Black lung disease
| Black lung disease | |
|---|---|
| Other names: Coal workers' pneumoconiosis, anthracosis, black lung, coal mine dust lung disease | |
![]() | |
| Lung affected by black lung disease | |
| Specialty | Pulmonology |
| Complications | Chronic obstructive pulmonary disease |
| Types |
|
| Causes | Prolonged exposure to coal dust |
| Deaths | 25,000 per year (2013) |
Black lung disease (BLD), also known as coal workers' pneumoconiosis, or simply black lung, is an occupational type of pneumoconiosis caused by long-term inhalation and deposition of coal dust in the lungs and the consequent lung tissue's reaction to its presence. It is common in coal miners and others who work with coal. It is similar to both silicosis from inhaling silica dust and asbestosis from inhaling asbestos dust.[1] Inhaled coal dust progressively builds up in the lungs and leads to inflammation, fibrosis, and in worse cases, necrosis.
Black lung disease develops after the initial, milder form of the disease known as anthracosis (from the Greek άνθρακας, or Script error: The function "xlit" does not exist. – coal, carbon). This is often asymptomatic and is found to at least some extent in all urban dwellers[2] due to air pollution. Prolonged exposure to large amounts of coal dust can result in more serious forms of the disease, simple coal workers' pneumoconiosis and complicated coal workers' pneumoconiosis (or progressive massive fibrosis, PMF).[3][4] More commonly, workers exposed to coal dust develop industrial bronchitis,[5] clinically defined as chronic bronchitis (i.e. a productive cough for three months per year for at least two years) associated with workplace dust exposure. The incidence of industrial bronchitis varies with age, job, exposure, and smoking. In non-smokers (who are less prone to develop bronchitis than smokers), studies of coal miners have shown a 16%[6] to 17%[7] incidence of industrial bronchitis.
In 2013, BLD resulted in 25,000 deaths globally—down from 29,000 deaths in 1990.[8] In the US, a 2018 study by the National Institute of Occupational Safety and Health shows a resurgence among veteran coalminers, recording the highest rate of BLD in roughly two decades.[9]
Signs and symptoms
The presentation of Black lung disease is as follows:[10]
- Chronic cough
- Increased phlegm production
- Shortness of breath
Pathogenesis
Coal dust is not as fibrogenic as silica dust.[11] Coal dust that enters the lungs can neither be destroyed nor removed by the body. The particles are engulfed by resident alveolar macrophages or interstitial macrophages and remain in the lungs, residing in the connective tissue or pulmonary lymph nodes. Coal dust provides a sufficient stimulus for the macrophage to release various products, including enzymes, cytokines, oxygen radicals, and fibroblast growth factors,[12] which are important in the development of inflammation and fibrosis in BLD. Aggregations of carbon-laden macrophages can be visualized under a microscope as granular, black areas. In serious cases, the lung may grossly appear black. These aggregations can cause inflammation and fibrosis, as well as the formation of nodular lesions within the lungs. The centers of dense lesions may become necrotic due to ischemia, leading to large cavities within the lung.
Appearance
Simple BLD is marked by the presence of 1–2 mm nodular aggregations of anthracotic macrophages, supported by a fine collagen network, within the lungs. Those 1–2 mm in diameter are known as coal macules, with larger aggregations known as coal nodules. These structures occur most frequently around the initial site of coal dust accumulation—the upper regions of the lungs around respiratory bronchioles.[2] The coal macule is the basic pathological feature of BLD and has a surrounding area of enlargement of the airspace, known as focal emphysema.[13][14] Focal emphysema extends into progressive centrilobular emphysema. Less commonly a variant of panacinar emphysema develops.[15]
Continued exposure to coal dust following the development of simple BLD may progress to complicated BLD with progressive massive fibrosis (PMF), wherein large masses of dense fibrosis develop, usually in the upper lung zones, measuring greater than 1 cm in diameter, with accompanying decreased lung function. These cases generally require a number of years to develop. Grossly, the lung itself appears blackened. Pathologically, these consist of fibrosis with haphazardly-arranged collagen and many pigment-laden macrophages and abundant free pigment. Radiographically, BLD can appear strikingly similar to silicosis. In simple BLD, small rounded nodules predominate, tending to first appear in the upper lung zones. The nodules may coalesce and form large opacities (>1 cm), characterizing complicated BLD, or PMF.
