Vertebral hemangioma
| Vertebral hemangioma | |
|---|---|
![]() | |
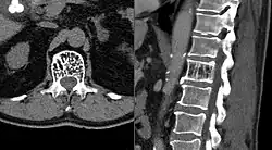
| Axial and sagittal CT views of a vertebral hemangioma | |
| Pronunciation | |
| Specialty | Neurology |
| Symptoms | Predominantly asymptomatic. If symptoms arise these can include; unspecific back pain and neurological complaints (e.g. leg weakness, numbness). Symptoms are dependent on the location and growth of the VHs.[3] |
| Usual onset | Any age |
| Diagnostic method | CT, MRI, or radiograph |
| Treatment | Transarterial embolization, ethanol injection, radiotherapy, and/ or vertebroplasty. |
Vertebral hemangiomas or haemangiomas (VHs) are a common vascular lesion found within the vertebral body of the thoracic and lumbar spine. These are predominantly benign lesions that are often found incidentally during radiology studies for other indications and can involve one or multiple vertebrae. Vertebral hemangiomas are a common etiology estimated to be found in 10-12% of humans at autopsy.[4][5][6] They are benign in nature and frequently asymptomatic.[5] Symptoms, if they do occur, are usually related to large hemangiomas, trauma, the hormonal and hemodynamic changes of pregnancy (causing intra-spinal bleeding), or osseous expansion and extra-osseous extension into surround soft tissues or epidural region of the spinal canal.[4][6][7][8][9]
Signs and symptoms
Clinical features
Vertebral hemangiomas are observed throughout any age, although most are diagnosed in people within their 50s alongside a higher presence in females with a 1:1.5 male-to-female ratio. They often present in the vertebral body of the thoracic and lumbar spine with potential to extend into the posterior arch. They can involve a single or multiple vertebrae.[10]
Hemangiomas can display typically and atypically. Typical VHs have predominant fat overgrowth that present throughout various scanning techniques differently compared with atypical VHs that have less fat and more vascular content (see diagnosis).[10]
Most hemangiomas present asymptomatically and only found incidentally through MRI, CT, or radiography. However, hemangiomas can become symptomatic in around 1% of cases.[6]
In these rare cases, hemangiomas present active behavior and are known as aggressive or compressive VHs. When symptomatic, they can cause pain and myelopathy by intra-spinal bleeding, bony expansion or extra-osseous extension into surround soft tissue or the posterior neural elements.[4][6][7][8] Highly vascular (cavernous type) hemangiomas can produce neurologic deficits without prominent evidence of spinal cord compression. The deficits in these cases are probably attributable to blood flow disturbances in the spinal cord.[11]
Cause
Vertebral hemangiomas are hamartomatous lesions, meaning that they arise from dysembryogenetic origin. They are formed from benign vasoformative neoplasms of endothelial cells that present as thin-walled vessels infiltrating the marrow, medullary cavity between bone trabeculae and are usually confined to the vertebral body.[11] VHs are commonly seen incidentally while obtaining imaging for other indications.[4]
The consideration of VHs as a neoplasm is disputed, due to limited aggressive histopathological features. As such, some authors refer to them as hamartomas or vascular malformations (see etymology below).[12]
Diagnosis

CT
On computed tomography (CT) or radiograph, VHs can cause rarefaction with vertical striations (often referred to as corduroy pattern) or a coarse honeycomb appearance. A polka-dot appearance on CT scan represents a cross-section of reinforced trabeculae.[11][13] CT best defines the bony architecture and is the best diagnostic imaging method.[14]
MRI
MRI appearance is dictated by histology of the tumor-like lesion—Vascularity, interstitial edema, and interspersed fat.[15] The presence of high or moderate signal intensity on both T1 and T2 images is related to the ratio of fat to vessels and edema. For example, a VH with a high concentration of fat and a relatively low make-up of vessels and edema would show a high signal intensity on T1-weighted spin-echo images and intermediate signal intensity on T2-weighted fast spin echo images. Whereas a VH made-up of nearly equal portion of fat and vessels and edema would show intermediate signal intensity on T1-weighted images and high signal intensity on T2-weighted images.[15]
Differential diagnosis
The differential diagnosis for lesions with similar radiologic appearance to VH includes but is not limited to hemangioblastoma, lymphangioma, bone metastasis, Ewing Sarcoma, and spinal dural arteriovenous fistula.[11][16][17][18][19][20]
Treatment
Treatment for VHs normally only takes place if a patient presents with neurological deficits or disabling pain. Otherwise, if found and do not present symptoms, VHs are just a clinical note and often not monitored further.[21]
If symptomatic, VHs can be treated with surgery, transarterial embolization, direct ethanol injection, radiotherapy, and/ or vertebroplasty, each with varying degrees of success. The precise treatment plan is contested and often depends on the VHs' presentation in the patient.[19] Each of these methods can be indicated in specific clinical settings.
