Noninvasive follicular thyroid neoplasm with papillary-like nuclear features

Noninvasive follicular thyroid neoplasm with papillary-like nuclear features (NIFTP) is an indolent thyroid tumor that was previously classified as an encapsulated follicular variant of papillary thyroid carcinoma,[2] necessitating a new classification as it was recognized that encapsulated tumors without invasion have an indolent behavior,[2] and may be over-treated if classified as a type of cancer.
Signs and symptoms
The clinical presentation of the patients is identical to other thyroid tumors, where there is usually a painless, asymptomatic, mobile thyroid gland nodule or enlargement. Depending on the size, additional symptoms of hoarseness, difficulty swallowing, or other compression symptoms may be experienced. In nearly all cases, the patients do not have any thyroid hormone dysfunction (hyperthyroidism or hypothyroidism – respectively, excessive or low hormone levels).
Genetics
This tumor shows a very high association with other follicular-pattern tumors, with RAS mutations the most commonly identified. However, PPARγ and THADA gene fusions, and BRAF K601E mutations may be seen on occasion.[3][4][5][6][7][8] BRAF V600E mutations and RET gene fusions that are commonly seen in classical type papillary carcinoma are not seen in this tumor.
Diagnosis
Classification
Definition of noninvasive follicular thyroid neoplasm with papillary-like nuclear features (NIFTP): A noninvasive neoplasm that arises from the thyroid follicular cells (cells that normally make thyroid hormone), showing a predominantly follicular growth pattern and with nuclear features of papillary thyroid carcinoma. There are several specific inclusion and exclusion criteria (see below). When these are met, this tumor has an extremely low malignant potential.[3]
Abbreviations:
NIFTP: Noninvasive follicular thyroid neoplasm with papillary-like nuclear features
EFVPTC: Encapsulated follicular variant of papillary thyroid carcinoma.
PTC: Papillary thyroid carcinoma.
The new classification will be included in the World Health Organization's new Classification of Endocrine Organ Tumours, due out in 2017.
Imaging findings
Clinical evaluation is usually done with ultrasound studies, which will usually show a solid, well demarcated mass, often showing limited shadowing (hypoechoic). Depending on the specific character on ultrasound and other clinical findings, a fine needle aspiration is often performed.
Fine needle aspiration
This involves extracting a fluid sample through a thin needle inserted into the nodule (mass), and creating slides that are then interpreted by a cytopathologist. These tumors are difficult to interpret.[9][10][11][12][13] As a result, it is likely that over 90% of these tumors will be put into one of the indeterminate categories of The Bethesda System for Reporting Thyroid Cytopathology: Recommended Diagnostic Categories [14] The indeterminate categories of Bethesda include:
- Benign
- Atypia of Undetermined Significance or Follicular Lesion of Undetermined Significance (Bethesda Category III);
- Follicular Neoplasm or Suspicious for a Follicular Neoplasm (Bethesda Category IV);
- Suspicious for Malignancy (Bethesda category V).
- Malignant (Bethesda category VI)
It is important to note that a NIFTP diagnosis cannot be made on the basis fine needle aspiration alone. Evaluation of a surgical resection specimen is required to rule out invasive growth. If molecular studies are applied to the fine needle aspiration material, an RAS mutation is the most common identification.[4][15][16]
Pathology findings
Size
Tumors can be quite variable in size, ranging from as small as 0.7 centimetres (0.28 in) up to 10 centimetres (3.9 in), although in general the tumors are about 2–4 centimetres (0.79–1.57 in).[3][17] The critical size threshold used to be 1 centimetre (0.39 in), but supporting studies have lowered that threshold.[17][5] Most tumors are seen in just one lobe of the thyroid gland (unifocal), but multicentric tumors (same lobe or opposite lobe) can be seen in up to 38% of cases.[17]
Histologic features




Several specific features must be identified for the tumor to be classified in this new category, while exclusion criteria should also be evaluated.
