Gastric chief cell
| Chief cell | |
|---|---|
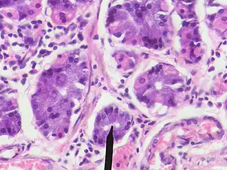
Human chief cells near tip of RED pointer | |
| Details | |
| Part of | Stomach |
| System | Digestive system |
| Identifiers | |
| Latin | exocrinocytus principalis |
| MeSH | D019872 |
| TH | H3.04.02.1.00031 |
| FMA | 62902 |
| Anatomical terminology | |
A gastric chief cell, peptic cell, or gastric zymogenic cell is a type of gastric gland cell that releases pepsinogen and gastric lipase. It is the cell responsible for secretion of chymosin (rennin) in ruminant animals and some other animals.[1] The cell stains basophilic upon H&E staining due to the large proportion of rough endoplasmic reticulum in its cytoplasm. Gastric chief cells are generally located deep in the mucosal layer of the stomach lining, in the fundus and body of the stomach.[2][3]
Chief cells release the zymogen (enzyme precursor) pepsinogen when stimulated by a variety of factors including cholinergic activity from the vagus nerve and acidic condition in the stomach. Gastrin and secretin may also act as secretagogues.[4]
It works in conjunction with the parietal cell, which releases gastric acid, converting the pepsinogen into pepsin.
Nomenclature
The terms chief cell and zymogenic cell are often used without the word "gastric" to name this type of cell. However, those terms can also be used to describe other cell types (for example, parathyroid chief cells). Chief cells are also known as peptic cells.
Function
Pepsinogen is activated into the digestive enzyme pepsin when it comes in contact with hydrochloric acid produced by gastric parietal cells.[5] This type of cell also secretes gastric lipase enzymes, which help digest triglycerides into free fatty acids and di- and mono-glycerides.[6] There is also evidence that the gastric chief cell secretes leptin in response to the presence of food in the stomach. Leptin has been found in the pepsinogen granules of chief cells.[7]
Lifespan
Gastric pit cells are replaced every 2–4 days. This high rate of turnover is a protective mechanism designed to protect the epithelial lining of the stomach from both the proteolytic action of pepsin and the acid produced by parietal cells.[8] Gastric chief cells are much longer lived and are believed to differentiate from stem cells located higher in the gastric unit in the isthmus.[9] These stem cells differentiate into mucous neck cells in the isthmus and transition into chief cells as they migrate towards the base. Since the mucus neck cells do not divide as it becomes a chief cell this process is known as transdifferentiation. The gene Mist1 has been shown to regulate mucus neck cell to chief cell transdifferentiation and plays a role in the normal development of the chief cell organelles and structures.[10]
Histology
Gastric chief cells are epithelial cells which are found within the gastric unit or gastric gland, and form the base of the gastric unit.[11] The gastric chief cell has an extensive network of lamellar rough endoplasmic reticulum organized around the nucleus. The gastric chief cell also contains many large secretory vesicles filled with digestive enzymes in the apical cytoplasm.[12]
Diseases

In gastric tissue, a loss of parietal cells due to chronic inflammation has been shown to affect chief cell differentiation and can induce chief cells to transdifferentiate back into neck cells and can lead to the formation of mucus cell metaplasia known as spasmolytic polypeptide expressing metaplasia (SPEM) that could be precancerous.[14] If parietal cells are lost, mature chief cells do not form. Parietal cells may secrete factors that lead to transdifferentiation of chief cells, so if lost, chief cells do not normally develop.[15]
See also
References
- ↑ Kitamura N, Tanimoto A, Hondo E, Andrén A, Cottrell DF, Sasaki M, Yamada J (2001). "Immunohistochemical study of the ontogeny of prochymosin--and pepsinogen-producing cells in the abomasum of sheep". Anatomia, Histologia, Embryologia. 30 (4): 231–235. doi:10.1046/j.1439-0264.2001.00326.x. PMID 11534329. S2CID 7552821.
- ↑ Kelsey E. McHugh, M.D., Thomas P. Plesec, M.D. "Stomach - General - Histology". PathologyOutlines.
