Ulna fracture
| Ulna fracture | |
|---|---|
| Other names: Nightstick fracture | |
![]() | |
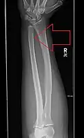
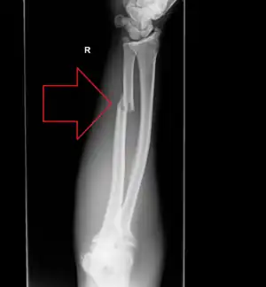
| Isolated fracture of the ulna (known as a nightstick fracture) | |
| Specialty | Orthopedic surgery |
| Complications | Nonunion[1] |
| Types |
|
| Causes | Direct blow to side of forearm, fall[1] |
| Diagnostic method | X-rays[4] |
| Differential diagnosis | Galeazzi fracture[3] |
| Treatment | Casting, surgery[3] |
| Frequency | Relatively commons[4] |
An ulna fracture is a break in the ulna bone, one of the two bones of the forearm.[3] If the fracture occurs as a single break in the middle of the ulna it is known as a nightstick fracture.[2] It; however, is often associated with a dislocation or fracture of the radius, the other forearm bone.[4][5] Complications may include nonunion.[1]
Nightstick fractures often occur when someone is hit on the inside of the forearm by a stick, notably when they are holding their arm up in self-defense to protect their head from injury.[1][3] It is uncommon for this type of fracture to occur as a result of a fall.[1] Other types of ulnar fractures often result from falls, motor vehicle collisions, or athletic injuries.[4] Diagnosis is generally by x-rays.[4]
If the fracture only involves the ulna and is stable, it may be managed by casting for 4 to 6 weeks.[3] Otherwise surgery is generally required.[3] If the fracture is open, antibiotics are required.[4] Fractures of the ulna are relatively common, though nightstick fractures are uncommon.[2][4] Males and females are affected at similar rates before the age of 40; however, women are more frequently affected after 60.[4]
Cause
An ulna fracture can be a single break as in a so called "nightstick fracture", which can be caused by someone being hit on the inside of the forearm often by a stick, notably when they are holding their arm up to protect their head from injury, as in self-defence.[1][3]
Other types of ulna fractures can also result from falling on the forearm or falling on an outstretched arm.[1] Sporting injuries, road traffic incidents, falls from a height, and conditions such as osteoporosis and potentially both primary and secondary cancer, can also result in ulna fractures.[4]
Diagnosis
The diagnosis of an ulna fracture is made after taking the persons history, which usually includes a history of forearm pain following trauma, and then examining the injured forearm followed by an x-ray of the relevant part.[4] X-rays images should also the wrist and elbow.[6]
Types
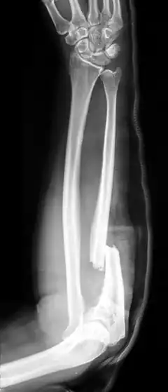
Fractures of the ulna can occur at different levels of the bone: near the wrist, in the middle or near the elbow.[3] The fracture may be confined to the ulna or accompanied with damage to the radius or the wrist or elbow joints.[3]
- Nightstick fracture is a fracture of the middle portion of the ulna without other fractures, and with both wrist and elbow joints preserved.[7]
- Distal ulna fractures typically occur along with distal radius fractures.[5]
- Hume fracture - a fracture of the olecranon with an associated anterior dislocation of the radial head.[8]
- Monteggia fracture - a fracture of the near to elbow end of the ulna with the dislocation of the head of the radius at the elbow joint.[3]
- Galeazzi facture - not a fracture of the ulna but a displaced fracture of the radius accompanied by a dislocation of the ulna at the wrist, where the radius and ulna come together.[3]
-
Monteggia fracture (type of ulna fracture) -
