List of eponymous fractures
| Eponymous fractures | |
|---|---|
Other names: ![]() ![]() ![]() ![]() ![]() ![]() ![]() ![]() ![]() From top left to right: Abraham Colles, Albert Hoffa, Percivall Pott, Guillaume Dupuytren, Léon Athanese Gosselin, Jacques Lisfranc, Paul Jules Tillaux, William H. Harris,
Paul Segond, Giambattista Monteggia | |
| Specialty | Orthopedics |
Eponymous fractures and fracture-dislocations are most commonly named after the doctor who first described them. They may also be named after an activity with which they are associated.[1][2]
Some of these terms are historic.[2]
| Fracture | Named after | Description | Mechanism of injury | Reference | Image |
|---|---|---|---|---|---|
| Bankart's fracture | Arthur Bankart | Fracture of anterior glenoid associated with anterior shoulder dislocation | External rotation and abduction of shoulder | [2][3] |
|
| Barton's fracture | John Rhea Barton | distal radius fracture involving the articular surface with dislocation of the radiocarpal joint | fall on outstretched hand | Barton's fracture at Who Named It? |
|
| Bennett's fracture | Edward Hallaran Bennett | intra-articular fracture of base of Thumb metacarpal | axial load along metacarpal in a partially flexed thumb | Bennett's fracture at Who Named It? |
|
| Bosworth fracture | David M. Bosworth | fracture of distal fibula with posterior dislocation of the proximal fibula behind the tibia | severe external rotation of the foot | "Bosworth fracture dislocation". Medcyclopaedia. GE. Archived from the original on 2013-01-29. Retrieved 2023-03-25. | |
| Boxer's fracture | Boxers | fracture at the neck of the fifth metacarpal | punching solid object | Boxer's fracture Archived 2007-07-15 at the Wayback Machine at Wheeless' Textbook of Orthopaedics online |
|
| Bumper fracture | Car bumper | compression fracture of lateral tibial plateau | forced valgus of knee when struck from side by car bumper | Bumper fracture Archived 2022-01-21 at the Wayback Machine at TheFreeDictionary.com |
|
| Busch fracture | |||||
| Chance fracture | George Quentin Chance | horizontal fracture of vertebral body | hyperflexion of spine, seen in car accidents when lap belts were used | Chance fracture Archived 2018-07-06 at the Wayback Machine at Wheeless' Textbook of Orthopaedics online |
|
| Chauffeur's fracture[4] | Chauffeurs | intra-articular fracture of radial styloid | forced ulnar deviation of the wrist causing avulsion of the radial styloid | Chauffeur's fracture Archived 2020-09-18 at the Wayback Machine at Wheeless' Textbook of Orthopaedics online |
|
| Chopart's fracture-dislocation | François Chopart | foot dislocation through talonavicular and calcaneocuboid joints with associated fractures, usually after ankle twisting.treated in a non weight bearing cast for 6–8 weeks | Chopart's fracture dislocation at Who Named It? | ||
| Clay shoveller's fracture | Clay shovellers | spinous process fracture of C6, C7 or T1 | forced hyperflexion of neck | "Clay shovellers fracture". Medcyclopaedia. GE. Archived from the original on 2011-05-26. Retrieved 2023-03-25. | |
| Colles' fracture | Abraham Colles | distal radius fracture with dorsal angulation, impaction and radial drift | fall on outstretched hand | Colles' fracture at Who Named It? |
|
| Cotton fracture | |||||
| Duverney fracture | Joseph Guichard Duverney | isolated fracture of the iliac wing | direct trauma | "Duverney fracture". Medcyclopaedia. GE. Archived from the original on 2012-09-06. Retrieved 2023-03-25. | |
| Essex-Lopresti fracture | Peter Essex-Lopresti | comminuted radial head fracture with interosseous membrane disruption and distal radioulnar joint subluxation | fall from height | Essex Lopresti fracture Archived 2009-10-01 at the Wayback Machine at Wheeless' Textbook of Orthopaedics online | |
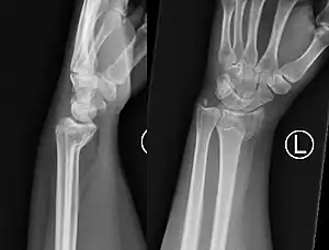
| Galeazzi fracture | Ricardo Galeazzi | radius shaft fracture with dislocation of distal radioulnar joint | blow to forearm | Galeazzi fracture Archived 2017-12-01 at the Wayback Machine at eMedicine |
|
| Gosselin fracture | Leon Athanese Gosselin | V-shaped distal tibia fracture extending into the tibial plafond | Gosselin's fracture Archived 2017-09-08 at the Wayback Machine at TheFreeDictionary.com | ||
| Hangman's fracture | Hangman | fracture of both pedicles of C2 | distraction and extension of neck | Hangman's fracture Archived 2020-09-18 at the Wayback Machine at Wheeless' Textbook of Orthopaedics online | |
| Hill–Sachs fracture | Harold Arthur Hill Maurice David Sachs |
impacted posterior humeral head fracture occurring during anterior shoulder dislocation | Hill Sachs Lesion Archived 2020-09-20 at the Wayback Machine at Wheeless' Textbook of Orthopaedics online |
| |
| Hoffa fracture | Albert Hoffa | ||||
| Holstein–Lewis fracture | Arthur Holstein Gwylim Lewis |
fracture of the distal third of the humerus resulting in entrapment of the radial nerve | Holstein-Lewis fracture Archived 2022-01-29 at the Wayback Machine at Orthopedic Weblinks | ||