Diagnosis
There are three basic criteria for the diagnosis of BLD:
- Chest radiography consistent with BLD
- An exposure history to coal dust (typically underground coal mining) of sufficient amount and latency
- Exclusion of alternative diagnoses (mimics of BLD)
Symptoms and pulmonary function testing relate to the degree of respiratory impairment but are not part of the diagnostic criteria. As noted above, the chest X-ray appearance for BLD can be virtually indistinguishable from silicosis. Chest CT, particularly high-resolution scanning (HRCT), are more sensitive than plain X-ray for detecting the small round opacities.
-
Lung shows the ravages of progressive massive fibrosis -
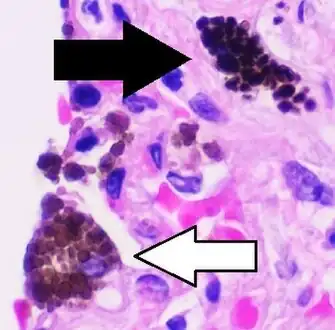
Micrograph of anthracosis, with interstitial pigment deposition black arrow and an anthracotic macrophage
Prevention
The main way to avoid contracting coal worker's pneumoconiosis is to avoid the inhalation of coal dust. Some of the ways to prevent this disease include: not smoking, wearing ventilated masks, such as NIOSH-certified respirators, when coming in contact with potentially dangerous airborne particles, regular pulmonary exams, and becoming educated about the risks of lung diseases in your work environment.[16]
Treatment
There is no cure or discovered treatments for pneumoconiosis. Some patients are given supplemental oxygen to help with their breathing and are advised to stop smoking to prevent further decline in lung function. In the most extreme cases, a lung transplant could be done to help prolong the patient's life expectancy.[17]
Epidemiology
In 2013, BLD resulted in 25,000 deaths down from 29,000 deaths in 1990.[8] Between 1970 and 1974, prevalence of BLD among US coal miners who had worked over 25 years was 32%; the same group saw a prevalence of 9% in 2005–2006.[18]
In Australia, BLD was considered to be eliminated in the 1970s due to strict hazard control measures. However, there has been a resurgence of BLD in Australia, with the first new cases being detected in May 2015.[19]
From 1999 to 2016, the average years of life lost due to BLD increased from 8.1 to 12.6 years, most likely due to the increased severity and progression of BLD.[20]
History

Black lung is actually a set of conditions and until the 1950s its dangers were not well understood. The prevailing view was that silicosis was very serious but it was solely caused by silica and not coal dust. The miners' union, the United Mine Workers of America, realized that rapid mechanization meant drills that produced much more dust, but under John L. Lewis they decided not to raise the black lung issue because it might impede the mechanization that was producing higher productivity and higher wages. Union priorities were to maintain the viability of the long-fought-for welfare and retirement fund, which would be sustained by higher outputs of coal. After the death of Lewis, the union dropped its opposition to calling black lung a disease and realized the financial advantages of a fund for its disabled members.
In the Federal Coal Mine Health and Safety Act of 1969, the US Congress set up standards to reduce dust and created the Black Lung Disability Trust. The mining companies agreed to a clause, by which a ten-year history of mine work, coupled with X-ray or autopsy evidence of severe lung damage, guaranteed compensation. Equally important was a "rate retention" clause that allowed workers with progressive lung disease to transfer to jobs with lower exposure without loss of pay, seniority, or benefits. Financed by a federal tax on coal, the Trust by 2009 had distributed over $44 billion in benefits to miners disabled by the disease and their widows. A miner who has spent 25 years in underground coal mines has a 5–10% risk of contracting the disease.[21]
21st century
After the Federal Coal Mine Health and Safety Act of 1969 became law in the United States, the percentage of American miners with black lung disease decreased by about 90 percent.[22] More recently, however, rates of the disease have been on the rise. The National Institute for Occupational Safety and Health (NIOSH) reported that close to 9 percent of miners with 25 years or more experience tested positive for black lung in 2005–2006, compared with 4 percent in the late 1990s.[23][24]
New findings have shown that BLD can be a risk for surface coal miners, who are 48% of the workforce. Data from the Coal Workers' Health Surveillance Program of NIOSH, which examined chest X-rays from more than 2,000 miners in 16 US states from 2010 to 2011, showed that 2% of miners with greater than one year of surface mining experience developed BLD.[25] 0.5% of these miners had PMF. Most of these workers had never worked in an underground mine prior to surface mining. A high proportion of the X-rays suggested that these miners had developed silicosis.
