primers. 5 (1): 18. doi:10.1038/s41572-019-0069-0. PMC 6709677. PMID 30872586.
- ↑ Fanelli, Vito; Ranieri, V. Marco (2015-03-01). "Mechanisms and clinical consequences of acute lung injury". Annals of the American Thoracic Society. 12 Suppl 1: S3–8. doi:10.1513/AnnalsATS.201407-340MG. ISSN 2325-6621. PMID 25830831.
- ↑ 5.0 5.1 5.2 Bernard G, Artigas A, Brigham K, Carlet J, Falke K, Hudson L, Lamy M, Legall J, Morris A, Spragg R (1994). "The American-European Consensus Conference on ARDS. Definitions, mechanisms, relevant outcomes, and clinical trial coordination". Am J Respir Crit Care Med. 149 (3 Pt 1): 818–24. doi:10.1164/ajrccm.149.3.7509706. PMID 7509706.
- ↑ Bakowitz, Magdalena (August 2012). "Acute lung injury and the acute respiratory distress syndrome in the injured patient". Scandinavian Journal of Trauma, Resuscitation and Emergency Medicine. 20: 54. doi:10.1186/1757-7241-20-54. PMC 3518173. PMID 22883052.
{{cite journal}}: CS1 maint: unflagged free DOI (link) - ↑ Marino (2006), pp 435
- ↑ 8.0 8.1 Bakowitz, Magdalena; Bruns, Brandon; McCunn, Maureen (2012-08-10). "Acute lung injury and the acute respiratory distress syndrome in the injured patient". Scandinavian Journal of Trauma, Resuscitation and Emergency Medicine. 20: 54. doi:10.1186/1757-7241-20-54. ISSN 1757-7241. PMC 3518173. PMID 22883052.
{{cite journal}}: CS1 maint: unflagged free DOI (link) - ↑ 9.0 9.1 9.2 9.3 9.4 9.5 Irwin RS, Rippe JM (2003). Irwin and Rippe's Intensive Care Medicine (5th ed.). Lippincott Williams & Wilkins. ISBN 978-0-7817-3548-3.
- ↑ Melmed 2011, pp. 636
- ↑ Cherkas, David (Nov 2011). "Traumatic Hemorrhagic Shock: Advances In Fluid Management". Emergency Medicine Practice. 13 (11): 1–19, quiz 19–20. PMID 22164397.
- ↑ Boyle, AJ; Mac Sweeney, R; McAuley, DF (August 2013). "Pharmacological treatments in ARDS; a state-of-the-art update". BMC Med. 11: 166. doi:10.1186/1741-7015-11-166. PMC 3765621. PMID 23957905.
{{cite journal}}: CS1 maint: unflagged free DOI (link) - ↑ 13.0 13.1 Ranieri VM, Rubenfeld GD, Thompson BT, Ferguson ND, Caldwell E, Fan E, Camporota L, Slutsky AS (Jun 2012). "Acute respiratory distress syndrome: the Berlin Definition. ARDS Definition Task Force". JAMA. 307 (23): 2526–33. doi:10.1001/jama.2012.5669. PMID 22797452. S2CID 36276275.
- ↑ Ferguson ND, Fan E, Camporota L, Antonelli M, Anzueto A, Beale R, Brochard L, Brower R, Esteban A, et al. (Oct 2012). "The Berlin definition of ARDS: an expanded rationale, justification, and supplementary material". Intensive Care Med. 38 (10): 1573–82. doi:10.1007/s00134-012-2682-1. PMID 22926653. S2CID 13556499. Erratum in: Intensive Care Med. 2012 Oct;38(10):1731-2. PMID 22926653
- ↑ Volpicelli, Giovanni; Elbarbary, Mahmoud; Blaivas, Michael; Lichtenstein, Daniel A.; Mathis, Gebhard; Kirkpatrick, Andrew W.; Melniker, Lawrence; Gargani, Luna; Noble, Vicki E. (2012-04-01). "International evidence-based recommendations for point-of-care lung ultrasound". Intensive Care Medicine. 38 (4): 577–591. doi:10.1007/s00134-012-2513-4. ISSN 1432-1238. PMID 22392031.
