Basilar skull fracture
| Basilar skull fracture | |
|---|---|
| Other names: Basal skull fracture, skull base fractures[1] | |
![]() | |
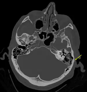
| A subtle temporal bone fracture as seen on CT in a person with a severe head injury | |
| Specialty | Emergency medicine, neurosurgery |
| Symptoms | Bruising behind the ears, bruising around the eyes, blood behind the ear drum[1] |
| Complications | Cerebrospinal fluid leak, facial fracture, meningitis[2][1] |
| Types | Anterior, central, posterior[1] |
| Causes | Trauma[1] |
| Diagnostic method | CT scan[1] |
| Treatment | Based on injuries inside the skull[1] |
| Frequency | ≈12% of severe head injuries[1] |
A basilar skull fracture is a break of a bone in the base of the skull.[1] Symptoms may include bruising behind the ears, bruising around the eyes, or blood behind the ear drum.[1] A cerebrospinal fluid (CSF) leak occurs in about 20% of cases and can result in fluid leaking from the nose or ear.[1] Meningitis is a complication in about 14% of cases.[2] Other complications include cranial nerve or blood vessel injury.[1]
They typically require a significant degree of trauma to occur.[1] The break is of at least one of the following bones: temporal bone, occipital bone, sphenoid bone, frontal bone, or ethmoid bone.[1] They are divided into anterior fossa, middle fossa, and posterior fossa fractures.[1] Facial fractures often also occur.[1] Diagnosis is typically by CT scan.[1]
Treatment is generally based on the injury to structures inside the head.[1] Surgery may be done for a CSF leak that does not stop or an injury to a blood vessel or nerve.[1] Preventive antibiotics are of unclear use.[3][2] It occurs in about 12% of people with a severe head injury.[1]
Signs and symptoms
The presentation is as follows:
- Battle's sign – bruising of the mastoid process of the temporal bone.[4]
- Raccoon eyes – bruising around the eyes, i.e. "black eyes"[4]
- Bleeding (sometimes profuse) from the ears[4]
- Conductive or perceptive nystagmus[4]
- In 1–10% of patients, optic nerve entrapment occurs,[5] the optic nerve is compressed by the broken skull bones, causing irregularities in vision.
Complications
Among the complications of basilar skull fracture are:
-
Drawing of raccoon eyes with a CSF leak from the nose -
Bilateral raccoon eyes -
Battle's sign
Pathophysiology
Basilar skull fractures include breaks in the posterior skull base or anterior skull base. The former involve the occipital bone, temporal bone, and portions of the sphenoid bone; the latter, superior portions of the sphenoid and ethmoid bones. The temporal bone fracture is encountered in 75% of all basilar skull fractures and may be longitudinal, transverse or mixed, depending on the course of the fracture line in relation to the longitudinal axis of the pyramid.[6]
Bones may be broken around the foramen magnum, the hole in the base of the skull through which the brain stem exits and becomes the spinal cord, creating the risk that blood vessels and nerves exiting the hole may be damaged.[7]
Due to the proximity of the cranial nerves, injury to those nerves may occur.[5] This can cause loss of function of the facial nerve or oculomotor nerve or hearing loss due to damage of cranial nerve VIII.[5]
Diagnosis

The evaluation for basilar skull fracture depends on a CT, as an x-ray is not useful.CT angiography and venography (CTA, CTV) may also be useful as an MRI can be used to ascertain nerve damage[4][8]
Management
Evidence does not support the use of preventive antibiotics regardless of the presence of a cerebrospinal fluid leak.[3][2]
Prognosis
Non-displaced fractures usually heal without intervention. Patients with basilar skull fractures are especially likely to get meningitis.[9] Unfortunately, the efficacy of prophylactic antibiotics in these cases is uncertain.[10]
Temporal bone fractures
Acute injury to the internal carotid artery (carotid dissection, occlusion, pseudoaneurysm formation) may be asymptomatic or result in life-threatening bleeding. They are almost exclusively observed when the carotid canal is fractured, although only a minority of carotid canal fractures result in vascular injury. Involvement of the petrous segment of the carotid canal is associated with a relatively high incidence of carotid injury.[11]
Society and culture
Basilar skull fractures are a common cause of death in many motor racing accidents, Dale Earnhardt Sr., on 10 April 2001, would be become one such unfortunate driver. He was not wearing a full face helmet at the time of the race.[12]
To prevent this injury, many motorsports sanctioning bodies mandate the use of head and neck restraints, such as the HANS device.[13][14][15] The HANS device has demonstrated its life-saving abilities multiple times, including Jeff Gordon at the 2006 Pocono 500, Michael McDowell at the Texas Motor Speedway in 2008,[16] Robert Kubica at the 2007 Canadian Grand Prix, and Elliott Sadler at the 2010 Sunoco Red Cross Pennsylvania 500.[17]
References
- ↑ 1.00 1.01 1.02 1.03 1.04 1.05 1.06 1.07 1.08 1.09 1.10 1.11 1.12 1.13 1.14 1.15 1.16 1.17 1.18 1.19 Baugnon, KL; Hudgins, PA (August 2014). "Skull base fractures and their complications". Neuroimaging Clinics of North America. 24 (3): 439–65, vii–viii. doi:10.1016/j.nic.2014.03.001. PMID 25086806.
