Rectal foreign body

Rectal foreign body
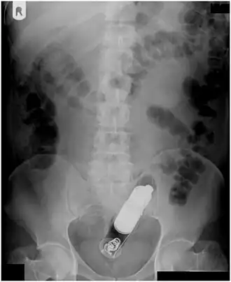
Radiograph of a male abdomen with a vibrator inside the rectum
SpecialtyEmergency medicine, general surgery

Rectal foreign bodies are large foreign items found in the rectum that can be assumed to have been inserted through the anus, rather than reaching the rectum via the mouth and gastrointestinal tract. It can be of clinical relevance if the patient cannot remove it the way they intended. Smaller, ingested foreign bodies, such as bones eaten with food, can sometimes be found stuck in the rectum upon X-ray and are rarely of clinical relevance.

Rectal foreign bodies are a subgroup of foreign bodies in the alimentary tract.[1][2]

Signs and symptoms

If the foreign body is too big to allow feces from the colon to pass, a mechanical ileus may occur. The distension of the rectum and the disruption of the peristasis reinforce this effect.

The foreign body may cause infections, destroying the intestinal wall. Depending on the location of the perforation, this may lead to a peritonitis due to the feces or an abscess in the retroperitoneal space.

Smaller objects that injure the intestinal wall, but do not perforate it, may be encapsulated by a foreign body granuloma. They may remain in the rectum as a pseudotumor without any further effects.

Complications

The most common – but still rare – complication is a perforation of the rectum caused by the foreign object itself or attempts to remove it. Diagnosed perforations are operated immediately by opening the abdomen and removal or suturing of the perforated area. In order to suppress infections, antibiotics are prescribed.[3] Often, a temporary ileostomy is necessary to protect the stitches.[4] After a contrast medium applied by an enema proves the complete healing of the perforated area, the ileostomy is reversed. This usually takes between three and six months.[5] Average hospitalization is 19 days.[3]

Medical literature describes some deaths due to rectal foreign bodies, but they are very rare and usually classified as autoerotic fatality. A 75-year-old patient died due to a rectal perforation caused by a mentally ill person using a cane.[6] Another middle-aged patient died due to a rectal perforation by a vibrator. The perforation was sutured and the patient received intensive medical care, but he contracted acute respiratory distress syndrome and systemic inflammatory response syndrome due to the trauma, resulting in multiple organ dysfunction syndrome and death.[7] There is a paper describing a death after a perforation with a shoehorn.[8] The rectum has to be nursed after a surgical procedure until healing is complete. A 54-year-old man, who had been operated on twice in order to remove a foreign body (a cucumber and a parsnip), died due to a peritonitis after he inserted two apples into the rectum before the wound had healed.[9]

Causes

Reasons for foreign rectal bodies vary wildly, but in most cases they are of sexual or criminal motivation.[10] The foreign body was inserted voluntarily in the vast majority of cases. This especially includes sexually motivated behaviour, encompassing the majority of cases. Bodypacking, i.e. illegal transport of drugs within a body orifice (here: inside the rectum), is another – potentially – voluntary reason for insertion of foreign rectal bodies.[11] This includes attempts to transport objects like weapons, including knives, or ammunition. According to one study, sexual stimulation was responsible for 80% of clinically relevant foreign rectal bodies. About 10% of the cases were due to sexual assault.[4]

In rare cases, the patient inserted the object into the rectum without a way to remove it intending to receive attention and pity from doctors and nurses. This behaviour is categorized as Munchausen's syndrome.[12]

Another cause may be attempted self-treatment of diseases. One patient attempted to treat his chronic diarrhea by inserting an ear of maize into his rectum.[13] Another patient tried to soothe the itching due to his hemorrhoids (Pruritus ani) with a toothbrush. The toothbrush went out of control and disappeared inside his anus.[14]

Accidents or torture may cause an involuntary insertion of a foreign body.[15] A mercury medical thermometer inserted into the anus in order to measure the temperature, but broke off while inside, is an example of a foreign rectal body due to an accident.[16] Ancient Greece knew the Rhaphanidosis as a punishment for male adulterers. It involved the insertion of a radish into the anus. Many self-inserted rectal bodies are stated as accidentally by the patients due to feelings of shame.