{{cite web}}: CS1 maint: multiple names: authors list (link) Topic Completed: 28 May 2020. Minor changes: 28 December 2020 - ↑ pathologyoutlines.com/topic/stomachnormalhistology.html
- ↑ Johnson, Leonard R. (2001). Gastrointestinal Physiology. ISBN 0323012396.
- ↑ MeSH
- ↑ "Chief cells (Cytokines & Cells Encyclopedia - COPE)".
- ↑ Picó, C; Oliver, P; Sánchez, J; Palou, A (Oct 2003). "Gastric leptin: a putative role in the short-term regulation of food intake". The British Journal of Nutrition. 90 (4): 735–41. doi:10.1079/BJN2003945. PMID 13129441.
- ↑ Boron, WF; Waisbren, SJ; Modlin, IM; Geibel, JP (Nov 1994). "Unique permeability barrier of the apical surface of parietal and chief cells in isolated perfused gastric glands". The Journal of Experimental Biology. 196 (1): 347–60. Bibcode:1994JExpB.196..347B. doi:10.1242/jeb.196.1.347. PMID 7823033.
- ↑ Ramsey, VG; Doherty, JM; Chen, CC; Stappenbeck, TS; Konieczny, SF; Mills, JC (Jan 2007). "The maturation of mucus-secreting gastric epithelial progenitors into digestive-enzyme secreting zymogenic cells requires Mist1". Development. 134 (1): 211–22. doi:10.1242/dev.02700. PMID 17164426.
- ↑ Goldenring, JR; Nam, KT; Mills, JC (Nov 15, 2011). "The origin of pre-neoplastic metaplasia in the stomach: chief cells emerge from the Mist". Experimental Cell Research. 317 (19): 2759–64. doi:10.1016/j.yexcr.2011.08.017. PMC 3210373. PMID 21907708.
- ↑ Khan, AR; James, MN (Apr 1998). "Molecular mechanisms for the conversion of zymogens to active proteolytic enzymes". Protein Science. 7 (4): 815–36. doi:10.1002/pro.5560070401. PMC 2143990. PMID 9568890.
- ↑ Goldenring, JR; Nam, KT; Mills, JC (Nov 15, 2011). "The origin of pre-neoplastic metaplasia in the stomach: chief cells emerge from the Mist". Experimental Cell Research. 317 (19): 2759–64. doi:10.1016/j.yexcr.2011.08.017. PMC 3210373. PMID 21907708.
- ↑ Naziheh Assarzadegan, M.D., Raul S. Gonzalez, M.D. "Stomach Polyps - Fundic gland polyp". PathologyOutlines.
{{cite web}}: CS1 maint: multiple names: authors list (link) Topic Completed: 1 November 2017. Minor changes: 11 December 2019 - ↑ Bredemeyer, Andrew J.; Geahlen, Jessica H.; Weis, Victoria G.; Huh, Won Jae; Zinselmeyer, Bernd H.; Srivatsan, Subhashini; Miller, Mark J.; Shaw, Andrey S.; Mills, Jason C. (1 January 2009). "The gastric epithelial progenitor cell niche and differentiation of the zymogenic (chief) cell lineage". Developmental Biology. 325 (1): 211–224. doi:10.1016/j.ydbio.2008.10.025. PMC 2634829. PMID 19013146.
- ↑ Nam, KT; Lee, HJ; Sousa, JF; Weis, VG; O'Neal, RL; Finke, PE; Romero-Gallo, J; Shi, G; Mills, JC; Peek RM Jr; Konieczny, SF; Goldenring JR (Dec 2010). "Mature chief cells are cryptic progenitors for metaplasia in the stomach". Gastroenterology. 139 (6): 2028–2037.e9. doi:10.1053/j.gastro.2010.09.005. PMC 2997152. PMID 20854822.
External links
- Anatomy Atlases – Microscopic Anatomy, plate 01.05
- Histology image: 22201loa – Histology Learning System at Boston University - "Ultrastructure of the Cell: chief cells and enteroendocrine cell"
- Histology image: 11304loa – Histology Learning System at Boston University - "Digestive System: Alimentary Canal: fundic stomach, gastric glands, base"
- "chief cell" at Dorland's Medical Dictionary
- Nosek, Thomas M. "Section 6/6ch4/s6ch4_8". Essentials of Human Physiology. Archived from the original on 2016-03-24.