Chromoblastomycosis
| Chromoblastomycosis | |
|---|---|
| Other names: Chromomycosis,[1] Cladosporiosis,[1] Fonseca's disease,[1] Pedroso's disease,[1] Phaeosporotrichosis,[1] or Verrucous dermatitis[1] | |
![]() | |
| Chromoblastomycosis | |
| Specialty | Infectious diseases |
| Symptoms | Skin lesions[2] |
| Complications | Secondary bacterial infection[3] |
| Causes | Entry of fungi through minor trauma,[2] |
| Diagnostic method | Skin biopsy[3] |
| Differential diagnosis | Phaeohyphomycosis, eumycetoma, blastomycosis, coccidioidomycosis[3] |
| Treatment | Carbon dioxide fractional laser, itraconazole[3] |
| Prognosis | Many refractory to treatment[3] |
| Frequency | 75% are farmers[2] |
Chromoblastomycosis is a long-term fungal infection of the skin and just under the skin, which following being injured, a small bump appears before forming a purplish roundish patch.[4][5] It tends to occur on the legs.[6] Gradually the nodules get bigger and the leg can swell.[2]
It is caused by a number of types of fungi when they are implanted under the skin, often by thorns or splinters.[7]
Chromoblastomycosis spreads very slowly; it is rarely fatal and usually has a good prognosis, but it can be very difficult to cure. The several treatment options include medication and surgery.[8] Posaconazole at a dose of 800 mg divided throughout the day may be around 80% effective.[6] Depressed pale scarring is usually left behind.[6]
Chromoblastomycosis most commonly occurs in rural tropical and subtropical regions.[9]
Signs and symptoms
In terms of the presentation for Chromoblastomycosis we find the following in an affected individual:[10] [11]
- Skin elevation appears gradually (becomes a purplish annular patch)
- Itching
- Pain
It usually stays local, rarely becoming systemic (other parts of the body).[10]
- Raised crusted lesions (fungal infection)
-

-
.jpg)
-
.jpg)
-
.jpg)
Complications
In terms of possible complications in an affected individual we find the following:[3]
- Atrophic scarring
- Joint immobility
- Ulceration
- Secondary bacterial infection
Several complications may occur. Usually, the infection slowly spreads to the surrounding tissue while still remaining localized to the area around the original wound. However, sometimes the fungi may spread through the blood vessels or lymph vessels, producing metastatic lesions at distant sites. Another possibility is secondary infection with bacteria. This may lead to lymph stasis and elephantiasis. The nodules may become ulcerated.[3][12]
Cause
Chromoblastomycosis is believed to originate in minor trauma to the skin, usually from vegetative material such as thorns or splinters; this trauma implants fungi in the subcutaneous tissue. In many cases, the person will not notice or remember the initial trauma, as symptoms often do not appear for years.[3][11]
The fungi most commonly observed to cause chromoblastomycosis are:
- Fonsecaea pedrosoi[13][14]
- Cladophialophora bantiana causes both cutaneous chromoblastomycosis and systemic phaeohyphomycosis[15]
- Phialophora verrucosa[16]
- Cladophialophora carrionii[17]
- Fonsecaea compacta[18]
A correlation with HLA-A29 suggests genetic factors may play a role.[3][19]
Mechanism

In terms of the mechanism we find that fungi is introduced via traumatic inoculation. Once inside the persons body, the fungi replicate and form muriform ( or sclerotic) cells, which are characteristic of this fungal infection.The immune response has a consequential role, as the infection triggers a nonprotective T helper type 2 immune response, which is not effective against the infection. Humoral immunity also has a role in the body's response.[22][23][19]
Over months to years, an erythematous papule appears at the site of inoculation. Although the mycosis slowly spreads, it usually remains localized to the skin and subcutaneous tissue. Hematogenous and/or lymphatic spread may occur. Multiple nodules may appear on the same limb, sometimes coalescing into a large plaque. Secondary bacterial infection may occur, sometimes inducing lymphatic obstruction. The central portion of the lesion may heal, producing a scar, or it may ulcerate.[3][24]
Diagnosis
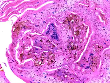
The most informative test is to scrape the lesion and add potassium hydroxide (KOH), then examine under a microscope. (KOH scrapings are commonly used to examine fungal infections.) The pathognomonic finding is observing medlar bodies (also called muriform bodies or sclerotic cells). Scrapings from the lesion can also be cultured to identify the organism involved. Blood tests and imaging studies are not commonly used.[3][25]
On histology, chromoblastomycosis manifests as pigmented yeasts resembling "copper pennies".[10]
Special stains, such as periodic acid schiff and Gömöri methenamine silver, can be used to demonstrate the fungal organisms if needed.[26]
-
Micrograph of chromoblastomycosis showing sclerotic bodies -
A 34-year-old man with a 12-year history of chromoblastomycosis and electron micrograph of his skin showing Fonsecaea pedrosoi spores.