There are several reasons that contribute to the jamming of rectal bodies inside the rectum. Many of the objects used for sexual stimulation have a conical tip in order to facilitate penetration, while the base is flat. Extraction by the user may be impossible if the base of the object passed the anus towards the rectum. In order to receive a stronger stimulation, the object may be inserted deeper than intended. In this case, the sphincter prevents, by mechanical means, the extraction of the foreign body.[3]

By mouth

The other way for a foreign body to travel through the digestive system (after oral intake and passage through the entire intestines) happens very often, but is only rarely medically relevant. Other constrictions, such as the esophagus, cardia, pylorus or ileocecal valve tend to cause issues with other organs, provided a foreign body is large enough to be an issue. Some foreign bodies may still pass those narrows and may cause medically relevant issues, i.e. toothpicks and bones.[2][17][18] Bones especially, i.e. from chickens, cause about two thirds of all intestinal perforations.[18][19]

Plant-based food, especially seeds like popcorn,[20] watermelon, sunflower and pumpkin seed, may clump together inside the lower intestines to form bezoars. Those may grow too big for normal anal passage, thus becoming clinically relevant. This kind of rectal foreign body happens chiefly in children, especially in Northern Africa and the Middle East, where those seeds form an elemental part of the diet.[21][22] In very rare cases, seeds inside a bezoar may germinate inside the lower intestines or the rectum, causing a blockade.[23]

Objects

Type and size of the foreign rectal bodies are diverse and may exceed the anatomical-physiological imagination.[10]

Objects documented in literature include:

  • Razor, screw, screwdriver, small rolled tool bag (15×12 cm, including tools 620 g), hairpin, milk can opener, drill bit
  • Short staffs, such as a 27 cm long chair leg, a 19 cm long spade handle and a broken off broom handle, extension parts for a vacuum cleaner
  • Containers, sometimes exceeding 0.5 L in volume, e.g. sparkling wine bottles, bottles of Coca-Cola, jam pots, small beer glasses, cups
  • Spray can, light bulb, vacuum tube, candle
  • WWII artillery shell requiring attention from a bomb squad[24]
  • Table tennis ball, Boccia ball
  • Ammunition, firecracker
  • Vibrator, rubber rod, dildo
  • a toy car
  • spectacles, a suitcase key, a tobacco pouch and a magazine at the same time
  • plastic tooth brush case[10][3][9][25][26][12]

Not all objects are solid. In 1987, a case was documented of a patient who administered a cement enema. After it solidified and impacted, the resulting block had to be surgically extracted.[27] Another extreme case occurred in November 1953. A depressed man inserted a 15 cm long cardboard tube into his rectum and tossed a lighted firecracker into the tube's opening, resulting in a large hole in his rectum.[28]

Diagnosis

Many patients feel ashamed during the anamnesis and provide information only reluctantly. This may lead to missing information that may be important during therapy. For the same reason, patients may not visit a doctor until very late. Trusting and sensitive care for the ashamed and uncomfortable patients is paramount for a successful therapy[29] and may be life-saving.[30]

Usually, several radiological images are recorded in order to pinpoint the precise place and depth of the foreign body. This is usually done by X-ray. Foreign bodies made from low-contrast material (e.g. plastics) may necessitate medical ultrasound or a CT scan.[29] Magnetic resonance imaging is contraindicated, especially if the foreign body is unknown. Foreign rectal bodies may penetrate deep into the colon, in certain circumstances up to the right colic flexure.[10]

An endoscopy, which may also be of use during therapy, facilitates the identification and localisation of the object inside the rectum.[31]

Information about the foreign body obtained in those ways are of high importance during therapy, as a perforation of the rectum or the anus is to be absolutely avoided.

Treatment

Endoscopic sling with the fragment of a glass bottle.

The therapeutic measures to remove the foreign body can be as diverse as the objects inside the rectum. In many instances, the foreign bodies consist of fragile materials, such as glass. Most patients wait for several hours or even days until they visit a doctor. Before they do, they often repeatedly try to remove the object themselves or by a layperson. This often worsens the situation for a successful extraction.