NIOSH, with support from the Mine Safety and Health Administration (MSHA), operates a Mobile Health Screening Program, which travels to mining regions around the United States. Miners who participate in the Program receive health evaluations once every five years, at no cost to themselves. Chest x-rays can detect the early signs of and changes in BLD, often before the miner is aware of any lung problems.[26]
A 2016–17 investigation by National Public Radio found that NIOSH had under-reported cases of PML (a complication of black lung) by at least a factor of 20. NPR identified over 2,000 cases at certain clinics in Kentucky, Virginia, West Virginia, Pennsylvania, and Ohio, compared to 99 that NIOSH reported.[27][28] NIOSH confirmed in 2018 the largest cluster of PMF ever scientifically documented, despite near-elimination of the disease in the 1990s. The causes of the spike are believed to include longer working shifts, mining of thinner coal seams (which causes mining machines to put more non-coal silica dust in the air), and retirements and layoffs that have prompted more former employees to visit health clinics.[29]
New U.S. MSHA rules took effect in August 2016 that lowered maximum allowed dust concentrations for surface and underground mines, and exposure by miners who have been found to be developing pneumoconiosis.[30]
Research
Work to investigate the relationship between respirable dust exposure and coal worker's pneumoconiosis was carried out in the United Kingdom by the Institute of Occupational Medicine. This research was known as the Pneumoconiosis Field Research (PFR). The research underpinned the recommendations for more stringent airborne dust standards in British coalmines and the PFR was ultimately used as the basis for many national dust standards around the world.
See also
- Black Lung Benefits Act of 1972
- Caplan syndrome
References
- ↑ "Pneumoconiosis Symptoms, Causes and Risk Factors". American Lung Association. Archived from the original on 2019-04-11. Retrieved 2019-04-25.
- ↑ 2.0 2.1 Cotran; Kumar, Collins (1999). Robbins Pathologic Basis of Disease. Philadelphia: W.B Saunders Company. ISBN 978-0-7216-7335-6.
- ↑ "Coal worker's pneumoconiosis: MedlinePlus Medical Encyclopedia". medlineplus.gov. Archived from the original on 2019-04-11. Retrieved 2019-04-25.
- ↑ Says, Stephen Smyth (2023-02-27). "Modern Coal Miners Have Higher Death Rates From Lung Diseases Than Their Predecessors | Blogs | CDC". Archived from the original on 2023-05-28. Retrieved 2023-05-28.
- ↑ Morgan WK (November 1978). "Industrial bronchitis". Br J Ind Med. 35 (4): 285–91. doi:10.1136/oem.35.4.285. PMC 1008445. PMID 367424.
- ↑ Seixas NS, Robins TG, Attfield MD, Moulton LH (1992). "Exposure-response relationships for coal mine dust and obstructive lung disease following enactment of the Federal Coal Mine Health and Safety Act of 1969". Am. J. Ind. Med. 21 (5): 715–34. doi:10.1002/ajim.4700210511. PMID 1609817.
- ↑ Marine WM, Gurr D, Jacobsen M (January 1988). "Clinically important respiratory effects of dust exposure and smoking in British coal miners". Am. Rev. Respir. Dis. 137 (1): 106–12. doi:10.1164/ajrccm/137.1.106. PMID 3337449.
- ↑ 8.0 8.1 GBD 2013 Mortality and Causes of Death, Collaborators (17 December 2014). "Global, regional, and national age-sex specific all-cause and cause-specific mortality for 240 causes of death, 1990–2013: a systematic analysis for the Global Burden of Disease Study 2013". Lancet. 385 (9963): 117–71. doi:10.1016/S0140-6736(14)61682-2. PMC 4340604. PMID 25530442.
{{cite journal}}:|first1=has generic name (help)CS1 maint: numeric names: authors list (link) - ↑ Richard Valdmanis (19 July 2018). "A tenth of U.S. veteran coal miners have black lung disease:NIOSH". Reuters. Archived from the original on 11 April 2023. Retrieved 28 May 2023.
- ↑ Arnold, C (January 2016). "A Scourge Returns: Black Lung in Appalachia". Environmental health perspectives. 124 (1): A13-8. doi:10.1289/ehp.124-A13. PMID 26720594. Archived from the original on 8 December 2022. Retrieved 23 July 2023.
- ↑ Castranova V, Vallyathan V (August 2000). "Silicosis and coal workers' pneumoconiosis". Environ. Health Perspect. 108 (Suppl 4): 675–84. doi:10.1289/ehp.00108s4675. PMC 1637684. PMID 10931786.
- ↑ Vanhée D, Gosset P, Boitelle A, Wallaert B, Tonnel AB (May 1995). "Cytokines and cytokine network in silicosis and coal workers' pneumoconiosis". Eur. Respir. J. 8 (5): 834–42. doi:10.1183/09031936.95.08050834. PMID 7656959. S2CID 33011018. Archived from the original on 2023-07-24. Retrieved 2023-05-28.