Differential diagnosis

Other conditions that may present similarly:[3]
- Lobomycosis
- Eumycetoma
- Blastomycosis
- Sporotrichosis
- Tuberculosis
- Botryomycosis
- Verruca vulgaris
- Leishmaniasis
- Rhinosporidiosis
Prevention
No preventive measure is known aside from avoiding the traumatic inoculation of fungi. At least one study found a correlation between walking barefoot in endemic areas and occurrence of chromoblastomycosis on the foot.[19][3]
Treatment

Chromoblastomycosis is very difficult to cure. The primary treatments of choice are:[3][11]
- Itraconazole, an antifungal azole, is given orally, with or without flucytosine.
- Alternatively, cryosurgery with liquid nitrogen has also been shown to be effective.
Other treatment options are the antifungal drug terbinafine,[27] another antifungal azole posaconazole, and heat therapy.
Amphotericin B has also been used.[28]
Prognosis
The prognosis for chromoblastomycosis is very good for small lesions. Severe cases are difficult to cure, although the prognosis is still quite good. The primary complications are ulceration, lymphedema, and secondary bacterial infection. A few cases of malignant transformation to squamous cell carcinoma have been reported. Chromoblastomycosis is very rarely fatal.[3][29]
Epidemiology

Chromoblastomycosis occurs around the world, but is most common in rural areas . Madagascar and Japan have the highest rates.[29][9]
Over two-thirds of people affected are male, and usually between the ages of 30 and 50.[12]
Society and culture
Chromoblastomycosis is considered a neglected tropical disease, which mainly affects people living in poverty, and causes considerable morbidity, stigma and discrimination, societally speaking.[9]
See also
References
- ↑ 1.0 1.1 1.2 1.3 1.4 1.5 Rapini, Ronald P.; Bolognia, Jean L.; Jorizzo, Joseph L. (2007). Dermatology: 2-Volume Set. St. Louis: Mosby. ISBN 978-1-4160-2999-1.
- ↑ 2.0 2.1 2.2 2.3 James, William D.; Elston, Dirk; Treat, James R.; Rosenbach, Misha A.; Neuhaus, Isaac (2019). "13. Diseases resulting from fungi and yeasts". Andrews' Diseases of the Skin: Clinical Dermatology (13th ed.). Elsevier. pp. 316–317. ISBN 978-0-323-54753-6. Archived from the original on 2023-01-12. Retrieved 2021-07-13.
- ↑ 3.00 3.01 3.02 3.03 3.04 3.05 3.06 3.07 3.08 3.09 3.10 3.11 3.12 3.13 3.14 Kurien, George; Sugumar, Kavin; Sathe, Nishad C.; Chandran, Veena (2024). "Chromoblastomycosis". StatPearls. StatPearls Publishing. Archived from the original on 2023-11-16. Retrieved 2024-08-24.
- ↑ Johnstone, Ronald B. (2017). "25. Mycoses and Algal infections". Weedon's Skin Pathology Essentials (2nd ed.). Elsevier. p. 453. ISBN 978-0-7020-6830-0. Archived from the original on 2023-06-30. Retrieved 2023-06-20.
- ↑ "ICD-11 - ICD-11 for Mortality and Morbidity Statistics". icd.who.int. Archived from the original on 1 August 2018. Retrieved 1 June 2021.
- ↑ 6.0 6.1 6.2 Morris-Jones, Rachael (2019). "18. Tropical dermatology". In Morris-Jones, Rachael (ed.). ABC of Dermatology (7th ed.). Hoboken: Wiley Blackwell. p. 152. ISBN 978-1-119-48899-6. Archived from the original on 2023-06-30. Retrieved 2023-06-20.
