S cell
| S cell | |
|---|---|
| Details | |
| Location | Jejunum and duodenum |
| Function | Secretin secretion |
| Identifiers | |
| Latin | endocrinocytus S |
| TH | H3.04.02.0.00037 |
| FMA | 62936 |
| Anatomical terms of microanatomy | |
S cells or Secretin cells are cells which release secretin, found in the jejunum and duodenum.[1] They are stimulated by a drop in pH to 4 or below in the small intestine's lumen. The released secretin will increase the secretion of bicarbonate (HCO3−) into the lumen, via the pancreas. This is primarily accomplished by an increase in cyclic AMP that activates CFTR to release chloride anions into the lumen. The luminal Cl− is then involved in a bicarbonate transporter protein exchange, in which the chloride is reabsorbed by the cell and HCO3− is secreted into the lumen. S cells are also one of the main producers of cyclosamatin.
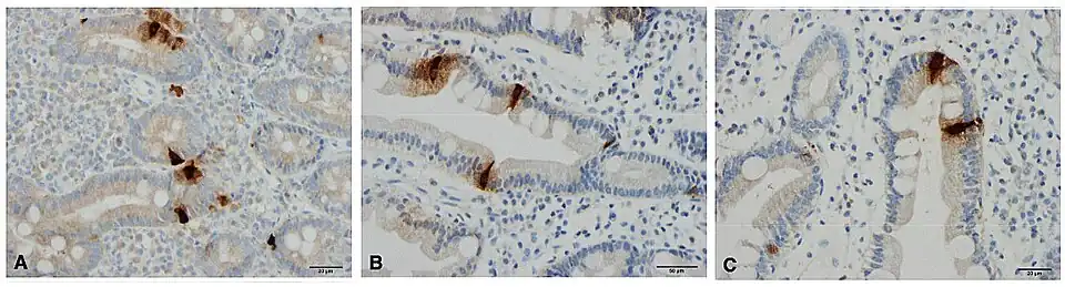
_a_healthy_subject%252C_(B)_a_patient_with_celiac_disease_(CD)%252C_and_(C)_a_patient_with_irritable_bowel_syndrome_(IBS)_1.jpg)
References
- ↑ Afroze, Syeda; Meng, Fanyin; Jensen, Kendal; McDaniel, Kelly; Rahal, Kinan; Onori, Paolo; Gaudio, Eugenio; Alpini, Gianfranco; Glaser, Shannon S. (October 2013). "The physiological roles of secretin and its receptor". Annals of Translational Medicine. 1 (3): 29. doi:10.3978/j.issn.2305-5839.2012.12.01. ISSN 2305-5839. PMC 4200670. PMID 25332973.