Spiral fracture
| Spiral fracture | |
|---|---|
| Other names: Torsion fracture | |
![]() | |
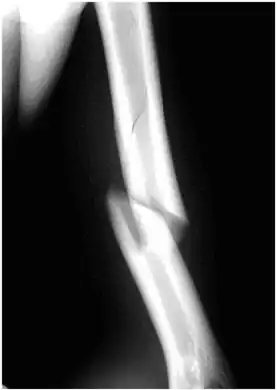
| An x-ray image of a spiral fracture to the left humerus of a 27-year-old male. The injury was sustained during a fall. | |
| Specialty | Orthopedics |
| Differential diagnosis | Torus fracture, Salter-Harris fracture |
Spiral fracture is a fracture that may occur when a rotating force is applied along the axis of a bone.[1]
They often occur when the body is in motion while one extremity is planted. For example, a spiral fracture of the tibia (the shinbone) can occur in young children when they fall short on an extended leg while jumping. This is known as a toddler's fracture. Other possible causes include non accidental trauma and osteogenesis imperfecta (OI).[2]
Diagnosis
-
Internal rotation view showing a spiral fracture at junction of middle and distal thirds of humerus.
References
- ↑ "Spiral Fracture". Harvard University. Archived from the original on 8 August 2010. Retrieved 25 November 2010.
- ↑ Lukefahr M.D., James. "Child Abuse and Neglect Fractures". www.utmb.edu. University of Texas Health Science Center. Archived from the original on 26 August 2016. Retrieved 15 December 2014.
External links
- http://ghr.nlm.nih.gov/condition/osteogenesis-imperfecta Archived 2020-09-30 at the Wayback Machine
