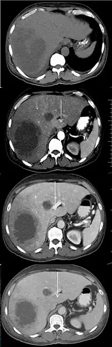
Transient hepatic attenuation differences

Transient hepatic attenuation differences (THAD) are areas of enhancement during the arterial phase of contrast CT of the liver. THAD is thought to be a physiological phenomenon resulting from regional variation in the blood supply by the portal vein and/or the hepatic artery. THAD may in some cases be associated with liver tumors such as a hepatocellular carcinoma.[2]
References
- ↑ Dr. Sanjay M. Khaladkar, Dr. Vidhi Bakshi, Dr. Rajul Bhargava and Dr. V. M. Kulkarni (2016-08-20). "Pseudolesion (THAD) of Liver and Target Sign in hepatic abscess on MDCT" (PDF). International Journal of Current Research. 8 (8).
{{cite journal}}: CS1 maint: multiple names: authors list (link) (Creative Commons Attribution License) - ↑ Yves Leonard Voss and Dr Yuranga Weerakkody. "Transient hepatic attenuation differences". Radiopaedia. Retrieved 2018-01-25.