Retropharyngeal abscess
| Retropharyngeal abscess | |
|---|---|
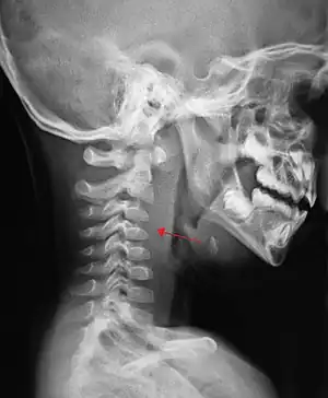
| A lateral neck X-ray demonstrating soft tissue swelling in front of the vertebrae (marked by the arrow) as seen in a person with a retropharyngeal abscess. | |
| Specialty | ENT surgery |
| Symptoms | Difficulty swallowing, neck pain, fever, stiff neck, change in voice, large lymph nodes[1] |
| Complications | Airway obstruction, mediastinitis[1] |
| Risk factors | Injury to the back of the throat, preceeding upper respiratory tract infection, diabetes, poor oral hygiene[1] |
| Diagnostic method | Based on symptoms, confirmed by medical imaging[2] |
| Differential diagnosis | Pharyngitis, epiglottitis, mediastinitis, peritonsillar abscess[1] |
| Treatment | Antibiotics, endotracheal intubation, incision and drainage[1][2] |
| Frequency | Uncommon[1] |
Retropharyngeal abscess (RPA) is an pus collection located within the tissues of the back of the throat.[2] Symptoms may include difficulty swallowing, neck pain, fever, stiff neck, change in voice, and large lymph nodes.[1] Extending the neck may make the symptoms worse.[1] Onset is often over a few days.[1] Complications may include airway obstruction or mediastinitis.[1]
It is often preceded by injury to the back of the throat or an upper respiratory tract infection.[1] Risk factors diabetes and poor oral hygiene.[1] Bacteria commonly involved include group A streptococcus, Staphylococcus aureus, Fusobacterium, Haemophilus.[1] Diagnosis is suspected based on symptoms and confirmed by X-ray or CT scan.[2]
Treatment includes antibiotics, and possibly endotracheal intubation and incision and drainage.[1][2] Commonly used antibiotics include ceftriaxone or clindamycin.[2] Outcomes are generally good with timely treatment.[2] Retropharyngeal abscesses are uncommon.[1] While it can also occur at any age, it is most common in children under 5 years old.[3][1]
Signs and symptoms
Signs and symptoms may include the following stiff neck (limited neck mobility or torticollis),[4] some form of palpable neck pain (may be in "front of the neck" or around the Adam's Apple), malaise, difficulty swallowing, fever, stridor, drooling, croup-like cough or enlarged cervical lymph nodes. Any combination of these symptoms should arouse suspicion of RPA.
Complications
Parapharyngeal space communicates with retropharyngeal space and an infection of retropharyngeal space can pass down behind the esophagus into the mediastinum.[5]
Causes
RPA is usually caused by a bacterial infection originating from the nasopharynx, tonsils, sinuses, adenoids, molar teeth or middle ear. Any upper respiratory infection (URI) can be a cause. RPA can also result from a direct infection due to penetrating injury or a foreign body. RPA can also be linked to young children who do not have adequate dental care or brush their teeth properly.
Diagnosis
A computed tomography (CT) scan is the definitive diagnostic imaging test.[6]
X-ray of the neck 80% of the time shows swelling of the retropharyngeal space in affected individuals. If the retropharyngeal space is more than half of the size of the C2 vertebra, it may indicate retropharyngeal abscess.[7]
-
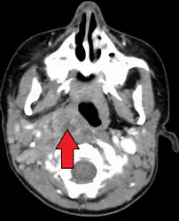
Large retropharyngeal abscess as seen on CT -
Large retropharyngeal abscess as seen on CT
Treatment
RPA's frequently require surgical intervention. A tonsillectomy approach is typically used to access/drain the abscess, and the outcome is usually positive. Surgery in adults may be done without general anesthesia because there is a risk of abscess rupture during tracheal intubation. This could result in pus from the abscess aspirated into the lungs. In complex cases, an emergency tracheotomy may be required to prevent upper airway obstruction caused by edema in the neck.
High-dose intravenous antibiotics are required in order to control the infection and reduce the size of the abscess prior to surgery. Chronic retropharyngeal abscess is usually secondary to tuberculosis and the patient needs to be started on anti-tubercular therapy as soon as possible.
References
- ↑ 1.00 1.01 1.02 1.03 1.04 1.05 1.06 1.07 1.08 1.09 1.10 1.11 1.12 1.13 1.14 1.15 Jain, H; Knorr, TL; Sinha, V (January 2022). "Retropharyngeal Abscess". StatPearls. PMID 28722903.
- ↑ 2.0 2.1 2.2 2.3 2.4 2.5 2.6 "Retropharyngeal Abscess - Ear, Nose, and Throat Disorders". Merck Manuals Consumer Version. Archived from the original on 30 October 2021. Retrieved 29 April 2022. Archived 30 October 2021 at the Wayback Machine
- ↑ "Retropharyngeal abscess - Symptoms, diagnosis and treatment | BMJ Best Practice US". bestpractice.bmj.com. Archived from the original on 6 May 2021. Retrieved 29 April 2022. Archived 6 May 2021 at the Wayback Machine
- ↑ Frances W. Craig, MD*, Jeff E. Schunk, MD "Retropharyngeal Abscess in Children: Clinical Presentation, Utility of Imaging, and Current Management" Archived 2008-03-28 at the Wayback Machine
- ↑ John Grosso, MD, Charles M. Meyer, MD {http://archpedi.ama-assn.org/cgi/reprint/144/12/1349} Archived 2012-03-08 at the Wayback Machine
- ↑ Amal Mattu; Deepi Goyal; Barrett, Jeffrey W.; Joshua Broder; DeAngelis, Michael; Peter Deblieux; Gus M. Garmel; Richard Harrigan; David Karras; Anita L'Italien; David Manthey (2007). Emergency medicine: avoiding the pitfalls and improving the outcomes. Malden, Mass: Blackwell Pub./BMJ Books. pp. 50. ISBN 978-1-4051-4166-6.
- ↑ Gary Frank; Samir S Shah; Marina Catallozzi; Lisa B Zaoutis (1 June 2005). The Philadelphia guide: inpatient pediatrics. Lippincott Williams & Wilkins. pp. 181–. ISBN 978-1-4051-0428-9. Archived from the original on 10 June 2013. Retrieved 26 May 2010.
External links
| Classification | |
|---|---|
| External resources |