- ↑ 2.0 2.1 2.2 2.3 Nellis, JC; Kesser, BW; Park, SS (January 2014). "What is the efficacy of prophylactic antibiotics in basilar skull fractures?". The Laryngoscope. 124 (1): 8–9. doi:10.1002/lary.23934. PMID 24122671.
- ↑ 3.0 3.1 Ratilal, Bernardo O; Costa, João; Pappamikail, Lia; Sampaio, Cristina; Ratilal, Bernardo O (2015). "Antibiotic prophylaxis for preventing meningitis in patients with basilar skull fractures". The Cochrane Database of Systematic Reviews. 4 (4): CD004884. doi:10.1002/14651858.CD004884.pub4. PMID 25918919.
- ↑ 4.0 4.1 4.2 4.3 4.4 4.5 4.6 4.7 Simon, Leslie V.; Newton, Edward J. (2020). "Basilar Skull Fractures". StatPearls. StatPearls Publishing. Archived from the original on 29 August 2021. Retrieved 11 November 2020.
- ↑ 5.0 5.1 5.2 Pediatric Head Trauma at eMedicine
- ↑ Skull Fracture at eMedicine
- ↑ "About Brain Injury". Brain Injury Association of America. October 12, 2012. Archived from the original on December 13, 2017. Retrieved July 5, 2015.
- ↑ Peitzman, Andrew B.; Rhodes, Michael; Schwab, C. William. The Trauma Manual: Trauma and Acute Care Surgery. Lippincott Williams & Wilkins. p. 105. ISBN 978-0-7817-6275-5. Archived from the original on 29 August 2021. Retrieved 11 November 2020.
- ↑ Dagi, T.Forcht; Meyer, Frederick B.; Poletti, Charles A. (1983). "The incidence and prevention of meningitis after basilar skull fracture". The American Journal of Emergency Medicine. 1 (3): 295–8. doi:10.1016/0735-6757(83)90109-2. PMID 6680635.
- ↑ Butler, John. "Antibiotics in base of skull fractures". BestBets. Archived from the original on 2015-09-12. Retrieved 2014-03-22.
- ↑ Resnick, Daniel K.; Subach, Brian R.; Marion, Donald W. (1997). "The Significance of Carotid Canal Involvement in Basilar Cranial Fracture". Neurosurgery. 40 (6): 1177–81. doi:10.1097/00006123-199706000-00012. PMID 9179890.
- ↑ University, Barry Myers, M. D. , PH D. Duke. "MR. DALE EARNHARDT CRASH ANALYSIS". OrlandoSentinel.com. Archived from the original on 2021-08-29. Retrieved 23 November 2020.
{{cite web}}: CS1 maint: multiple names: authors list (link) - ↑ "NASCAR mandates HANS for 3 series". The Washington Times. The Washington Times LLC. 18 October 2001. Archived from the original on 19 February 2019. Retrieved 2 January 2018.
- ↑ "MSA confirms Motor Sports Council decisions regarding Frontal Head Restraints". MSA. Motor Sports Association. Archived from the original on 2 January 2018. Retrieved 2 January 2018.
- ↑ "Head and Neck Restraints Mandatory!". NNJR SCCA. Sports Car Club of America. Archived from the original on 3 January 2018. Retrieved 2 January 2018.
- ↑ ANDERSON, LARS. "HOW SAFE IS RACING?". SI.com. Archived from the original on 2018-04-04. Retrieved 2018-04-04.
- ↑ "Sadler: Sunday's crash hardest in Cup history". ESPN.com. 2010-08-03. Archived from the original on 2018-04-04. Retrieved 2018-04-04.
External links
| Classification | |
|---|---|
| External resources |