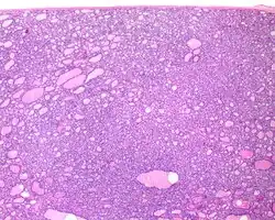
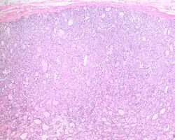
1) Encapsulated or partially encapsulated. The tumors are usually very well delimited or circumscribed, with the majority encapsulated, surrounded by a well formed fibrous connective tissue capsule.
2) Complete absence of invasion of any kind in a tumor that has been thoroughly and carefully evaluated with the whole capsule of the lesion sampled.
3) Predominantly follicular pattern of growth. Papillary structures should not be present. Further, solid, insular, or trabecular architecture must be <30% of the overall tumor for this category to still apply. Colloid (the material that thyroid follicular cells create) is easily identified throughout.
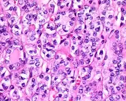
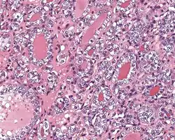
4) Must have the characteristic nuclear features of papillary thyroid carcinoma, although sometimes the features are patchy in distribution without all of the tumor showing those features. The nuclear features can be divided into three main categories:
- Nuclear size and shape: nuclear enlargement, nuclear elongation, and nuclear overlapping and crowding. Loss of nuclear polarity, with nuclei at the lumen, middle, or basal zone of the cells is also a helpful finding.
- Nuclear membrane irregularities: irregular nuclear contours, nuclear grooves and folds, "rat-bites" or demi-lune formations, and the presence of intranuclear cytoplasmic inclusions.
- Nuclear chromatin characteristics: nuclear chromatin clearing, often with condensation or margination along the nuclear membranes, resulting in accentuated nuclear margins, glassy nuclei, or fine, even delicate, powdery nuclear chromatin.
These features have been recently validated by an international group of practicing general surgical pathologists, showing a substantial interobserver agreement with applying a Nuclear Standardized Scoring System.[18]
Exclusion criteria
1) Any invasion.
2) The presence of any other papillary thyroid carcinoma variant (examples would include tall cell, columnar cell, cribriform morular, diffuse sclerosing, etc.).
3) True papillary structures (a fibrovascular core surrounded by neoplastic cells). While originally limited to <1%, newer data suggests no papillary structures should be allowed.[5][15]
4) Psammoma bodies. These are calcified remnants of papillary structures, and thus if a psammoma body is present anywhere within the tumor (in the correct location), then a NIFTP cannot be diagnosed.
5) Tumor necrosis: If there is true tumor necrosis not associated with a fine needle aspiration.
6) Increased mitoses: If there are ≥3 mitoses per 10 high-power fields, then this category cannot be used.
Management
Lobectomy or surgical removal of one half of the thyroid gland that contains the nodule is currently all that seems to be required. However, it is important to realize that many clinical circumstances come into play when considering surgical options. If there are compression symptoms, cosmetic issues, hoarseness, or other factors in the patients clinical history (family risk factors, previous radiation for a different disorder, etc.), then a total thyroidectomy may be the prudent management. However, no additional surgery is necessary. Further, radiation therapy given as radioactive iodine is not necessary as it does not change the overall patient outcome, while being associated with potential side effects. The American Thyroid Association has released guidelines on thyroid tumor management, 2015 ATA Guidance on Differentiated Thyroid Cancer, which can be used as a guide for overall management.[19]
Prognosis
As long as the whole tumor was removed, and the whole periphery of the tumor has been evaluated microscopically—from tumor to capsule to parenchyma, or from tumor to parenchyma if no capsule is present—by the pathologist, who is able to document there is no capsular or lymphovascular invasion, then the risk of recurrence or occurrence does not develop.[20]
Epidemiology
The tumor is not new, just newly reclassified, and tumors previously diagnosed as the noninvasive encapsulated follicular variant of papillary thyroid carcinoma will now be classified according to the new terminology. Overall, about 20% of all thyroid gland "cancers" would now be classified as NIFTP.[21][22] However, it is important to note that, in Japan specifically, the diagnostic criteria and nomenclature for these tumors has been different, and so the incidence of this tumor type is different. The majority of patients are females (3-4:1 F:M), affecting a wide age range of patients, although most present during the 4th to the 6th decades of life.[3][17]
History
Patients in the distant past with this lesion would have been regarded as showing signs of having a benign lesion, a follicular adenoma. However, over time and with additional evaluation and molecular testing, these lesions came to be regarded as showing features of a papillary thyroid carcinoma because of their papillary carcinoma type nuclei. Thus, the "follicular variant" of a tumor that normally shows a papillary architecture and papillary nuclear features was named. Over the years, those cases that do not show invasion of either the capsule of the tumor or the vessels in the capsule, have been shown to behave in an indolent fashion, with only rare reported cases of metastatic disease.