- ↑ Malhotra A (2007). "Low-tidal-volume ventilation in the acute respiratory distress syndrome". N Engl J Med. 357 (11): 1113–20. doi:10.1056/NEJMct074213. PMC 2287190. PMID 17855672.
- ↑ Hager, DN; Krishnan, JA; Hayden, DL; Brower, RG; ARDS Clinical Trials Network (November 2005). "Tidal volume reduction in patients with acute lung injury when plateau pressures are not high". American Journal of Respiratory and Critical Care Medicine. 172 (10): 1241–5. doi:10.1164/rccm.200501-048cp. PMC 2718413. PMID 16081547.
- ↑ Frawley, P. Milo; Habashi, Nader M. (May 2001). "Airway Pressure Release Ventilation: Theory and Practice". AACN Clinical Issues. 12 (2): 234–246. doi:10.1097/00044067-200105000-00007. PMID 11759551.
- ↑ Kaplan, Lewis J.; Bailey, Heatherlee; Formosa, Vincent (2 July 2001). "Airway pressure release ventilation increases cardiac performance in patients with acute lung injury/adult respiratory distress syndrome". Critical Care. 5 (4): 221–6. doi:10.1186/cc1027. PMC 37408. PMID 11511336.
{{cite journal}}: CS1 maint: unflagged free DOI (link) - ↑ Carsetti, Andrea; Damiani, Elisa; Domizi, Roberta; Scorcella, Claudia; Pantanetti, Simona; Falcetta, Stefano; Donati, Abele; Adrario, Erica (2019-04-04). "Airway pressure release ventilation during acute hypoxemic respiratory failure: a systematic review and meta-analysis of randomized controlled trials". Annals of Intensive Care. 9 (1): 44. doi:10.1186/s13613-019-0518-7. ISSN 2110-5820. PMC 6449410. PMID 30949778.
{{cite journal}}: CS1 maint: unflagged free DOI (link) - ↑ Cavalcanti, Alexandre Biasi; Suzumura, Érica Aranha; Laranjeira, Ligia Nasi; Paisani, Denise de Moraes; Damiani, Lucas Petri; Guimarães, Helio Penna; Romano, Edson Renato; Regenga, Marisa de Moraes; Taniguchi, Luzia Noriko Takahashi; Teixeira, Cassiano; Oliveira, Roselaine Pinheiro de (2017-10-10). "Effect of Lung Recruitment and Titrated Positive End-Expiratory Pressure (PEEP) vs Low PEEP on Mortality in Patients With Acute Respiratory Distress Syndrome: A Randomized Clinical Trial". JAMA. 318 (14): 1335–1345. doi:10.1001/jama.2017.14171. ISSN 0098-7484. PMC 5710484. PMID 28973363. Archived from the original on 2020-09-06. Retrieved 2020-08-25. Archived 2020-09-06 at the Wayback Machine
- ↑ Sud S, Friedrich JO, Adhikari NK, et al. (8 Jul 2014). "Effect of prone positioning during mechanical ventilation on mortality among patients with acute respiratory distress syndrome: a systematic review and meta-analysis". CMAJ. 186 (10): E381–90. doi:10.1503/cmaj.140081. PMC 4081236. PMID 24863923.
- ↑ 23.0 23.1 Gillies, Donna; Wells, Deborah; Bhandari, Abhishta P (11 July 2012). "Positioning for acute respiratory distress in hospitalised infants and children". Cochrane Database of Systematic Reviews (7): CD003645. doi:10.1002/14651858.CD003645.pub3. PMC 7144689. PMID 22786486.
- ↑ 24.0 24.1 24.2 Lewis, Sharon R.; Pritchard, Michael W.; Thomas, Carmel M.; Smith, Andrew F. (July 23, 2019). "Pharmacological agents for adults with acute respiratory distress syndrome". The Cochrane Database of Systematic Reviews. 7: CD004477. doi:10.1002/14651858.CD004477.pub3. ISSN 1469-493X. PMC 6646953. PMID 31334568.
