Aggressive digital papillary adenocarcinoma
| Aggressive digital papillary adenocarcinoma | |
|---|---|
| Other names: Digital papillary adenocarcinoma[1] and Papillary adenoma[2] | |
| Specialty | Dermatology/oncology |
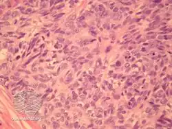
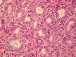
Aggressive digital papillary adenocarcinoma is a cutaneous condition characterized by an aggressive malignancy involving the digit between the nailbed and the distal interphalangeal joint spaces.[1]: 670
-
Aggressive digital papillary adenocarcinoma-pathology -
Aggressive digital papillary adenocarcinoma-pathology -
Aggressive digital papillary adenocarcinoma-pathology -
Aggressive digital papillary adenocarcinoma-pathology -
Aggressive digital papillary adenocarcinoma-pathology -
Aggressive digital papillary adenocarcinoma-pathology
See also
References
Template:Epidermal-growth-stub