Over a multiyear time frame, an international consensus project was undertaken to re-define the pathological criteria for the encapsulated follicular variant of papillary thyroid carcinoma. Based on a rigorous review of the literature and a multicentre review of many cases with long-term follow-up (a minimum of 10 years) together with molecular analysis of some tumors, this working group has determined that tumors previously classified as the encapsulated follicular variant of papillary carcinoma—without any evidence of capsular or vascular invasion, provided that the entire periphery of the tumor (capsule if encapsulated or periphery if well circumscribed) has been sampled—can be reclassified as noninvasive follicular thyroid neoplasms with papillary-like nuclear features. There are several major inclusion and exclusion criteria.[3]
By consensus the tumors had to be more than 1 centimeter (0.39 in) in size, with no vascular or capsular invasion in an adequately sampled tumor, no other invasive tumors in the gland, no radioablative iodine treatment, and with at least 10 years of follow-up. With additional research, a clinically detected less than 1 cm tumor may qualify, but as there is a designation of "microscopic" for these tumors already, a further sub classification is not necessary.
References
- ↑ Image by Mikael Häggström, MD. Reference for findings: Rachel Jug, M.B.B.Ch., B.A.O., David Poller, M.D., Xiaoyin "Sara" Jiang, M.D. "NIFTP". Pathology Outlines.
{{cite web}}: CS1 maint: multiple names: authors list (link) Last author update: 10 May 2018 - 1 2 Ganly, I.; Wang, L.; Tuttle, RM.; Katabi, N.; Ceballos, GA.; Harach, HR.; Ghossein, R. (May 2015). "Invasion rather than nuclear features correlates with outcome in encapsulated follicular tumors: further evidence for the reclassification of the encapsulated papillary thyroid carcinoma follicular variant". Human Pathology. 46 (5): 657–64. doi:10.1016/j.humpath.2015.01.010. PMC 4981329. PMID 25721865.
- 1 2 3 4 5 Nikiforov YE, Seethala RR, Tallini G, Baloch ZW, Basolo F, Thompson LD, Barletta J, Wenig BM, Ghuzlan AA, Kakudo K, Giordano TJ, Alves VA, Khanafshar E, Asa SL, El-Naggar AK, Gooding WE, Hodak SP, Lloyd RV, Maytal G, Mete O, Nikiforova MN, Nosé V, Papotti M, Poller DN, Sadow PM, Tischler AS, Tuttle RM, Wall KB, LiVolsi VA, Randolph GW, Ghossein RA (14 April 2016). "Nomenclature Revision for encapsulated follicular variant of papillary thyroid carcinoma: A Paradigm Shift to Reduce Overtreatment of Indolent Tumors". JAMA Oncol. 2 (8): 1023–9. doi:10.1001/jamaoncol.2016.0386. PMC 5539411. PMID 27078145.
- 1 2 Cancer Genome Atlas Research Network (23 October 2014). "Integrated genomic characterization of papillary thyroid carcinoma". Cell. 159 (3): 676–90. doi:10.1016/j.cell.2014.09.050. PMC 4243044. PMID 25417114.