- ↑ "Chromoblastomycosis | Genetic and Rare Diseases Information Center (GARD) – an NCATS Program". rarediseases.info.nih.gov. Archived from the original on 2021-03-18. Retrieved 2018-04-17.
- ↑ "Chromoblastomycosis | DermNet New Zealand". www.dermnetnz.org. Archived from the original on 2021-06-13. Retrieved 2018-04-17.
- ↑ 9.0 9.1 9.2 Santos, Daniel Wagner C. L.; de Azevedo, Conceição de Maria Pedrozo E. Silva; Vicente, Vania Aparecida; Queiroz-Telles, Flávio; Rodrigues, Anderson Messias; de Hoog, G. Sybren; Denning, David W.; Colombo, Arnaldo Lopes (August 2021). "The global burden of chromoblastomycosis". PLoS neglected tropical diseases. 15 (8): e0009611. doi:10.1371/journal.pntd.0009611. ISSN 1935-2735. PMID 34383752. Archived from the original on 2021-08-22. Retrieved 2021-08-22.
{{cite journal}}: CS1 maint: unflagged free DOI (link) - ↑ 10.0 10.1 10.2 Johnstone, Ronald B. (2017). "25. Mycoses and Algal infections". Weedon's Skin Pathology Essentials (2nd ed.). Elsevier. p. 453. ISBN 978-0-7020-6830-0
- ↑ 11.0 11.1 11.2 "Chromoblastomycosis Basics". Chromoblastomycosis. 30 August 2024. Archived from the original on 2 September 2024. Retrieved 31 August 2024.
- ↑ 12.0 12.1 Krzyściak, Paweł M.; Pindycka-Piaszczyńska, Małgorzata; Piaszczyński, Michał (October 2014). "Chromoblastomycosis". Advances in Dermatology and Allergology/Postȩpy Dermatologii i Alergologii. 31 (5): 310–321. doi:10.5114/pdia.2014.40949. ISSN 1642-395X. Archived from the original on 2023-12-01. Retrieved 2024-08-28.
- ↑ Bonifaz A, Carrasco-Gerard E, Saúl A (2001). "Chromoblastomycosis: clinical and mycologic experience of 51 cases". Mycoses. 44 (1–2): 1–7. doi:10.1046/j.1439-0507.2001.00613.x. PMID 11398635.
- ↑ de Andrade TS, Cury AE, de Castro LG, Hirata MH, Hirata RD (March 2007). "Rapid identification of Fonsecaea by duplex polymerase chain reaction in isolates from patients with chromoblastomycosis". Diagn. Microbiol. Infect. Dis. 57 (3): 267–72. doi:10.1016/j.diagmicrobio.2006.08.024. PMID 17338941.
- ↑ Kantarcioglu, A. Serda; Guarro, Josep; De Hoog, Sybren; Apaydin, Hulya; Kiraz, Nuri (22 December 2016). "An updated comprehensive systematic review of Cladophialophora bantiana and analysis of epidemiology, clinical characteristics, and outcome of cerebral cases". Medical Mycology: myw124. doi:10.1093/mmy/myw124. Archived from the original on 30 August 2024. Retrieved 27 August 2024.
- ↑ Park SG, Oh SH, Suh SB, Lee KH, Chung KY (March 2005). "A case of chromoblastomycosis with an unusual clinical manifestation caused by Phialophora verrucosa on an unexposed area: treatment with a combination of amphotericin B and 5-flucytosine". Br. J. Dermatol. 152 (3): 560–4. doi:10.1111/j.1365-2133.2005.06424.x. PMID 15787829. S2CID 41788722.
- ↑ Keystone, Jay S. (1 January 2007). "CHAPTER 25 - Skin Problems". Immigrant Medicine. W.B. Saunders. pp. 375–391. ISBN 978-0-323-03454-8. Archived from the original on 6 January 2025. Retrieved 28 August 2024.
- ↑ Attapattu MC (1997). "Chromoblastomycosis--a clinical and mycological study of 71 cases from Sri Lanka". Mycopathologia. 137 (3): 145–51. doi:10.1023/A:1006819530825. PMID 9368408. S2CID 26091759.