Monteggia fracture (fracture of proximal ulna) -
Galeazzi facture (displaced fracture of the radius) -
Undisplaced isolated ulna fracture
Treatment
.jpg)
If the fracture is not significantly displaced, is stable, and is not associated with another fracture, it may be treated with a cast for around five to six weeks.[3] This includes fractures that are less than 50% displaced and less than 10 degrees angulated.[6]
During the recovery period healing can be followed up with x-rays.[3] Heavy lifting should be avoided.[3] After the cast has been removed exercises are encouraged and full strength is regained over time.[3] Treatment may may also be with splinting and early movement.[2]
When there is a displaced fracture or when the radioulnar joints are involved an operation is often performed, using either flexible rods or screws and plates in order to reduce the fracture and immobilise the bone.[3]
Epidemiology
Fractures of the ulna are relatively common, though nightstick fractures are uncommon.[2][4] Males and females are affected at similar rates before the age of 40; however, women are more frequently affected after 60, which is related to osteoporosis. Adolescents who play sports are also particularly at risk of an ulna fracture.[4]
History
The term "nightstick fracture" originated from the notion that a person hit by a police truncheon would hold their arms up to protect their heads from injury. Historically they were treated without surgery, but this resulted in a high risk of the broken parts not joining properly, unless the broken parts were generally aligned and the skin intact.[9]
References
- ↑ 1.0 1.1 1.2 1.3 1.4 1.5 1.6 "Nightstick fracture (ulna) | Radiology Reference Article | Radiopaedia.org". Radiopaedia. Archived from the original on 12 November 2020. Retrieved 6 December 2020.
- ↑ 2.0 2.1 2.2 2.3 2.4 Cai, X.-Z.; Yan, S.-G.; Giddins, G. (n.d.). "A systematic review of the non-operative treatment of nightstick fractures of the ulna". The Bone & Joint Journal. 95-B (7): 952–959. doi:10.1302/0301-620X.95B7.31669. ISSN 2049-4408. PMID 23814249.
- ↑ 3.00 3.01 3.02 3.03 3.04 3.05 3.06 3.07 3.08 3.09 3.10 3.11 3.12 3.13 3.14 3.15 3.16 "Ulna and Radius Fractures (Forearm Fractures)". www.hopkinsmedicine.org. Archived from the original on 2020-12-02. Retrieved 2020-12-06.
- ↑ 4.00 4.01 4.02 4.03 4.04 4.05 4.06 4.07 4.08 4.09 4.10 4.11 Small, Roy F.; Yaish, Amjad M. (2020). "Radius and Ulnar Shaft Fractures". StatPearls. StatPearls Publishing. Archived from the original on 2021-08-29. Retrieved 2020-12-06.
- ↑ 5.0 5.1 Richards, Todd A.; Deal, D. Nicole (2014). "Distal ulna fractures". The Journal of Hand Surgery. 39 (2): 385–391. doi:10.1016/j.jhsa.2013.08.103. ISSN 1531-6564. PMID 24411292.
- ↑ 6.0 6.1 Black, WS; Becker, JA (15 November 2009). "Common forearm fractures in adults". American family physician. 80 (10): 1096–102. PMID 19904894.
- ↑ White, Timothy O.; Mackenzie, Samuel P.; Gray, Alasdair J. (2016). "11. Forearm". McRae's Orthopaedic Trauma and Emergency Fracture Management (3rd ed.). Elsevier. p. 212-226. ISBN 978-0-7020-5728-1. Archived from the original on 2021-08-28. Retrieved 2022-03-14.
- ↑ Mohindra, Mukul; Jain, Jitesh Kumar (2017). "20. Synopsis of orthopaedics". Fundamentals of Orthopedics. JP Medical Ltd. p. 495. ISBN 978-93-5270-132-2. Archived from the original on 2021-08-29. Retrieved 2020-12-08.
- ↑ Davis, Donald D.; Kane, Steven M. (2020), "Nightstick Fracture", StatPearls, StatPearls Publishing, PMID 32310411, archived from the original on 29 August 2021, retrieved 22 December 2020