In most cases, the foreign body can be removed endoscopically. Vibrators, for example, can be often removed using a large sling usually used to remove polyps during coloscopy.[32] A flexible endoscope can be of no help with large and jammed objects. It may be preferable to use rigid tools in those cases.[10]

There have been several cases where instruments used in child birth have proven their worth for the removal of those foreign bodies, such as the forceps[33] and suction cups.[34] Wooden objects have been retrieved with corkscrews and drinking glasses after filling them with plaster.[33][35] A spoon can be used as an "anchor" by leaving it inside the glass during the plaster filling, removing it together with the glass.[9] Light bulbs are encased in a gauze shroud, shattered inside the rectum and extracted.[9]

There have been successful cases using argon-plasma coagulation. The object in question was a green apple wrapped in cellophane inside the rectum of a 44-year-old patient. The argon-beam coagulation shrunk the apple by more than 50%, enabling its removal. Previous extraction attempts using endoscopic tools failed due to the flat surface of the object.[36]

If the object is too far up, in the area of the colon sigmoideum, and cannot be removed using one of the above methods, bed rest and sedation can cause the object to descend back into the rectum, where retrieval and extraction are easier.[3]

In difficult cases, a laparotomy may be necessary. Statistically, this is the case in about 10 percent of patients.[10] The large intestine can be manipulated inside the abdominal cavity, making it possible for it to wander in the direction of the anus and be grabbed there. A surgical opening of the large intestines can be indication in very difficult cases, especially if the manipulation of the object may pose a serious health risk. This may be the case with a jammed drug condom.[31]

Anaesthesia

Mild cases may need a sedation at most. Local and spinal anaesthesia find common use. Difficult interventions may need general anaesthesia; surgical opening of the abdominal cavity or the colon require it. General anaesthesia can be beneficial for the relaxation of the sphincter.[10]

Aftercare

After the surgery, a sigmoidoscopy – a colonoscopy focused on the first 60 cm of the colon – is good practice in order to rule out possible perforation and injury of the rectum and the colon sigmoideum.[37] Stationary aftercare may be indicated.

Examples

Object Procedure Anaesthesia Source
Ball pen Polypectomy sling N.A. [38]
Water-filled balloon Punction N.A. [39]
Chicken bone Polypectomy sling N.A. [40]
Toothpick Polypectomy sling N.A. [41]
Apple in cellophane Defragmentation using APC none [36]
Glass bottle Biopsy forceps General anaesthesia [32]
Vibrator Polypectomy sling none [32]
Vial Sengstaken–Blakemore tube N.A. [42]
Vial Polypectomy sling N.A. [43]
Enema tip Polypectomy sling N.A. [43]
Vibrator Biopsy forceps N.A. [43]
Pencil Polypectomy sling N.A. [44]
Iron rod Two-channel endoscope and wires N.A. [45]
Bottleneck Foley catheter General anaesthesia [46]
Spray tank Achalasy balloon None [37]
Sponge-like toy ball Suction cup General anaesthesia [47]
Vibrator Forceps and anal dilation Local anaesthesia [48]
Vibrator Hooked tongs Local anaesthesia [49]
Bottle of aftershave Bone holding forceps with rubber feet Spinal anaesthesia [50]
Chicken bone Fingers None [18]
Aerosol-can cap Grasping forceps and anal dilation General anaesthesia [51]
Vase Filling with plaster General anaesthesia [52]
Glass container Extraction using plaster Spinal anaesthesia [53]
Glass container Tracheal tube Local anaesthesia [54]
Apple Two-handed manipulation Local anaesthesia [55]
Glass container Foley catheter General anaesthesia [56]
Glass bottle Suction cup General anaesthesia [29]
100-watt electric bulb Three Foley catheters N.A. [57]
Thermometer Biopsy forceps General anaesthesia [32]
Vibrator transanal Kocher's forceps Local anaesthesia [32]
Bowling bottle (Bottle in the shape of a pin) Forceps General anaesthesia [32]
Perfume bottle manual Spinal anaesthesia [25]
Piece of wood manual General anaesthesia [58]
Toothbrush container Fogarty catheter N.A. [59]
Oven mitt Forceps, after anal dilation General anaesthesia [60]
Drainpipe forceps in childbirth General anaesthesia [33]
Pétanque ball Electromagnet General anaesthesia [61]
Carrot Myoma lifter N.A. [62]
Glass object Suction cup Spinal anaesthesia [34]
Rubber ball manual extraction after anal dilation General anaesthesia [63]
Wooden staff Two-handed anal dilation Spinal anaesthesia [63]
Bottle manual after anal dilation General anaesthesia [64]
Dildo Myoma lifter N.A. [65]
Light bulb Abdominal compression Spinal anaesthesia [66]
APC = Argon beam-coagulation
N.A. = Not available