- 1 2 3 Seethala RR, LiVolsi VA, Barletta J, Baloch Z, Tallini, Khanafshar, Nikiforov YA, Sadow P, Mete O, Thompson LD (20 October 2017). "Noninvasive Follicular Thyroid Neoplasm with Papillary-like Nuclear Features: A review for pathologists". Mod Pathol. 31 (1): 39–55. doi:10.1038/modpathol.2017.130. PMID 29052599.
- ↑ Xing M (March 2013). "Molecular pathogenesis and mechanisms of thyroid cancer". Nat Rev Cancer. 13 (3): 184–99. doi:10.1038/nrc3431. PMC 3791171. PMID 23429735.
- ↑ Rivera M, Ricarte-Filho J, Knauf J, Shaha A, Tuttle M, Fagin JA, Ghossein RA (September 2010). "Molecular genotyping of papillary thyroid carcinoma follicular variant according to its histological subtypes (encapsulated vs infiltrative) reveals distinct BRAF and RAS mutation patterns". Mod Pathol. 23 (9): 1191–200. doi:10.1038/modpathol.2010.112. PMC 4573468. PMID 20526288.
- ↑ Johnson, Daniel N.; Furtado, Larissa V.; Long, Bradley C.; Zhen, Chao Jie; Wurst, Michelle; Mujacic, Ibro; Kadri, Sabah; Segal, Jeremy P.; Antic, Tatjana (2018-03-27). "Noninvasive Follicular Thyroid Neoplasms With Papillary-Like Nuclear Features (NIFTPs) Are Genetically and Biologically Similar to Adenomatous Nodules and Distinct From Papillary Thyroid Carcinomas With Extensive Follicular Growth". Archives of Pathology & Laboratory Medicine. 142 (7): 838–850. doi:10.5858/arpa.2017-0118-OA. ISSN 1543-2165. PMID 29582677.
- ↑ Jain M, Khan A, Patwardhan N, Reale F, Safran M (March 2001). "Follicular variant of papillary thyroid carcinoma: a comparative study of histopathologic features and cytology results in 141 patients". Endocr Pract. 7 (2): 79–84. doi:10.4158/EP.7.2.79. PMID 11421549.
- ↑ Chang HY, Lin JD, Chou SC, Chao TC, Hsueh C (November 2006). "Clinical presentations and outcomes of surgical treatment of follicular variant of the papillary thyroid carcinomas". Jpn J Clin Oncol. 36 (11): 688–93. doi:10.1093/jjco/hyl093. PMID 17000702.
- ↑ Hwang TS, Kim WY, Han HS, Lim SD, Kim WS, Yoo YB, Park KS, Oh SY, Kim SK, Yang JH (12 January 2015). "Preoperative RAS mutational analysis is of great value in predicting follicular variant of papillary thyroid carcinoma". Biomed Res Int. 2015 697068. doi:10.1155/2015/697068. PMC 4306358. PMID 25648502.
- ↑ Hagag P, Hod N, Kummer E, Cohenpour M, Horne T, Weiss M (July 2006). "Follicular variant of papillary thyroid carcinoma: clinical-pathological characterization and long-term follow-up". Cancer J. 12 (4): 275–82. doi:10.1097/00130404-200607000-00005. PMID 16925971. S2CID 44293613.
- ↑ Maletta F, Massa F, Torregrossa L, Duregon E, Casadei GP, Basolo F, Tallini G, Volante M, Nikiforov YE, Papotti M (13 April 2016). "Cytological features of "non-invasive follicular thyroid neoplasm with papillary-like nuclear features" and their correlation with tumor histology". Hum Pathol. 54: 134–42. doi:10.1016/j.humpath.2016.03.014. hdl:2318/1568646. PMID 27085556.
- ↑ Cibas ES, Ali SZ (November 2009). "The Bethesda System For Reporting Thyroid Cytopathology". Am J Clin Pathol. 132 (5): 658–65. doi:10.1309/AJCPPHLWMI3JV4LA. PMID 19846805.