- ↑ 19.0 19.1 19.2 Queiroz-Telles, Flavio; de Hoog, Sybren; Santos, Daniel Wagner C. L.; Salgado, Claudio Guedes; Vicente, Vania Aparecida; Bonifaz, Alexandro; Roilides, Emmanuel; Xi, Liyan; Azevedo, Conceição de Maria Pedrozo e Silva; da Silva, Moises Batista; Pana, Zoe Dorothea; Colombo, Arnaldo Lopes; Walsh, Thomas J. (January 2017). "Chromoblastomycosis". Clinical Microbiology Reviews. 30 (1): 233–276. doi:10.1128/CMR.00032-16. ISSN 0893-8512. Archived from the original on 2022-03-28. Retrieved 2024-08-30.
- ↑ Li, Danyang; Wu, Minghua (4 August 2021). "Pattern recognition receptors in health and diseases". Signal Transduction and Targeted Therapy. 6: 291. doi:10.1038/s41392-021-00687-0. ISSN 2095-9907. Archived from the original on 10 April 2024. Retrieved 22 August 2024.
- ↑ Breda, Leandro C. D.; Menezes, Isabela G.; Paulo, Larissa N. M.; de Almeida, Sandro Rogério (22 December 2020). "Immune Sensing and Potential Immunotherapeutic Approaches to Control Chromoblastomycosis". Journal of Fungi (Basel, Switzerland). 7 (1): 3. doi:10.3390/jof7010003. ISSN 2309-608X. Archived from the original on 13 March 2023. Retrieved 5 September 2024.
{{cite journal}}: CS1 maint: unflagged free DOI (link) - ↑ Alvarez, Diego C; García, Olga CR; Martinez, Joyce MG (August 2018). "Chromoblastomycosis. A forgotten mycosis". Cambridge Medicine Journal. doi:10.7244/cmj.2018.07.001. Archived from the original on 2024-09-08. Retrieved 2024-09-05.
- ↑ "Chromoblastomycosis". www.who.int. Archived from the original on 2 September 2024. Retrieved 5 September 2024.
- ↑ Santos, André L.S.; Palmeira, Vanila F.; Rozental, Sonia; Kneipp, Lucimar F.; Nimrichter, Leonardo; Alviano, Daniela S.; Rodrigues, Marcio L.; Alviano, Celuta S. (September 2007). "Biology and pathogenesis of Fonsecaea pedrosoi , the major etiologic agent of chromoblastomycosis". FEMS Microbiology Reviews. 31 (5): 570–591. doi:10.1111/j.1574-6976.2007.00077.x. Archived from the original on 2023-03-16. Retrieved 2024-09-01.
- ↑ Queiroz-Telles, Flavio; Esterre, Phillippe; Perez-Blanco, Maigualida; Vitale, Roxana G; Salgado, Claudio Guedes; Bonifaz, Alexandro (January 2009). "Chromoblastomycosis: an overview of clinical manifestations, diagnosis and treatment". Medical Mycology. 47 (1): 3–15. doi:10.1080/13693780802538001. Archived from the original on 2022-08-11. Retrieved 2024-09-01.
- ↑ Gonzales, Manuela; Gonzalez, Benjamin (August 2021). "Special Stains Used to Identify Fungal Infections" (PDF). Microscopy and Microanalysis. 27 (S1): 3456–3457. doi:10.1017/S1431927621011880. Archived (PDF) from the original on 2024-08-30. Retrieved 2024-08-28.
- ↑ Bonifaz A, Saúl A, Paredes-Solis V, Araiza J, Fierro-Arias L (February 2005). "Treatment of chromoblastomycosis with terbinafine: experience with four cases". J Dermatolog Treat. 16 (1): 47–51. doi:10.1080/09546630410024538. PMID 15897168. S2CID 45956388. Archived from the original on 2021-07-18. Retrieved 2019-09-12.
- ↑ Paniz-Mondolfi AE, Colella MT, Negrín DC (March 2008). "Extensive chromoblastomycosis caused by Fonsecaea pedrosoi successfully treated with a combination of amphotericin B and itraconazole". Med. Mycol. 46 (2): 179–84. doi:10.1080/13693780701721856. PMID 18324498.
- ↑ 29.0 29.1 "Chromoblastomycosis: Background, Pathophysiology, Etiology". eMedicine. 13 May 2024. Archived from the original on 31 July 2019. Retrieved 28 August 2024.
External links
| Classification | |
|---|---|
| External resources |
.jpg)