(Source:[37])

Epidemiology

There is no reliable data about the incidence of clinically meaningful foreign rectal bodies. It may have increased in the long term[17] as it is observed more often in recent times.[67]

The incident rate is significantly higher for men than for women. The gender ratio is in the area of 28:1.[17][68][69] A metastudy in the year 2010 found a ratio of 37:1. Median age of the patients was 44.1 years, with a standard deviation of 16.6 years.[70] Rectal foreign bodies are not an unusual occurrence in hospital emergency rooms.[47]

The first documented case dates from the 16th century.[12][71]

Other animals

Foreign rectal bodies are rare in veterinary medicine. A passage through the entire intestines, followed by a stay inside the rectum is – as with humans – rare.[72] Animals may have bezoars out of different materials, which may migrate to the rectum and cause problems.[73]

Ig Nobel Prize

The Ig Nobel Prize was awarded in 1995 to David B. Busch and James R. Starling from Madison, Wisconsin, for their 1986 article Rectal foreign bodies: Case Reports and a Comprehensive Review of the World's Literature[25] (see List of Ig Nobel Prize winners).[74]

See also

References

  1. Ayantunde AA, Oke T (June 2006). "A review of gastrointestinal foreign bodies". International Journal of Clinical Practice. 60 (6): 735–9. doi:10.1111/j.1368-5031.2006.00709.x. PMID 16805760. S2CID 33704778.
  2. 1 2 Smith MT, Wong RK (April 2007). "Foreign bodies". Gastrointestinal Endoscopy Clinics of North America. 17 (2): 361–82, vii. doi:10.1016/j.giec.2007.03.002. PMID 17556153.
  3. 1 2 3 4 5 Barone JE, Sohn N, Nealon TF (November 1976). "Perforations and foreign bodies of the rectum: report of 28 cases". Annals of Surgery. 184 (5): 601–4. doi:10.1097/00000658-197611000-00011. PMC 1345490. PMID 984928.
  4. 1 2 Cohen JS, Sackier JM (October 1996). "Management of colorectal foreign bodies". Journal of the Royal College of Surgeons of Edinburgh. 41 (5): 312–5. PMID 8908954.
  5. Ruiz del Castillo J, Sellés Dechent R, Millán Scheiding M, Zumárraga Navas P, Asencio Arana F (October 2001). "Colorectal trauma caused by foreign bodies introduced during sexual activity: diagnosis and management". Revista Española de Enfermedades Digestivas. 93 (10): 631–4. PMID 11767487.
  6. Ikeda N, Hulewicz B, Knight B, Suzuki T (August 1991). "Homicide by rectal insertion of a walking stick". Nihon Hoigaku Zasshi = The Japanese Journal of Legal Medicine. 45 (4): 341–4. PMID 1766149.
  7. Waraich NG, Hudson JS, Iftikhar SY (August 2007). "Vibrator-induced fatal rectal perforation". The New Zealand Medical Journal. 120 (1260): U2685. PMID 17726499.
  8. Byard RW, Eitzen DA, James R (March 2000). "Unusual fatal mechanisms in nonasphyxial autoerotic death". The American Journal of Forensic Medicine and Pathology. 21 (1): 65–8. doi:10.1097/00000433-200003000-00012. PMID 10739230.
  9. 1 2 3 4 "Sturz in die Kiste", Der Spiegel, 7 October 1991, no. 41, pp. 317–320, 1991
  10. 1 2 3 4 5 6 7 Messmann H (2004). Lehratlas der Koloskopie. Georg Thieme Verlag. p. 219. ISBN 3-13-136441-6. , p. 219, at Google Books