History
VHs were first described by Virchow in 1867 with Perman in 1929 noting their radiological appearance.[14]
Etymology
The terminology of hemangiomas has faced recommendations by the International Society for the Study of Vasular Anomalies to rename the lesions' as "venous malformations" to present consistent language for practitioners and patients. However, the term "vertebral hemangioma" remains dominant throughout the literature.[22][23]
References
- ↑ "haemangioma". Lexico UK English Dictionary. Oxford University Press. Archived from the original on 2021-11-23.
- ↑ "hemangioma". Merriam-Webster.com Dictionary. Merriam-Webster. Retrieved 2021-11-03.
- ↑ Vasudeva VS, Chi JH, Groff MW (August 2016). "Surgical treatment of aggressive vertebral hemangiomas". Neurosurgical Focus. 41 (2): E7. doi:10.3171/2016.5.FOCUS16169. PMID 27476849.
- 1 2 3 4 Blecher R, Smorgick Y, Anekstein Y, Peer A, Mirovsky Y (May 2011). "Management of symptomatic vertebral hemangioma: follow-up of 6 patients". Journal of Spinal Disorders & Techniques. 24 (3): 196–201. doi:10.1097/BSD.0b013e3181e489df. PMID 21508725. S2CID 21966485.
- 1 2 Halpern CH, Grady MC (2014). "Neurosurgery". In Brunicardi FC, et al. (eds.). Schwartz's Principles of Surgery (10th ed.). New York, NY: McGraw-Hill Education.
- 1 2 3 4 Pastushyn AI, Slin'ko EI, Mirzoyeva GM (December 1998). "Vertebral hemangiomas: diagnosis, management, natural history and clinicopathological correlates in 86 patients". Surgical Neurology. 50 (6): 535–547. doi:10.1016/s0090-3019(98)00007-x. PMID 9870814.
- 1 2 Chi JH, Manley GT, Chou D (September 2005). "Pregnancy-related vertebral hemangioma. Case report, review of the literature, and management algorithm". Neurosurgical Focus. 19 (3): E7. doi:10.3171/foc.2005.19.3.8. PMID 16190606.
- 1 2 Castel E, Lazennec JY, Chiras J, Enkaoua E, Saillant G (1999). "Acute spinal cord compression due to intraspinal bleeding from a vertebral hemangioma: two case-reports". European Spine Journal. 8 (3): 244–248. doi:10.1007/s005860050167. PMC 3611171. PMID 10413354.
- ↑ Pinto DS, Hoisala VR, Gupta P, Sarkar P (2017). "Aggressive Vertebral Body Hemangioma Causing Compressive Myelopathy - Two Case Reports". Journal of Orthopaedic Case Reports. 7 (2): 7–10. doi:10.13107/jocr.2250-0685.724 (inactive 12 July 2025). PMC 5553841. PMID 28819591.
{{cite journal}}: CS1 maint: DOI inactive as of July 2025 (link) - 1 2 Gaudino S, Martucci M, Colantonio R, Lozupone E, Visconti E, Leone A, Colosimo C (January 2015). "A systematic approach to vertebral hemangioma". Skeletal Radiology. 44 (1): 25–36. doi:10.1007/s00256-014-2035-y. PMID 25348558. S2CID 2572138.
