Pilar sheath acanthoma
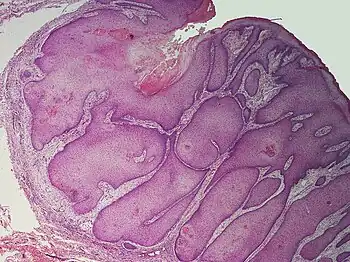
| Pilar sheath acanthoma | |
|---|---|
| Other names: Infundibuloisthmicoma[1] | |
![]() | |
| Skin colored nodule diameter in 1 cm in eyebrow | |
| Symptoms | Single small small or larger bump with central keratin-plug in dip, typically above upper lip[1] |
| Usual onset | Middle-age, elderly[1] |
| Frequency | Rare[1] |
A pilar sheath acanthoma is a single small small or larger bump with a central keratin-plug in a dip, typically above upper lip in adults.[1] It is usually around 05cm to 1.0cm.[1]
See also
References
- ↑ 1.0 1.1 1.2 1.3 1.4 1.5 DE, Elder; D, Massi; RA, Scolyer; R, Willemze (2018). "3. Appendageal tumours: pilar". WHO Classification of Skin Tumours. Vol. 11 (4th ed.). Lyon (France): World Health Organization. p. 207. ISBN 978-92-832-2440-2. Archived from the original on 2022-07-11. Retrieved 2022-08-31. Archived 2022-07-11 at the Wayback Machine
Template:Epidermal-growth-stub