- 1 2 Kakudo K (June 2017). "Unsettled Issues in Non-Invasive Encapsulated/Well-circumscribed Follicular Thyroid Neoplasm with Papillary-like Nuclear Features (NIFTP) and Precursor Thyroid Tumors". J Basic Clin Med. 6 (1).
- ↑ Kakudo K, Higuchi M, Hirokawa M, Satoh S, Jung CK, Bychkov A (8 September 2017). "Thyroid FNA cytology in Asian practice—Active surveillance for indeterminate thyroid nodules reduces overtreatment of thyroid carcinomas". Cytopathology. 28 (6): 455–466. doi:10.1111/cyt.12491. PMID 29094782.
- 1 2 3 4 Thompson LD (22 April 2016). "Ninety-four cases of encapsulated follicular variant of papillary thyroid carcinoma: A name change to Noninvasive Follicular Thyroid Neoplasm with Papillary-like Nuclear Features would help prevent overtreatment". Mod Pathol. 29 (7): 698–707: http://rdcu.be/u2SI. doi:10.1038/modpathol.2016.65. PMID 27102347.
- ↑ Thompson LD, Poller DN, Kakudo K, Burchette R, Nikiforov YE, Seethala RR (March 2018). "An International Interobserver Variability Reporting of the Nuclear Scoring Criteria to Diagnose Noninvasive Follicular Thyroid Neoplasm with Papillary-Like Nuclear Features: a Validation Study". Endocr Pathol. 29 (3): 242–249. doi:10.1007/s12022-018-9520-0. PMID 29508145. S2CID 3731502.
- ↑ Haugen BR, Alexander EK, Bible KC, Doherty GM, Mandel SJ, Nikiforov YE, Pacini F, Randolph GW, Sawka AM, Schlumberger M, Schuff KG, Sherman SI, Sosa JA, Steward DL, Tuttle RM, Wartofsky L (January 2016). "2015 American Thyroid Association Management Guidelines for Adult Patients with Thyroid Nodules and Differentiated Thyroid Cancer: The American Thyroid Association Guidelines Task Force on Thyroid Nodules and Differentiated Thyroid Cancer". Thyroid. 26 (1): 1–133. doi:10.1089/thy.2015.0020. PMC 4739132. PMID 26462967.
- ↑ Vivero M, Kraft S, Barletta JA (March 2013). "Risk stratification of follicular variant of papillary thyroid carcinoma". Thyroid. 23 (3): 273–9. doi:10.1089/thy.2012.0369. PMID 23025507.
- ↑ Jung CK, Little MP, Lubin JH, Brenner AV, Wells SA Jr, Sigurdson AJ, Nikiforov YE (February 2014). "The increase in thyroid cancer incidence during the last four decades is accompanied by a high frequency of BRAF mutations and a sharp increase in RAS mutations". J Clin Endocrinol Metab. 99 (2): E276–85. doi:10.1210/jc.2013-2503. PMC 3913801. PMID 24248188.
- ↑ Lupi C, Giannini R, Ugolini C, Proietti A, Berti P, Minuto M, Materazzi G, Elisei R, Santoro M, Miccoli P, Basolo F (November 2007). "Association of BRAF V600E mutation with poor clinicopathological outcomes in 500 consecutive cases of papillary thyroid carcinoma". J Clin Endocrinol Metab. 92 (11): 4085–90. doi:10.1210/jc.2007-1179. PMID 17785355.
Further reading
- Nikiforov YE, Biddinger PW, Thompson LDR (Editors). Diagnostic Pathology and Molecular Genetics of the Thyroid. 3rd Edition, Lippincott Williams & Wilkins, 2019. ISBN 978-1496396532
- Thompson, Lester D.R. (2016), Diagnostic Pathology: Head and Neck, 2e, Elsevier, ISBN 978-0-323-39255-6