  11. Laitenberger MC (2005). Klinische und rechtsmedizinische Aspekte des intestinalen Rauschmitteltransportes in Hamburg 1989 bis 2004 (Ph.D. thesis). Universität Hamburg.
  12. 1 2 3 Khan SA, Davey CA, Khan SA, Trigwell PJ, Chintapatla S (October 2008). "Munchausen's syndrome presenting as rectal foreign body insertion: a case report". Cases Journal. 1 (1) 243. doi:10.1186/1757-1626-1-243. PMC 2572607. PMID 18925957.
  13. Stenz V, Thurnheer R, Widmer F, Krause M (December 2008). "[Foreign body stories]". Therapeutische Umschau. Revue Therapeutique. 65 (12): 699–702. doi:10.1024/0040-5930.65.12.699. PMID 19048523.
  14. Kumar M (July 2001). "Don't forget your toothbrush!". British Dental Journal. 191 (1): 27–8. doi:10.1038/sj.bdj.4801082a. PMID 11491473.
  15. Nuschler F (1992). Bericht über die internationale Folterfoschung (PDF) (Report). Universität Duisburg. Archived from the original (PDF) on July 19, 2011.
  16. Azman B, Erkuş B, Güvenç BH (May 2009). "Balloon extraction of a retained rectal foreign body under fluoroscopy, case report and review". Pediatric Emergency Care. 25 (5): 345–7. doi:10.1097/PEC.0b013e3181a3494f. PMID 19444034. S2CID 13623925.
  17. 1 2 3 Munter DW (September 2009). "Foreign Bodies, Rectum".
  18. 1 2 3 Davies DH (March 1991). "A chicken bone in the rectum". Archives of Emergency Medicine. 8 (1): 62–4. doi:10.1136/emj.8.1.62. PMC 1285738. PMID 1854398.
  19. McManous JE (1941). "Perforation of the intestine by ingested foreign body". American Journal of Surgery. 53: 393–402. doi:10.1016/S0002-9610(41)90652-9.
  20. Roberge RJ, Squyres NS, MacMath TL (January 1988). "Popcorn primary colonic phytobezoar". Annals of Emergency Medicine. 17 (1): 77–9. doi:10.1016/s0196-0644(88)80510-9. PMID 3337421.
  21. Eitan A, Katz IM, Sweed Y, Bickel A (June 2007). "Fecal impaction in children: report of 53 cases of rectal seed bezoars". Journal of Pediatric Surgery. 42 (6): 1114–7. doi:10.1016/j.jpedsurg.2007.01.048. PMID 17560231.
  22. Mirza MS, Al-Wahibi K, Baloch S, Al-Qadhi H (January 2009). "Rectal bezoars due to pumpkin seeds". Tropical Doctor. 39 (1): 54–5. doi:10.1258/td.2008.080107. PMID 19211433. S2CID 32157500.
  23. Mahjoub F, Kalantari M, Tabarzan N, Moradi B (October 2009). "Invading plant material appearing as a colonic tumoural mass in a four-year-old girl". Tropical Doctor. 39 (4): 253–4. doi:10.1258/td.2009.090052. PMID 19762589. S2CID 21877151.
  24. Joshua Zitser (December 4, 2021). "Bomb squad called to ER after a patient turned up with a WWII artillery shell lodged in his rectum, police say". Yahoo! News. Retrieved December 4, 2021.
  25. 1 2 3 Busch DB, Starling JR (September 1986). "Rectal foreign bodies: case reports and a comprehensive review of the world's literature". Surgery. 100 (3): 512–9. PMID 3738771.
  26. Akhtar MA, Arora PK (April 2009). "Case of unusual foreign body in the rectum". Saudi Journal of Gastroenterology. 15 (2): 131–2. doi:10.4103/1319-3767.48973. PMC 2702971. PMID 19568580.
  27. Stephens PJ, Taff ML (June 1987). "Rectal impaction following enema with concrete mix". The American Journal of Forensic Medicine and Pathology. 8 (2): 179–82. doi:10.1097/00000433-198708020-00019. PMID 3649167.