- ↑ Villar, J.; Ferrando, C.; Martínez, D.; Ambrós, A.; Muñoz, T.; Soler, J. A.; Aguilar, G.; Alba, F.; González-Higueras, E.; Conesa, L. A.; Martín-Rodríguez, C.; Díaz-Domínguez, F. J.; Serna-Grande, P.; Rivas, R.; Ferreres, J.; Belda, J.; Capilla, L.; Tallet, A.; Añón, J. M.; Fernández, R. L.; González-Martín, J. M.; dexamethasone in ARDS network (2020). "Dexamethasone treatment for the acute respiratory distress syndrome: A multicentre, randomised controlled trial". The Lancet. Respiratory Medicine. 8 (3): 267–276. doi:10.1016/S2213-2600(19)30417-5. PMID 32043986. S2CID 211077493.
- ↑ Moskowitz, A; Andersen, LW; Huang, DT; Berg, KM; Grossestreuer, AV; Marik, PE; Sherwin, RL; Hou, PC; Becker, LB; Cocchi, MN; Doshi, P; Gong, J; Sen, A; Donnino, MW (29 October 2018). "Ascorbic acid, corticosteroids, and thiamine in sepsis: a review of the biologic rationale and the present state of clinical evaluation". Critical Care (London, England). 22 (1): 283. doi:10.1186/s13054-018-2217-4. PMC 6206928. PMID 30373647.
- ↑ Adhikari, NK; Burns, KE; Friedrich, JO; Granton, JT; Cook, DJ; Meade, MO (14 April 2007). "Effect of nitric oxide on oxygenation and mortality in acute lung injury: systematic review and meta-analysis". BMJ. 334 (7597) (Clinical research ed.): 779. doi:10.1136/bmj.39139.716794.55. PMC 1852043. PMID 17383982.
- ↑ Adhikari, NK; Dellinger, RP; Lundin, S; Payen, D; Vallet, B; Gerlach, H; Park, KJ; Mehta, S; Slutsky, AS; Friedrich, JO (February 2014). "Inhaled nitric oxide does not reduce mortality in patients with acute respiratory distress syndrome regardless of severity: systematic review and meta-analysis". Critical Care Medicine (Systematic Review & Meta-Analysis). 42 (2): 404–12. doi:10.1097/CCM.0b013e3182a27909. PMID 24132038. S2CID 12204105.
- ↑ Makdisi, G; Wang, IW (July 2015). "Extra Corporeal Membrane Oxygenation (ECMO) review of a lifesaving technology". Journal of Thoracic Disease. 7 (7): E166–76. doi:10.3978/j.issn.2072-1439.2015.07.17. PMC 4522501. PMID 26380745.
- ↑ Hemmila, MR; Rowe, SA; Boules, TN; Miskulin, J; McGillicuddy, JW; Schuerer, DJ; Haft, JW; Swaniker, F; Arbabi, S; Hirschl, RB; Bartlett, RH (October 2004). "Extracorporeal life support for severe acute respiratory distress syndrome in adults". Annals of Surgery. 240 (4): 595–605, discussion 605–7. doi:10.1097/01.sla.0000141159.90676.2d. PMC 1356461. PMID 15383787.
- ↑ Brogan, TV; Thiagarajan, RR; Rycus, PT; Bartlett, RH; Bratton, SL (December 2009). "Extracorporeal membrane oxygenation in adults with severe respiratory failure: a multi-center database". Intensive Care Medicine. 35 (12): 2105–14. doi:10.1007/s00134-009-1661-7. PMID 19768656. S2CID 526020.
- ↑ Peek, GJ; Mugford, M; Tiruvoipati, R; Wilson, A; Allen, E; Thalanany, MM; Hibbert, CL; Truesdale, A; Clemens, F; Cooper, N; Firmin, RK; Elbourne, D; CESAR trial, collaboration (17 October 2009). "Efficacy and economic assessment of conventional ventilatory support versus extracorporeal membrane oxygenation for severe adult respiratory failure (CESAR): a multicentre randomised controlled trial". Lancet. 374 (9698): 1351–63. doi:10.1016/S0140-6736(09)61069-2. PMID 19762075. S2CID 15191122.
