Supracondylar process of the humerus

Supracondylar process
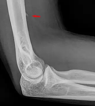
Small supracondylar process seen on a lateral radiograph of the elbow
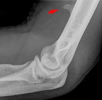
Larger supracondylar process seen on a lateral radiograph of the elbow
Identifiers
TA98A02.4.04.017
TA21200
FMA75815
Anatomical terminology

The supracondylar process of the humerus (also known as an avian spur) is a variant bony projection on the anteromedial aspect of the upper arm bone (humerus), about 5–6 cm above the medial epicondyle.[1] It is directed downward, forward and medially pointing to the medial epicondyle. A fibrous band, Struthers ligament, may connect this process to the medial epicondyle.[2] This variation has a prevalence of 0.68% and is significantly more common in women than in men.[3]

Clinical significance

Supracondylar processes are usually asymptomatic, but may be palpable as a mass on the upper arm. They are most commonly found as an incidental finding on radiographs made for other reasons, but occasionally isolated fractures of the process itself may lead to its discovery. Rarely, presence of the process and a connecting ligament may lead to compression of the brachial artery and the median nerve,[4] leading to pain, paresthesia,[2] and/or ischemia.

Other animals

The supracondylar process is a vestigial remnant of the supracondylar foramen or epitrochlear foramen found in other vertebrates including cats, climbing mammals and lower primates.

References

  1. Natsis, Konstantinos (2008). "Supracondylar process of the humerus: Study on 375 Caucasian subjects in Cologne, Germany". Clinical Anatomy. 21 (2): 138–141. doi:10.1002/ca.20601. ISSN 1098-2353. PMID 18266286. S2CID 1749361.
  2. 1 2 Pikula, John R (December 1994). "Supracondyloid process of the humerus: a case report". The Journal of the Canadian Chiropractic Association. 38 (4): 211–215. ISSN 0008-3194. PMC 2485005.
  3. Martin-Schütz, Guilherm Otto; Arcoverde, Mauricio; Barros, Gustavo dos Reis; Babinski, Marcio Antonio; Manaia, Jorge Henrique Martins; Silva, Celso Ricardo Corrêa de Mello; Chagas, Carlos Alberto Araujo; Pires, Lucas Alves Sarmento; Martin-Schütz, Guilherm Otto; Arcoverde, Mauricio; Barros, Gustavo dos Reis (2019). "A Meta-Analysis of the Supracondylar Process of the Humerus with Clinical and Surgical Applications to Orthopedics". International Journal of Morphology. 37 (1): 43–47. doi:10.4067/S0717-95022019000100043. ISSN 0717-9502.
  4. Opanova, Maria I.; Atkinson, Robert E. (June 2014). "Supracondylar Process Syndrome: Case Report and Literature Review". The Journal of Hand Surgery. 39 (6): 1130–1135. doi:10.1016/j.jhsa.2014.03.035. ISSN 0363-5023. PMID 24862112.

Bibliography