  28. Butters AG (September 1955). "An unusual rectal injury". British Medical Journal. 2 (4939): 602–3. doi:10.1136/bmj.2.4939.602. PMC 1980742. PMID 13240191.
  29. 1 2 3 Mackinnon RP (1998). "Removing rectal foreign bodies: is the ventouse gender specific?". The Medical Journal of Australia. 169 (11–12): 670–1. doi:10.5694/j.1326-5377.1998.tb123462.x. PMID 9887927. S2CID 41156541.
  30. Stein E (2002). Proktologie: Lehrbuch und Atlas. Verlag Springer. p. 329. ISBN 3-540-43033-4. , p. 329, at Google Books
  31. 1 2 Axon AT, Classen M (2004). Gastroenterologische Endoskopie. Georg Thieme Verlag. pp. 400–401. ISBN 3-13-132401-5. , p. 400, at Google Books
  32. 1 2 3 4 5 6 Huang WC, Jiang JK, Wang HS, Yang SH, Chen WS, Lin TC, Lin JK (October 2003). "Retained rectal foreign bodies". Journal of the Chinese Medical Association. 66 (10): 607–12. PMID 14703278.
  33. 1 2 3 Peet TN (February 1976). "Removal of impacted rectal foreign body with obstetric forceps". British Medical Journal. 1 (6008): 500–1. doi:10.1136/bmj.1.6008.500. PMC 1638849. PMID 1252815.
  34. 1 2 Johnson SO, Hartranft TH (August 1996). "Nonsurgical removal of a rectal foreign body using a vacuum extractor. Report of a case". Diseases of the Colon and Rectum. 39 (8): 935–7. doi:10.1007/BF02053994. PMID 8756851. S2CID 11204678.
  35. Bailey H, Love J (1975). Rains AJ, Ritchie HD (eds.). A short textbook of surgery (16th ed.). Verlag Lewis. p. 1013.
  36. 1 2 Glaser J, Hack T, Rübsam M (March 1997). "Unusual rectal foreign body: treatment using argon-beam coagulation". Endoscopy. 29 (3): 230–1. doi:10.1055/s-2007-1004178. PMID 9201486.
  37. 1 2 3 Koornstra JJ, Weersma RK (July 2008). "Management of rectal foreign bodies: description of a new technique and clinical practice guidelines". World Journal of Gastroenterology. 14 (27): 4403–6. doi:10.3748/wjg.14.4403. PMC 2731197. PMID 18666334.
  38. Richter RM, Littman L (August 1975). "Endoscopic extraction of an unusual colonic foreign body". Gastrointestinal Endoscopy. 22 (1): 40. doi:10.1016/s0016-5107(75)73685-4. PMID 1205104.
  39. Wolf L, Geraci K (August 1977). "Colonscopic removal of balloons from the bowel". Gastrointestinal Endoscopy. 24 (1): 41. doi:10.1016/s0016-5107(77)73441-8. PMID 892400.
  40. Tarnasky PR, Newcomer MK, Branch MS (1994). "Colonoscopic diagnosis and treatment of chronic chicken bone perforation of the sigmoid colon". Gastrointestinal Endoscopy. 40 (3): 373–5. doi:10.1016/s0016-5107(94)70079-6. PMID 8056249.
  41. Over HH, Tözün N, Avşar E (November 1997). "Toothpick impaction: treatment by colonoscopy". Endoscopy. 29 (9): S60-1. doi:10.1055/s-2007-1004339. PMID 9476787.
  42. Hughes JP, Marice HP, Gathright JB (1976). "Method of removing a hollow object from the rectum". Diseases of the Colon and Rectum. 19 (1): 44–5. doi:10.1007/BF02590850. PMID 1248348. S2CID 32232913.
  43. 1 2 3 Kantarian JC, Riether RD, Sheets JA, Stasik JJ, Rosen L, Khubchandani IT (November 1987). "Endoscopic retrieval of foreign bodies from the rectum". Diseases of the Colon and Rectum. 30 (11): 902–4. doi:10.1007/BF02555435. PMID 3677968. S2CID 3106133.