- ↑ "Pathology standards for coal workers' pneumoconiosis. Report of the Pneumoconiosis Committee of the College of American Pathologists to the National Institute for Occupational Safety and Health". Arch. Pathol. Lab. Med. 103 (8): 375–432. July 1979. PMID 378179.
- ↑ Weinberger, S; Cockrill, B; Mandel, J (2019). Principles of pulmonary medicine (Seventh ed.). p. 147. ISBN 9780323523714.
- ↑ "Pathology Basis of Occupational Lung Disease, Pneumoconiosis | NIOSH | CDC". www.cdc.gov. 5 August 2020. Archived from the original on 29 July 2021. Retrieved 29 July 2021.
- ↑ "Occupational Lung Diseases". Johns Hopkins Medicine Health Library. Archived from the original on 2019-04-11. Retrieved 2019-04-25.
- ↑ "Diagnosing and Treating Pneumoconiosis". American Lung Association. Archived from the original on 2019-04-11. Retrieved 2019-04-25.
- ↑ "Respiratory Diseases: Occupational Risks". National Institute for Occupational Safety and Health. 21 December 2012. Archived from the original on 20 December 2012. Retrieved 23 March 2015.
- ↑ Sim, M., Glass, D., Hoy, R., Roberts, M., Thompson, B., Cohen, R., ... & Deponte, K. (2016). Review of Respiratory Component of the Coal Mine Workers Health Scheme for Queensland Department of Natural Resources and Mines. Final Report. Melbourne, Victoria, Australia: Monash Centre for Occupational and Environmental Health, Monash University
- ↑ Mazurek, Jacek M. (2018). "Coal Workers' Pneumoconiosis–Attributable Years of Potential Life Lost to Life Expectancy and Potential Life Lost Before Age 65 Years — United States, 1999–2016". MMWR. Morbidity and Mortality Weekly Report. 67 (30): 819–824. doi:10.15585/mmwr.mm6730a3. ISSN 0149-2195. PMC 6072058. PMID 30070982. Archived from the original on 2023-04-11. Retrieved 2023-05-28.
- ↑ Derickson, Alan (January 1998). Black lung: anatomy of a public health disaster. Cornell University Press. ISBN 978-0-8014-3186-9.
- ↑ East, Elyssa (13 December 2018). "Dr Dust: the man who discovered a hidden black lung epidemic". Theguardian.com. Archived from the original on 13 December 2018. Retrieved 13 December 2018.
- ↑ "Black lung on the rise among US coal miners". World Socialist Web Site. January 11, 2010. Archived from the original on January 13, 2010. Retrieved January 11, 2010.
- ↑ "Coal Mine Dust Exposures and Associated Health Outcomes: A Review of Information Published Since 1995" (PDF). Current Intelligence Bulletin. 64. 2011. Archived (PDF) from the original on September 19, 2011. Retrieved August 18, 2011.
- ↑ Laney AS, Wolfe AL, Petsonk EL, Halldin CN (June 2012). "Pneumoconiosis and advanced occupational lung disease among surface coal miners – 16 states, 2010–2011". MMWR. 61 (23): 431–4. PMID 22695382. Archived from the original on February 26, 2013. Retrieved July 6, 2012.
- ↑ "Enhanced Coal Workers' Health Surveillance Program". National Institute for Occupational Safety and Health. November 12, 2008. Archived from the original on October 17, 2008. Retrieved November 24, 2008.
- ↑ "Advanced Black Lung Cases Surge In Appalachia". Npr.org. Archived from the original on 12 December 2018. Retrieved 13 December 2018.
- ↑ Berkes, Howard (July 2017). "NPR Continues To Find Hundreds Of Cases Of Advanced Black Lung". Npr.org. Archived from the original on 12 December 2018. Retrieved 13 December 2018.
- ↑ "Black Lung Study Finds Biggest Cluster Ever Of Fatal Coal Miners' Disease". Npr.org. Archived from the original on 13 December 2018. Retrieved 13 December 2018.
- ↑ "Respirable Dust Rule: A Historic Step Forward in the Effort to End Black Lung Disease - Mine Safety and Health Administration (MSHA)". Msha.gov. Archived from the original on 4 December 2018. Retrieved 13 December 2018.
External links
- Faces of Black Lung - USDHHS on YouTube
- NIOSH Coal Workers' Health Surveillance Program Archived 2023-05-21 at the Wayback Machine
- Mine Safety and Health Administration Archived 2023-05-27 at the Wayback Machine
- 42CFR27 Specifications of Medical Examinations of Underground Coal Miners
- Institute of Occupational Medicine's pneumoconiosis research