- ↑ editors, Fabio Sangalli, Nicolò Patroniti, Antonio Pesenti (2014). ECMO-- extracorporeal life support in adults. ISBN 978-88-470-5427-1.
{{cite book}}:|last1=has generic name (help)CS1 maint: multiple names: authors list (link) - ↑ Lewandowski K, Lewandowski M (2006). "Epidemiology of ARDS". Minerva Anestesiol. 72 (6): 473–7. PMID 16682918.
- ↑ Guo, YR; Cao, QD; Hong, ZS; Tan, YY; Chen, SD; Jin, HJ; Tan, KS; Wang, DY; Yan, Y (13 March 2020). "The origin, transmission and clinical therapies on coronavirus disease 2019 (COVID-19) outbreak - an update on the status". Military Medical Research. 7 (1): 11. doi:10.1186/s40779-020-00240-0. PMC 7068984. PMID 32169119.
{{cite journal}}: CS1 maint: unflagged free DOI (link) - ↑ Solaimanzadeh, I (20 March 2020). "Acetazolamide, Nifedipine and Phosphodiesterase Inhibitors: Rationale for Their Utilization as Adjunctive Countermeasures in the Treatment of Coronavirus Disease 2019 (COVID-19)". Cureus. 12 (3): e7343. doi:10.7759/cureus.7343. PMC 7096066. PMID 32226695.
{{cite journal}}: CS1 maint: unflagged free DOI (link) - ↑ Goldman, Lee (2011). Goldman's Cecil Medicine (24th ed.). Philadelphia: Elsevier Saunders. p. 635. ISBN 978-1437727883.
- ↑ Vlaar, Alexander P. J.; Binnekade, Jan M.; Prins, David; van Stein, Danielle; Hofstra, Jorrit J.; Schultz, Marcus J.; Juffermans, Nicole P. (March 2010). "Risk factors and outcome of transfusion-related acute lung injury in the critically ill: A nested case–control study*". Critical Care Medicine. 38 (3): 771–778. doi:10.1097/CCM.0b013e3181cc4d4b. PMID 20035217. S2CID 12118692.
- ↑ Moss M, Bucher B, Moore FA, Moore EE, Parsons PE (1996). "The role of chronic alcohol abuse in the development of acute respiratory distress syndrome in adults". JAMA. 275 (1): 50–4. doi:10.1001/jama.1996.03530250054027. PMID 8531287.
- ↑ Moss M, Guidot DM, Steinberg KP, et al. (2000). "Diabetic patients have a decreased incidence of acute respiratory distress syndrome". Crit Care Med. 28 (7): 2187–92. doi:10.1097/00003246-200007000-00001. PMID 10921539. S2CID 29504738.
- ↑ Koh GC, Vlaar AP, Hofstra JJ, et al. (2012). "In the critically ill patient, diabetes predicts mortality independent of statin therapy but is not associated with acute lung injury: A cohort study". Crit Care Med. 40 (6): 1835–1843. doi:10.1097/CCM.0b013e31824e1696. PMC 3379571. PMID 22488007.
- ↑ Ashbaugh D, Bigelow D, Petty T, Levine B (1967). "Acute respiratory distress in adults". Lancet. 2 (7511): 319–23. doi:10.1016/S0140-6736(67)90168-7. PMID 4143721.
- ↑ Ware L, Matthay M (2000). "The acute respiratory distress syndrome". N Engl J Med. 342 (18): 1334–49. doi:10.1056/NEJM200005043421806. PMID 10793167.
- ↑ Abraham, Edward; Matthay, Michael A.; Dinarello, Charles A.; Vincent, Jean-Louis; Cohen, Jonathan; Opal, Steven M.; Glauser, Michel; Parsons, Polly; Fisher, Charles J.; Repine, John E. (January 2000). "Consensus conference definitions for sepsis, septic shock, acute lung injury, and acute respiratory distress syndrome: Time for a reevaluation". Critical Care Medicine. 28 (1): 232–235. doi:10.1097/00003246-200001000-00039. PMID 10667529. S2CID 19636525.