  44. Vemula NR, Madariaga J, Brand DL, Hershey H (August 1982). "Colonoscopic removal of a foreign body causing colocutaneous fistulas". Gastrointestinal Endoscopy. 28 (3): 195–6. doi:10.1016/s0016-5107(82)73057-3. PMID 7129050.
  45. Ahmed A, Cummings SA (December 1999). "Novel endoscopic approach for removal of a rectal foreign body". Gastrointestinal Endoscopy. 50 (6): 872–4. doi:10.1016/s0016-5107(99)70184-7. PMID 10570362.
  46. Humes D, Lobo DN (October 2005). "Removal of a rectal foreign body by using a Foley catheter passed through a rigid sigmoidoscope". Gastrointestinal Endoscopy. 62 (4): 610. doi:10.1016/s0016-5107(05)01575-0. PMID 16185979.
  47. 1 2 Feigelson S, Maun D, Silverberg D, Menes T (March 2007). "Removal of a large spherical foreign object from the rectum using an obstetric vacuum device: a case report". The American Surgeon. 73 (3): 304–6. doi:10.1177/000313480707300326. PMID 17375796. S2CID 39379768.
  48. Haft JS, Benjamin HB, Wagner M (March 1976). "Vaginal vibrator lodged in rectum". British Medical Journal. 1 (6010): 626. doi:10.1136/bmj.1.6010.626. PMC 1639058. PMID 1252853.
  49. Levin SE, Cooperman H, Freilich M, Lomas M (September 1977). "The use of a curved uterine vulsellum for removal of rectal foreign bodies: report of a case". Diseases of the Colon and Rectum. 20 (6): 532–3. doi:10.1007/BF02586597. PMID 902553. S2CID 21593596.
  50. Siroospour D, Dragstedt LR (October 1975). "A large foreign body removed through the intact anus: report of a case". Diseases of the Colon and Rectum. 18 (7): 616–9. doi:10.1007/BF02587145. PMID 1181166. S2CID 1613704.
  51. Aquino MM, Turner JW (October 1986). "A simple technique for removing an impacted aerosol-can cap from the rectum". Diseases of the Colon and Rectum. 29 (10): 675. doi:10.1007/BF02560339. PMID 3757713. S2CID 26361937.
  52. Couch CJ, Tan EG, Watt AG (May 1986). "Rectal foreign bodies". The Medical Journal of Australia. 144 (10): 512–5. doi:10.5694/j.1326-5377.1986.tb112273.x. PMID 3713565. S2CID 29114662.
  53. Graves RW, Allison EJ, Bass RR, Hunt RC (May 1983). "Anal eroticism: two unusual rectal foreign bodies and their removal". Southern Medical Journal. 76 (5): 677–8. doi:10.1097/00007611-198305000-00041. PMID 6844979.
  54. Garber HI, Rubin RJ, Eisenstat TE (1981). "Removal of a glass foreign body from the rectum". Diseases of the Colon and Rectum. 24 (4): 323. PMID 7238244.
  55. Sharma H, Banka S, Walton R, Memon MA (March 2007). "A novel technique for nonoperative removal of round rectal foreign bodies". Techniques in Coloproctology. 11 (1): 58–9. doi:10.1007/s10151-007-0328-z. PMID 17357869. S2CID 22770266.
  56. Yaman M, Deitel M, Burul CJ, Shahi B, Hadar B (April 1993). "Foreign bodies in the rectum". Canadian Journal of Surgery. Journal Canadien de Chirurgie. 36 (2): 173–7. PMID 8472230.
  57. Diwan VS (November 1982). "Removal of 100-watt electric bulb from rectum". Annals of Emergency Medicine. 11 (11): 643–4. doi:10.1016/s0196-0644(82)80218-7. PMID 7137678.
  58. Jansen AA (September 1969). "Foreign body in the rectum". The New Zealand Medical Journal. 70 (448): 174–5. PMID 5259744.
  59. Wigle RL (July 1988). "Emergency department management of retained rectal foreign bodies". The American Journal of Emergency Medicine. 6 (4): 385–9. doi:10.1016/0735-6757(88)90163-5. PMID 3291887.
