Massilia dura
| Massilia dura | |
|---|---|
| Scientific classification | |
| Domain: | Bacteria |
| Kingdom: | Pseudomonadati |
| Phylum: | Pseudomonadota |
| Class: | Betaproteobacteria |
| Order: | Burkholderiales |
| Family: | Oxalobacteraceae |
| Genus: | Massilia |
| Species: | M. dura |
| Binomial name | |
| Massilia dura Zhang et al. 2006, sp. nov[1] | |
| Type strain[2] | |
| 16, CCTCC AB204070, CCUG 52213, CIP 109188, DSM 17513, KCTC 12342 | |

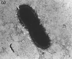
Massilia dura is a Gram-negative, rod-shaped, non-spore-forming bacterium from the genus Massilia and family Oxalobacteraceae, which was isolated with Massilia albidiflava, Massilia plicata, and Massilia lutea from soil samples collected from southeast China.[3] Colonies of M. dura are hard and compact and their color is pale white to yellow.[4]
Etymology
The specific name dura comes from the Latin dura, which means "hard", because of the nature of the colonies.[5][6]
References
- ↑ LPSN
- ↑ "Int J Syst Evol Microbiol 56(2), 459-463, 2006 Publication Passport - StrainInfo". Archived from the original on 2016-03-04. Retrieved 2013-02-21.
- ↑ Zhang, Y. Q; Li, W. J; Zhang, K. Y; Tian, X. P; Jiang, Y; Xu, L. H; Jiang, C. L; Lai, R (Feb 2006). "Massilia dura sp. nov., Massilia albidiflava sp. nov., Massilia plicata sp. nov. and Massilia lutea sp. nov., isolated from soils in China". Int J Syst Evol Microbiol. 56 (Pt 2): 459–63. doi:10.1099/ijs.0.64083-0. PMID 16449458.
- ↑ "Archived copy" (PDF). Archived from the original (PDF) on 2016-03-04. Retrieved 2013-02-21.
{{cite web}}: CS1 maint: archived copy as title (link) - ↑ LPSN
- ↑ "Archived copy" (PDF). Archived from the original (PDF) on 2016-03-04. Retrieved 2013-02-21.
{{cite web}}: CS1 maint: archived copy as title (link)
External links