Sarcina (bacterium)
| Sarcina | |
|---|---|
![]() | |
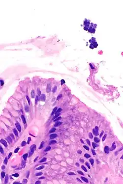
| Gastric mucosa and Sarcina on upper right. H&E stain. | |
| Scientific classification | |
| Domain: | |
| Phylum: | |
| Class: | |
| Order: | |
| Family: | |
| Genus: | Sarcina Goodsir, 1842[1] |
| Type species | |
| Sarcina ventriculi Goodsir, 1842[1] | |
| Species | |
| |
| Synonyms | |
| |
Sarcina is a genus of gram-positive cocci bacteria in the family Clostridiaceae.[2][3][4] A synthesizer of microbial cellulose,[5] various members of the genus are human flora and may be found in the skin [6] and large intestine.[7] The genus takes its name from the Latin word "sarcina," meaning pack or bundle, after the cuboidal (2x2x2) cellular associations they form during division along three planes.[8]
The genus's type species is Sarcina ventriculi, a variety found on the surface of cereal seeds, in soil, mud, and in the stomachs of humans, rabbits, and guinea pigs.[9]
Phylogeny
The currently accepted taxonomy is based on the List of Prokaryotic names with Standing in Nomenclature (LPSN)[1] and National Center for Biotechnology Information (NCBI)[10]
| 16S rRNA based LTP_10_2024[11][12][13] | 120 marker proteins based GTDB 09-RS220[14][15][16] | |||||||||||||||||||||||||||||||||||||||||||||||||||
|---|---|---|---|---|---|---|---|---|---|---|---|---|---|---|---|---|---|---|---|---|---|---|---|---|---|---|---|---|---|---|---|---|---|---|---|---|---|---|---|---|---|---|---|---|---|---|---|---|---|---|---|---|
|
|
Species
- Sarcina aurantiaca
- Sarcina lutea has been reclassified to Micrococcus luteus
- Sarcina troglodytae is a chimpanzee pathogen
See also
References
- 1 2 3 J.P. Euzéby. "Sarcina". List of Prokaryotic names with Standing in Nomenclature (LPSN). Retrieved 2022-09-09.
- ↑ "Sarcina". Random House Dictionary of the English Language. Random House. 2010. Retrieved 30 March 2010.
- ↑ "Result of detail taxonomy information". TXSearch Taxonomy Retrieval. DNA Data Bank of Japan. 19 February 2010. Archived from the original on 22 July 2011. Retrieved 30 March 2010.
- ↑ "Sarcina aurantiaca". Zipcode Zoo. Retrieved 30 March 2010.
- ↑ P. Ross, R. Mayer, and M. Benziman (1991) "Cellulose biosynthesis and function in bacteria," Microbiol Mol Biol Rev, vol. 55, no. 1, pp. 35-58, Mar.
- ↑ HOLT, R. J. (29 July 2006). "The Esterase and Lipase Activity of Aerobic Skin Bacteria". British Journal of Dermatology. 85 (1): 18–23. doi:10.1111/j.1365-2133.1971.tb07172.x. PMID 5557829. S2CID 28833614.
- ↑ Crowther, J. S. (1 August 1971). "Sarcina Ventriculi In Human Faeces". Journal of Medical Microbiology. 4 (3): 343–350. doi:10.1099/00222615-4-3-343. PMID 5116255.
- ↑ Michael J. Leboffe & Burton E. Pierce. A Photographic Atlas for the Microbiology Laboratory (4 ed.). p. 39.
- ↑ "Sarcina ventriculi". Stedman's Medical Spellchecker. Lippincott Williams & Wilkins. 2006. Retrieved 31 March 2010.
- ↑ Sayers; et al. "Sarcina". National Center for Biotechnology Information (NCBI) taxonomy database. Retrieved 2022-09-09.
- ↑ "The LTP". Retrieved 10 December 2024.
- ↑ "LTP_all tree in newick format". Retrieved 10 December 2024.
- ↑ "LTP_10_2024 Release Notes" (PDF). Retrieved 10 December 2024.
- ↑ "GTDB release 09-RS220". Genome Taxonomy Database. Retrieved 10 May 2024.
- ↑ "bac120_r220.sp_labels". Genome Taxonomy Database. Retrieved 10 May 2024.
- ↑ "Taxon History". Genome Taxonomy Database. Retrieved 10 May 2024.