  60. Losanoff JE, Kjossev KT (1999). "Rectal "oven mitt": the importance of considering a serious underlying injury". The Journal of Emergency Medicine. 17 (1): 31–3. doi:10.1016/s0736-4679(98)00116-4. PMID 9950383.
  61. Coulson CJ, Brammer RD, Stonelake PS (March 2005). "Extraction of a rectal foreign body using an electromagnet". International Journal of Colorectal Disease. 20 (2): 194–5. doi:10.1007/s00384-004-0629-x. PMID 15322838. S2CID 35914504.
  62. Vashist MG, Arora AL (July 1997). "Screwing a carrot out of the rectum". Indian Journal of Gastroenterology. 16 (3): 120. PMID 9248200.
  63. 1 2 Nivatvongs S, Metcalf DR, Sawyer MD (July 2006). "A simple technique to remove a large object from the rectum". Journal of the American College of Surgeons. 203 (1): 132–3. doi:10.1016/j.jamcollsurg.2006.03.012. PMID 16798498.
  64. Gopal S (January 1974). "A bottle in the rectum". Journal of the Indian Medical Association. 62 (1): 24–5. PMID 4839771.
  65. Clark SK, Karanjia ND (July 2003). "A cork in a bottle--a simple technique for removal of a rectal foreign body". Annals of the Royal College of Surgeons of England. 85 (4): 282. doi:10.1308/003588403766275060. PMC 1964392. PMID 12908471.
  66. Konishi T, Watanabe T, Nagawa H (February 2007). "Impaction of a rectal foreign body: what is the final approach before surgery?". Diseases of the Colon and Rectum. 50 (2): 262–3, author reply 263. doi:10.1007/s10350-006-0788-7. PMID 17164965. S2CID 1099599.
  67. Manimaran N, Shorafa M, Eccersley J (March 2009). "Blow as well as pull: an innovative technique for dealing with a rectal foreign body". Colorectal Disease. 11 (3): 325–6. doi:10.1111/j.1463-1318.2008.01653.x. PMID 18662236. S2CID 29092891.
  68. Clarke DL, Buccimazza I, Anderson FA, Thomson SR (January 2005). "Colorectal foreign bodies". Colorectal Disease. 7 (1): 98–103. doi:10.1111/j.1463-1318.2004.00699.x. PMID 15606596. S2CID 25964610.
  69. Stack LB, Munter DW (August 1996). "Foreign bodies in the gastrointestinal tract". Emergency Medicine Clinics of North America. 14 (3): 493–521. doi:10.1016/s0733-8627(05)70264-9. PMID 8681881.
  70. Kurer MA, Davey C, Khan S, Chintapatla S (September 2010). "Colorectal foreign bodies: a systematic review". Colorectal Disease. 12 (9): 851–61. doi:10.1111/j.1463-1318.2009.02109.x. PMID 19895597. S2CID 8776335.
  71. Haft JS, Benjamin HB (August 1973). "Foreign bodies in the rectum: some psychosexual aspects". Medical Aspects of Human Sexuality. 7 (8): 74–95.
  72. Webb CB, McCord KW, Twedt DC (2007). "Rectal strictures in 19 dogs: 1997-2005". Journal of the American Animal Hospital Association. 43 (6): 332–6. doi:10.5326/0430332. PMID 17975215.
  73. Sargison ND, Scott PR, Dun KA (August 1995). "Intestinal obstruction in a blue-faced Leicester ram associated with a phytobezoar lodged at the pelvic inlet". The Veterinary Record. 137 (9): 222. doi:10.1136/vr.137.9.222 (inactive July 12, 2025). PMID 7502475. S2CID 27561735.{{cite journal}}: CS1 maint: DOI inactive as of July 2025 (link)
  74. Improbable Research: Winners of the Ig® Nobel Prize.