Rhinosporidium seeberi
| Rhinosporidium seeberi | |
|---|---|
| Scientific classification | |
| Domain: | Eukaryota
|
| (unranked): | |
| (unranked): | |
| Class: | |
| Order: | |
| Genus: | |
| Species: | R. seeberi
|
| Binomial name | |
| Rhinosporidium seeberi | |
Rhinosporidium seeberi is a eukaryotic pathogen responsible for rhinosporidiosis, a disease which affects humans, horses, dogs, and to a lesser extent cattle, cats, foxes, and birds.[1] It is most commonly found in tropical areas, especially India and Sri Lanka.[1][2]
The pathogen was first identified in 1892, and was comprehensively described in 1900 by Seeber.
Many aspects of the disease and of the pathogen Rhinosporidium seeberi remain problematic and enigmatic. These include the pathogen’s natural habitat, some aspects of its ‘lifecycle’, its immunology, some aspects of the epidemiology of the disease in humans and in animals, the reasons for the delay at in vitro culture, and establishment of disease in experimental animals, hence paucity of information on its sensitivity to drugs, and the immunology of the pathogen. Thankamani isolated an organism believed to be R. seeberi and gave the name "UMH.48." It was originally isolated from the biopsies and nasal swabs of rhinosporidiosis patients. The various developmental stages of UMH.48 showed a strong resemblance with the structures seen in hisopathological sections of rhinosporidiosis in tissue samples. The spores of UMH.48 were found to be viable even after a decade of preservation in the refrigerator without any subculture, resembling the features of Synchytrium endobioticum, a lower aquatic fungus that causes black wart disease in potatoes. However, carefully performed molecular studies showed the definitive identity of the organism.[3][4][5]
Arseculeratne, Sarath N; Atapattu, Dhammika N. (2011). Rhinosporidiosis in Humans and Animals & Rhinosporidium seeberi. Faculty of Medicine, University of Peradeniya. ISBN 978-9555891578. discusses recent research developments and clinical associations of this enigmatic disease.
Phylogeny

For most of the 20th century, the classification of R. seeberi was unclear (being considered either a fungus or a protist), but it was shown to be part of a group called the Mesomycetozoea[6] (or "DRIP clade"),[7] which includes a number of well-known fish pathogens such as Dermocystidium and Sphaerothecum destruens. The Mesomycetozoea are neither part of the fungi nor of animals, but diverged from them close to the time when they diverged from each other.[5][8]
Rhinosporidium is generally classified as having a single species, although some evidence indicates that different host species may be infected by different strains.[9]
Transmission
- Demellow's theory of infection
- Karunarathnae's autoinoculation theory
- Haematogenous spread – to distant sites
- Lymphatic spread – causing lymphadenitis (rare)
Demellow postulated that while bathing in common ponds, the nasal mucosa came into contact with infectious material. Karunarathnae proposed that the satellite lesions in skin and conjunctival mucosa arose as a result of autoinoculation.
Because of its relationship to fish pathogens, Rhinosporidium is presumed to have evolved from aquatic pathogens similar to the other Mesomycetozoea and evolved to infect mammal and bird hosts. If this happened once or more than once is unknown.[9]
Natural habitat
Karunarathnae also proposed that Rhinosporidium existed in a dimorphic state—a saprotroph in soil and water and a yeast form inside living tissues. Recent studies done using fluorescent in situ hybridization techniques provide evidence that its natural habitat is reservoir water, and perhaps, soil contaminated with this water.[10]
Pathology
One report indicates that patients with rhinosporidiosis possess anti-R. seeberi IgG to an inner wall antigen expressed only during the mature sporangial stage. This finding suggests that the mapping of antigenic proteins may lead to important antigens with the potential as vaccine candidates.
Humoral and cell-mediated immune responses in human patients and in experimental mice have been defined; several mechanisms of immune evasion by R. seeberi have been identified.
A novel method for the determination of the viability of rhinosporidial endospores by MTT-reduction led to the study of the sensitivity of endospores to biocides and antimicrobial drugs (paper in preparation for submission).
Infection

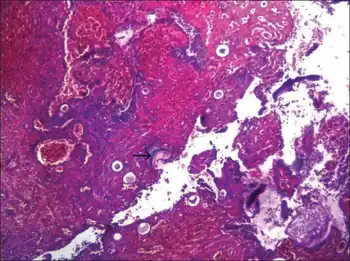
This organism infects the mucosa of the nasal cavity, producing a mass-like lesion. This mass appears to be polypoidal in nature with a granular surface speckled with whitish spores. The rhinosporidial mass has been classically described as a strawberry-like mulberry mass. This mass may extend from the nasal cavity into the nasopharynx and present itself in the oral cavity. These lesions commonly cause bleeding from the nasal cavity.
R. seeberi can also affect the lacrimal gland and also rarely the skin and genitalia.
Common sites affected:
- Nose – 78%
- Nasopharynx – 68%
- Tonsil – 3%
- Eye – 1%
- Skin – very rare
Treatment
Treatment is generally by surgical removal of the infected tissues.[2]
Povidone-iodine and antifungal drugs such as amphotericin B, dapsone, and silver nitrate have been suggested as possible antiseptics.[11]
Epidemiology
Infection in humans with this organism has been reported from about 70 countries, with the majority of cases (95%) reported from India and Sri Lanka; per capita, Sri Lanka has the highest incidence in the world. The disease is also found in other parts of the world.[2][12][13]
An all-India survey conducted in 1957 found that this disease was absent from the states of Jammu and Kashmir, Himachal Pradesh, Punjab, Haryana and the north eastern states of India. In Tamil Nadu, four endemic areas were identified in the survey—(Madurai, Ramnad, Rajapalayam, and Sivaganga). The common factor found in these areas was the practice of bathing in common ponds.
