Nutrient artery
| Nutrient artery | |
|---|---|
![]() The blood supply to long bones, here with nutrient arteries labeled. | |
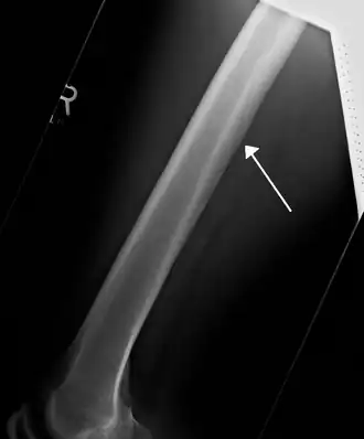
![]() A nutrient artery feeding the femur seen on X-ray | |
| Details | |
| Identifiers | |
| Latin | arteria nutricia, arteria nutriens |
| TA98 | A12.0.00.004 |
| TA2 | 3897 |
| FMA | 50779 |
| Anatomical terminology | |
The nutrient artery (arteria nutricia, or central artery), usually accompanied by one or two nutrient veins, enters the bone through the nutrient foramen, runs obliquely through the cortex, sends branches upward and downward to the bone marrow, which ramify in the endosteum–the vascular membrane lining the medullary cavity–and give twigs to the adjoining canals. Nutrient arteries are the most apparent blood vessels of the bones.[1]
All bones possess larger or smaller foramina for the entrance of the nourishing blood-vessels; these are known as the nutrient foramina, and are particularly large in the shafts of the larger long bones, where they lead into a nutrient canal, which extends into the medullary cavity (bone marrow cavity).[2]
References
This article incorporates text in the public domain from page 88 of the 20th edition of Gray's Anatomy (1918)
This article incorporates text from a public domain edition of Sobotta's Anatomy.
- ↑ Ramasamy, SK (2017). "Structure and Functions of Blood Vessels and Vascular Niches in Bone". Stem Cells International. 2017 5046953. doi:10.1155/2017/5046953. PMC 5623774. PMID 29104595.
- ↑ Atlas and textbook of human anatomy. Atlas der deskriptiven Anatomie des Menschen.English. Saunders. 1909.
External links
- Nutrient artery at the Duke University Health System's Orthopedics program

