Elbow fracture

Fractured elbow in a child (ulnar shaft) with joint effusion of elbow
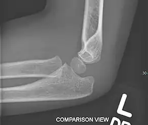
Normal elbow in same child, other side

Elbow fractures are any broken bone in or near the elbow joint and include olecranon fractures, supracondylar humerus fractures and radial head fractures.[1]

Terrible triad of the elbow

The terrible triad of the elbow (not to be confused with the terrible triad of the knee) is a combination of:[2]

The terrible triad of the elbow is confers joint instability and a major risk of developing osteoarthritis.[2]

References

  1. Daniel K Nishijima. "Elbow Fracture". Archived from the original on 10 December 2014. Retrieved 9 December 2014.
  2. 2.0 2.1 Seijas R, Ares-Rodriguez O, Orellana A, Albareda D, Collado D, Llusa M (2009). "Terrible triad of the elbow" (PDF). J Orthop Surg (Hong Kong). 17 (3): 335–9. doi:10.1177/230949900901700319. Archived (PDF) from the original on 2022-03-20. Retrieved 2021-08-30.

Bibliography

  • Pederzini, Luigi Adriano; Eygendaal, Denise; Denti, Matteo, eds. (2016). Elbow and Sport. Springer. ISBN 978-3-662-48740-2.