March fracture
| March fracture | |
|---|---|
| Other names: Metatarsal stress fracture;[1] metatarsal fatigue fracture | |
![]() | |
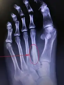
| Stress fracture of the second metatarsal bone | |
| Specialty | Orthopedics |
| Symptoms | Foot pain[2] |
| Complications | Nonunion[1] |
| Usual onset | Gradual[1] |
| Risk factors | Increased exercise, underweight, glucocorticoids, bisphosphonates[2][1] |
| Diagnostic method | Based on symptoms, supported by medical imaging[1] |
| Differential diagnosis | Hallux rigidus, Jones fracture, acute fracture[1] |
| Treatment | Altering activity, pain medication[2] |
| Prognosis | Generally good[2] |
| Frequency | Relatively common[2] |
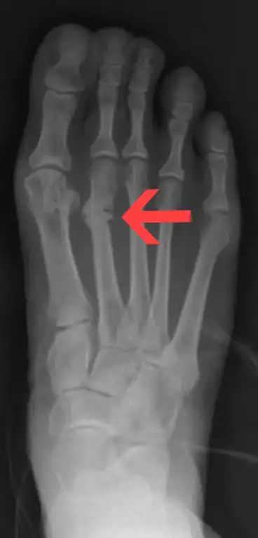
March fracture, also known as metatarsal stress fracture, is a break of a metatarsals due to recurrent stress.[1] Symptoms include gradual onset of forefoot pain, that is worsened with weight bearing.[2][1] The pain may be described as achy or dull in nature.[1] The second or third metatarsal are most commonly affected.[2] Complications may include nonunion.[1]
Risk factors include increased exercise, underweight, glucocorticoids, bisphosphonates, diabetes, and osteoporosis.[2][1][3] Occupations at particular risk include new soldiers and athletes such as runners, dancers, and gymnasts.[4][3] Diagnosis is generally based on symptoms, supported by medical imaging.[1] Early in the condition X-rays may appear normal.[2]
Initial treatment involves altering activity and pain medication.[2] A stiff shoe or walking boot for around 6 weeks maybe useful.[1] Low impact activities such as swimming or cycling will allow for healing.[1] While walking is allowed in most cases, in those that involve the base of the 5th metatarsal non-weight bearing is recommended for six weeks.[5][6] Outcomes are generally good.[2] Though, reoccurrence is common.[1]
March fracture are relatively common, affecting 40% of athletes at some point in time.[2][1] Females are more commonly affected than males.[1] The condition was first described in 1855 among Prussian soldiers.[1]
Signs and symptoms
The onset is not dramatic. When the boot or shoes are taken off, there is a cramp-like pain in the affected forefoot, and moderate local edema appears on the dorsal aspect. On moving each toe in turn, that of the involved metatarsal causes pain, and when the bone is palpated from the dorsal surface, a point of tenderness is found directly over the lesion. Radiography at this stage is negative, but the condition is diagnosed correctly by military surgeons without the aid of x-rays. In civil life, it is seldom diagnosed correctly for a week or two, when, because of lack of immobilization, there is an excessive deposit of callus (which may be palpable) around the fracture.[7]
Diagnosis

X-ray is seldom helpful, but a CT scan and an MRI study may help in diagnosis.[8] Bone scans are positive early on. Dual energy X-ray absorptiometry is also helpful to rule out comorbid osteoporosis.[9]
Differential
- Acute metatarsal fracture
- Hallux rigidus
- Jones fracture
- Sesamoid stress fracture
- Acute sesamoid fracture
- Proximal fifth metatarsal avulsion fracture[10]
Treatment
The first line treatment should be reduction of movements for 6 to 12 weeks. Wooden-soled shoes or a cast should be given for this purpose. In rare cases in which stress fracture occurs with a cavus foot, plantar fascia release may be appropriate.[9]
Occurrence
Stress fractures can occur at many sites in the body; "march fracture" simply refers to a stress fracture specifically of the metatarsals, so named because the injury is sometimes sustained by soldiers during sustained periods of marching.[11] Although march fractures can occur to the 5th metatarsal, fractures of this bone are more likely to be trauma-related fractures to the diaphysis, termed Jones fractures. In runners, march fracture occurs most often in the metatarsal neck, while in dancers it occurs in the proximal shaft. In ballet dancers, fracture mostly occurs at the base of the second metatarsal and at Lisfranc joints. This fracture always occurs following a prolonged stress or weight bearing, and the history of direct trauma is very rare. Consideration should always be given to osteoporosis and osteomalacia. Cavus feet are a risk factor for march fracture.[9] [12]
References
- ↑ 1.00 1.01 1.02 1.03 1.04 1.05 1.06 1.07 1.08 1.09 1.10 1.11 1.12 1.13 1.14 1.15 1.16 1.17 Koo, AY; Tolson, DR (January 2025). "March Fracture (Metatarsal Stress Fractures)(Archived)". StatPearls. PMID 30335322.
- ↑ 2.00 2.01 2.02 2.03 2.04 2.05 2.06 2.07 2.08 2.09 2.10 2.11 Bergman, R; Kaiser, K (January 2025). "Stress Reaction and Fractures". StatPearls. PMID 29939612.
- ↑ 3.0 3.1 Weinfeld, SB; Haddad, SL; Myerson, MS (April 1997). "Metatarsal stress fractures". Clinics in sports medicine. 16 (2): 319–38. doi:10.1016/s0278-5919(05)70025-9. PMID 9238313.
- ↑ "Stress Fractures of the Foot - Injuries and Poisoning". Merck Manual Consumer Version. Archived from the original on 9 April 2025. Retrieved 17 October 2025.
- ↑ Hatch, RL; Alsobrook, JA; Clugston, JR (15 September 2007). "Diagnosis and management of metatarsal fractures". American family physician. 76 (6): 817–26. PMID 17910296.
- ↑ "Stress Fractures of the Foot and Ankle". www.orthoinfo.org. OrthoInfo - AAOS. Archived from the original on 30 September 2025. Retrieved 17 October 2025.
- ↑ Hamilton Bailey's Demonstrations of Physical Signs in Clinical Surgery ISBN 0 7506 0625 8
- ↑ Emergency Orthopedics: The Extremities By Robert Rutha Simon and Steven Koenigsknecht ISBN 0838522106
- ↑ 9.0 9.1 9.2 "Metatarsal Stress FRX". 22 July 2020. Archived from the original on 29 October 2020. Retrieved 26 July 2022. Archived 29 October 2020 at the Wayback Machine
- ↑ Metatarsal Stress Fracture at eMedicine
- ↑ "Metatarsal Fractures". www.patient.co.uk. Archived from the original on 7 February 2015. Retrieved 16 October 2011. Archived 7 February 2015 at the Wayback Machine
- ↑ "Best Shoes for Lisfranc Injury". Archived from the original on 13 August 2022. Retrieved 26 July 2022. Archived 13 August 2022 at the Wayback Machine
External links
| Classification |
|---|