- 1 2 3 4 Rodallec MH, Feydy A, Larousserie F, Anract P, Campagna R, Babinet A, et al. (2008). "Diagnostic imaging of solitary tumors of the spine: what to do and say". Radiographics. 28 (4): 1019–1041. doi:10.1148/rg.284075156. PMID 18635627.
- ↑ Vasudeva VS, Chi JH, Groff MW (August 2016). "Surgical treatment of aggressive vertebral hemangiomas". Neurosurgical Focus. 41 (2): E7. doi:10.3171/2016.5.FOCUS16169. PMID 27476849.
- ↑ Slon V, Peled N, Abbas J, Stein D, Cohen H, Hershkovitz I (April 2016). "Vertebral Hemangiomas and Their Correlation With Other Pathologies". Spine. 41 (8): E481 – E488. doi:10.1097/BRS.0000000000001464. PMID 26825790. S2CID 25116574.
- 1 2 Rudnick J, Stern M (September 2004). "Symptomatic thoracic vertebral hemangioma: a case report and literature review". Archives of Physical Medicine and Rehabilitation. 85 (9): 1544–1547. doi:10.1016/j.apmr.2003.08.099. PMID 15375832.
- 1 2 Baudrez V, Galant C, Vande Berg BC (August 2001). "Benign vertebral hemangioma: MR-histological correlation". Skeletal Radiology. 30 (8): 442–446. doi:10.1007/s002560100390. PMID 11479749. S2CID 20340146.
- ↑ Bemporad JA, Sze G, Chaloupka JC, Duncan C (1999). "Pseudohemangioma of the vertebra: an unusual radiographic manifestation of primary Ewing's sarcoma". AJNR. American Journal of Neuroradiology. 20 (10): 1809–1813. PMC 7657769. PMID 10588101.
- ↑ Higgins JN, Lammie GA, Savy LE, Taylor WJ, Stevens JM (May 1996). "Intraosseous vertebral haemangioblastoma: MRI". Neuroradiology. 38 (Suppl 1): S107 – S110. doi:10.1007/BF02278133. PMID 8811694. S2CID 24758906.
- ↑ Méndez JA, Hochmuth A, Boetefuer IC, Schumacher M (2002). "Radiologic appearance of a rare primary vertebral lymphangioma". AJNR. American Journal of Neuroradiology. 23 (10): 1665–1668. PMC 8185843. PMID 12427620.
- 1 2 Acosta FL, Dowd CF, Chin C, Tihan T, Ames CP, Weinstein PR (February 2006). "Current treatment strategies and outcomes in the management of symptomatic vertebral hemangiomas". Neurosurgery. 58 (2): 287–95, discussion 287–95. doi:10.1227/01.NEU.0000194846.55984.C8. PMID 16462482. S2CID 42118709.
- ↑ Artigas C, Otte FX, Lemort M, van Velthoven R, Flamen P (May 2017). "Vertebral Hemangioma Mimicking Bone Metastasis in 68Ga-PSMA Ligand PET/CT". Clinical Nuclear Medicine. 42 (5): 368–370. doi:10.1097/RLU.0000000000001631. PMID 28319497.
- ↑ Kim CH, Kim SW (October 2020). "Rapidly Progressive Atypical Vertebral Hemangioma: A Case Report". Korean Journal of Neurotrauma. 16 (2): 320–325. doi:10.13004/kjnt.2020.16.e24. PMC 7607043. PMID 33163444.
- ↑ Cloran FJ, Pukenas BA, Loevner LA, Aquino C, Schuster J, Mohan S (2015). "Aggressive spinal haemangiomas: imaging correlates to clinical presentation with analysis of treatment algorithm and clinical outcomes". The British Journal of Radiology. 88 (1055) 20140771. doi:10.1259/bjr.20140771. PMC 4743441. PMID 26313498.
- ↑ Wassef M, Blei F, Adams D, Alomari A, Baselga E, Berenstein A, et al. (July 2015). "Vascular Anomalies Classification: Recommendations From the International Society for the Study of Vascular Anomalies". Pediatrics. 136 (1): e203 – e214. doi:10.1542/peds.2014-3673. PMID 26055853. S2CID 34448877.
