Aluminosis
| Aluminosis | |
|---|---|
| Other names: Aluminosis of lung, Aluminum intoxication, Aluminium lung | |
![]() | |
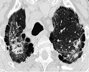
| HRCT-scan of severe aluminosis (with subpleural bullae) | |
Aluminosis (also known as aluminium lung) is a restrictive lung disease caused by exposure to aluminum-bearing dust.[1] Aluminosis is a form of pneumoconiosis that can lead to pulmonary fibrosis.[2]
First cases of lung damage from aluminium exposure were reported in 1930s in Germany. It can be detected by using high-resolution computed tomography.[3]
Findings may vary, showing nodular or slightly irregular opacities that may merge into more prominent forms, most frequently in the upper lung fields, sometimes in the lower lung fields, and less frequently a diffuse micro nodular pattern. In severe cases, pulmonary fibrosis with honeycombing was described.[4]
Workers exposed to aluminium dust are often involved in industries such as explosives manufacturing (where aluminium powder is involved), aluminium welding (and grinding), and bauxite smelting.[2]
References
- ↑ "aluminosis- definition of aluminosis by Medical dictionary". Archived from the original on 2020-07-27. Retrieved 2021-02-23. Archived 2020-07-27 at the Wayback Machine
- ↑ 2.0 2.1 Smolková, P; Nakládalová, M; Tichý, T; Hampalová, M; Kolek, V (2014). "Occupational Pulmonary Aluminosis: A Case Report". Industrial Health. 52 (2): 147–151. doi:10.2486/indhealth.2012-0154. PMC 4202761. PMID 24429515.
- ↑ Kraus, Thomas; Schaller, Karl; Angerer, Jürgen; Hilgers, Ralf-Dieter; Letzel, Stephan (2006). "Aluminosis – Detection of an almost forgotten disease with HRCT". Journal of Occupational Medicine and Toxicology. 1 (1): 4. doi:10.1186/1745-6673-1-4. PMC 1436008. PMID 16722569.
- ↑ Smolkova, Petra (2014). "Occupational Pulmonary Aluminosis: A Case Report". Industrial Health. 52 (2): 147–151. doi:10.2486/indhealth.2012-0154. PMC 4202761. PMID 24429515.
External links
| Classification |
|---|
- https://icdlist.com/icd-10/J63.0 Archived 2021-04-22 at the Wayback Machine Archived 2021-04-22 at the Wayback Machine