See also
References
- ↑ 1.0 1.1 Alexis Berrocal & Alfonso López (March 2007), "Nasal rhinosporidiosis in a mule", Can Vet J, 48 (3): 305–6, PMC 1800950, PMID 17436910
- ↑ 2.0 2.1 2.2 Morelli, L; Polce, M; Piscioli, F; Del, Nonno, F; Covello, R; Brenna, A; Cione, A; Licci, S (Aug 2006). "Human nasal rhinosporidiosis: an Italian case report". Diagnostic Pathology. 1 (1): 25. doi:10.1186/1746-1596-1-25. PMC 1560165. PMID 16945122.
{{cite journal}}: CS1 maint: multiple names: authors list (link) CS1 maint: unflagged free DOI (link) - ↑ V, Thankamani (June 2005). "Rhinosporidium Seeberi Grown in Culture" (PDF). Sajosps: 118–123.
{{cite journal}}: CS1 maint: url-status (link) - ↑ V, Thankamani; Lipin Dev M S (2011). "Demonstration of viability & developmental stages of 10 year old refrigerated culture of Rhinosporidium seeberi (?) UMH.48 first ever isolated from nasal Rhinosporidiosis- Yet another milestone, a tribute to Guillermo Seeber". IJPI's Journal of Biotechnology and Biotherapeutics. 1 (3): 11–21. Archived from the original on 2022-01-03. Retrieved 2023-09-11. Archived 2022-01-03 at the Wayback Machine
- ↑ 5.0 5.1 Raquel, Vilela; Leonel Mendoza (October 2012). "The taxonomy and phylogenetics of the human and animal pathogen Rhinosporidium seeberi: A critical review". Revista Iberoamericana de Micología. 29 (4): 185–199 [190]. doi:10.1016/j.riam.2012.03.012. PMID 22504725.
- ↑ Arseculeratne SN (April 2005), "Rhinosporidiosis: what is the cause?", Curr. Opin. Infect. Dis., 18 (2): 113–8, doi:10.1097/01.qco.0000160898.82115.e8, PMID 15735413, S2CID 38343304.
- ↑ Arseculeratne SN (2002), "Recent advances in rhinosporidiosis and rhinosporidium seeberi", Indian J Med Microbiol, 20 (3): 119–31, doi:10.1016/S0255-0857(21)03243-6, PMID 17657050, archived from the original on 2021-01-27, retrieved 2023-09-11. Archived 2021-01-27 at the Wayback Machine
- ↑ Roger A. Herr, Libero Ajello, John W. Taylor, Sarath N. Arseculeratne, and Leonel Mendoza1 (September 1999), "Phylogenetic Analysis of Rhinosporidium seeberi's 18S Small-Subunit Ribosomal DNA Groups This Pathogen among Members of the Protoctistan Mesomycetozoa Clade", J Clin Microbiol, 37 (9): 2750–2754, doi:10.1128/JCM.37.9.2750-2754.1999, PMC 85368, PMID 10449446
{{citation}}: CS1 maint: multiple names: authors list (link) CS1 maint: numeric names: authors list (link) - ↑ 9.0 9.1 Silva, V; Pereira, Cn; Ajello, L; Mendoza, L (Apr 2005). "Molecular evidence for multiple host-specific strains in the genus Rhinosporidium". Journal of Clinical Microbiology. 43 (4): 1865–8. doi:10.1128/JCM.43.4.1865-1868.2005. PMC 1081358. PMID 15815010.
- ↑ Kumara Kaluarachchi; Saranga Sumathipala; Navaratne Eriyagama; Dhammika Atapattu; Sarath Arseculeratne (2008). "The Identification of the Natural Habitat of Rhinosporidium seeberi with R. seeberi—Specific in situ Hybridization Probes" (PDF). J Infect Dis Antimicrob Agents. 25 (1). Infectious Disease Association of Thailand: 25–32. Archived (PDF) from the original on 2016-03-04. Retrieved 2023-09-11. Archived 2016-03-04 at the Wayback Machine
- ↑ Arseculeratne SN, Atapattu DN, Balasooriya P, Fernando R (April 2006), "The effects of biocides (antiseptics and disinfectants) on the endospores of Rhinosporidium seeberi", Indian J Med Microbiol, 24 (2): 85–91, doi:10.1016/S0255-0857(21)02404-X, PMID 16687856.
- ↑ Carl Vernon Weller & Aaron D. Riker (November 1930). "Rhinosporidium Seeberi: Pathological Histology and Report of the Third Case from the United States". Am J Pathol. 6 (6): 721–732. PMC 2007358. PMID 19969938.
- ↑ B. Hoff & D. A. Hall (June 1986), "Rhinosporidiosis in a Dog", Can Vet J, 27 (6): 231–232, PMC 1680264, PMID 17422665
External links
- "Rhinosporidium seeberi". NCBI Taxonomy Browser. 90339. Archived from the original on 2022-07-15. Retrieved 2023-09-11. Archived 2022-07-15 at the Wayback Machine
- Concise information on Rhinosporidiosis
- Rhinosporidium Images Archived 2012-02-05 at the Wayback Machine
- drtbalu otolaryngology online Archived 2022-03-27 at the Wayback Machine