- ↑ "Meet the New ARDS: Expert panel announces new definition, severity classes". PulmCCM. 30 December 2012. Archived from the original on 21 November 2018. Retrieved 21 November 2018. Archived 21 November 2018 at the Wayback Machine
- ↑ Khemani, RG; et al. (2019). "Paediatric acute respiratory distress syndrome incidence and epidemiology (PARDIE): an international, observational study". The Lancet. Respiratory Medicine. 7 (2): 115–128. doi:10.1016/S2213-2600(18)30344-8. PMC 7045907. PMID 30361119.
- ↑ Pediatric Acute Lung Injury Consensus Conference, Group. (June 2015). "Pediatric acute respiratory distress syndrome: consensus recommendations from the Pediatric Acute Lung Injury Consensus Conference". Pediatric Critical Care Medicine. 16 (5): 428–39. doi:10.1097/PCC.0000000000000350. PMC 5253180. PMID 25647235.
- ↑ Bellingan, Geoff; Maksimow, Mikael; Howell, David C.; Stotz, Martin; Beale, Richard; Beatty, Monika; Walsh, Timothy; Binning, Alexander; Davidson, Alan (February 2014). "The effect of intravenous interferon-beta-1a (FP-1201) on lung CD73 expression and on acute respiratory distress syndrome mortality: an open-label study". The Lancet. Respiratory Medicine. 2 (2): 98–107. doi:10.1016/S2213-2600(13)70259-5. ISSN 2213-2600. PMID 24503265.
- ↑ Kiss, Jan; Yegutkin, Gennady G.; Koskinen, Kaisa; Savunen, Timo; Jalkanen, Sirpa; Salmi, Marko (November 2007). "IFN-β protects from vascular leakage via up-regulation of CD73". European Journal of Immunology. 37 (12): 3334–3338. doi:10.1002/eji.200737793. ISSN 1521-4141. PMID 18034430.
- ↑ "PulmCrit- CITRIS-ALI: Can a secondary endpoint stage a coup d'état?". PulmCrit. 1 October 2019. Archived from the original on 20 March 2020. Retrieved 19 March 2020. Archived 20 March 2020 at the Wayback Machine
Further reading
- Marino, Paul (2006). The ICU Book. Baltimore: Williams & Wilkins. ISBN 978-0781748025.
- Martin GS, Moss M, Wheeler AP, Mealer M, Morris JA, Bernard GR (1 August 2005). "A randomized, controlled trial of furosemide with or without albumin in hypoproteinemic patients with acute lung injury". Crit. Care Med. 33 (8): 1681–7. doi:10.1097/01.CCM.0000171539.47006.02. PMID 16096441. S2CID 38941988.
- Jackson WL, Shorr AF (1 June 2005). "Blood transfusion and the development of acute respiratory distress syndrome: more evidence that blood transfusion in the intensive care unit may not be benign". Crit. Care Med. 33 (6): 1420–1. doi:10.1097/01.CCM.0000167073.99222.50. PMID 15942365.
- Mortelliti MP, Manning HL (May 2002). "Acute respiratory distress syndrome". Am Fam Physician. 65 (9): 1823–30. PMID 12018805. Archived from the original on 2008-09-06. Retrieved 2005-08-28. Archived 2008-09-06 at the Wayback Machine
- Metnitz, P. G. H.; Bartens, C.; Fischer, M.; Fridrich, P.; Steltzer, H.; Druml, W. (17 February 1999). "Antioxidant status in patients with acute respiratory distress syndrome". Intensive Care Medicine. 25 (2): 180–185. doi:10.1007/s001340050813. PMID 10193545. S2CID 11377820.
External links
| Classification | |
|---|---|
| External resources |
| The Wikibook Intensive Care Medicine has a page on the topic of: ARDS |
- ARDSNet Archived 2021-03-20 at the Wayback Machine—the NIH / NHLBI ARDS Network
- ARDS Support Center—information for patients with ARDS