| Holdsworth fracture | Sir Frank Wild Holdsworth | unstable spinal fracture-dislocation at the thoracolumbar junction | Thoracic Spine Fractures and Dislocations Archived 2023-02-03 at the Wayback Machine at eMedicine | ||
| Hume fracture | A.C. Hume | olecranon fracture with anterior dislocation of radial head | Ronald McRae, Maxx Esser. Practical Fracture Treatment 5th edition, page 187. Elsevier Health Sciences, 2008. ISBN 978-0-443-06876-8. | ||
| Jefferson fracture | Sir Geoffrey Jefferson | fracture of first cervical vertebra | compression of neck | Jefferson fracture at Who Named It? | |
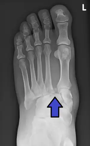
| Jones fracture | Sir Robert Jones | fracture of base of 5th metatarsal extending into intermetatarsal joint | inversion of ankle | Jones fracture Archived 2006-07-02 at the Wayback Machine at Wheeless' Textbook of Orthopaedics online | |
| Le Fort fractures | René Le Fort | series of facial fractures | direct trauma to face | LeFort I at Who Named It? LeFort II at Who Named It? LeFort III at Who Named It? |
|
| Le Fort's fracture of the ankle | Léon Clément Le Fort | vertical fracture of distal fibula with avulsion of medial malleolus | LeFort's fracture of the ankle at Who Named It? | ||
| Lisfranc fracture | Jacques Lisfranc de St. Martin | fracture dislocation of midfoot | forced plantar flexion of foot or dropping heavy weight on foot | Lisfranc fracture at Who Named It? |
|
| Maisonneuve fracture | Jules Germain François Maisonneuve | spiral fracture of proximal fibula | external rotation of ankle | Maisonneuve fracture Archived 2020-09-22 at the Wayback Machine at Wheeless' Textbook of Orthopaedics online | |
| Malgaigne's fracture | Joseph-François Malgaigne | vertical pelvic fracture through both pubic rami and the ilium or sacroiliac joint with vertical displacement | high energy impact to pelvis (front to back) | Malgaigne's fracture Archived 2017-11-02 at the Wayback Machine at TheFreeDictionary.com | |
| March fracture | Marching | stress fracture of a metatarsal shaft | heavy or unaccustomed exercise | Metatarsal Stress Fracture Archived 2022-12-08 at the Wayback Machine at eMedicine |
|
| Monteggia fracture | Giovanni Battista Monteggia | proximal ulna fracture with dislocation of radial head | blow to forearm | Monteggia fracture at Who Named It? |
|
| Moore's fracture | Edward Mott Moore | distal radius fracture with ulnar dislocation and entrapment of styloid process under annular ligament | Moore's fracture Archived 2016-03-03 at the Wayback Machine at TheFreeDictionary.com | ||
| Pipkin fracture-dislocation | G. Pipkin | posterior dislocation of hip with avulsion fracture of fragment of femoral head by the ligamentum teres | impact to the knee with the hip flexed (dashboard injury) | Type II-V: Posterior Fracture Dislocations Archived 2020-09-18 at the Wayback Machine at Wheeless' Textbook of Orthopaedics online | |
| Pott's fracture[5] | Percival Pott | bimalleolar fracture of the ankle | eversion of ankle | Pott's fracture at Who Named It? | |
| Rolando fracture | Silvio Rolando | intra articular comminuted fracture of base of first metacarpal | axial load along the metacarpal causing splitting of the proximal articular surface | Rolando's fracture Archived 2020-09-18 at the Wayback Machine at Wheeless' Textbook of Orthopaedics online |
|
| Runner's fracture | Running | stress fracture of distal fibula 3–8 cm above the lateral malleolus | repeated axial stress on fibula | Google books result Archived 2023-07-01 at the Wayback Machine Marko Pećina, Ivan Bojanić. Overuse injuries of the Musculoskeletal System, page 331. Informa Health Care, 2004. ISBN 978-0-8493-1428-5. | |
| Salter–Harris fracture | R.B. Salter, W.R. Harris[6] | fractures involving a growth plate | various | Salter–Harris fractures Archived 2019-03-29 at the Wayback Machine at Medscape | |
| Segond fracture | Paul Segond | lateral tibial plateau avulsion fracture with anterior cruciate ligament tear | Segond fracture at Who Named It? | ||
| Shepherd's fracture | Francis J. Shepherd | fracture of the lateral tubercle of the posterior process of the talus | Shepherd's fracture Archived 2016-03-03 at the Wayback Machine at Mondofacto online medical dictionary | ||
| Smith's fracture | Robert William Smith | distal radius fracture with volar displacement | fall on outstretched hand with wrist in flexed position | Smith's fracture at Who Named It? |
|
| Stieda fracture | Alfred Stieda | avulsion fracture of the medial femoral condyle at the origin of the medial collateral ligament | Stieda's fracture Archived 2022-05-17 at the Wayback Machine at TheFreeDictionary.com | ||
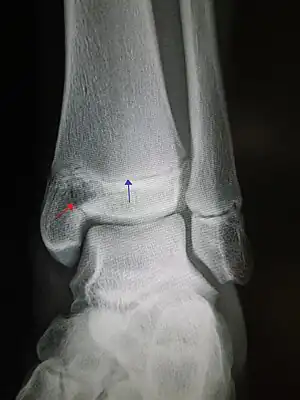
| Tillaux fracture | Paul Jules Tillaux | Salter–Harris III fracture of the tibia | forced lateral rotation of foot | Tillaux fracture at Who Named It? |
|
| Toddler's fracture | Toddlers | undisplaced spiral fracture of distal tibia in children under 8 years old | low-energy trauma, often rotational | The toddler's fracture revisited Archived 2016-03-03 at the Wayback Machine at Wheeless' Textbook of Orthopaedics online |
|
| Wagstaffe–Le Fort avulsion fracture | Léon Clément Le Fort |
Notes
- ↑ Martel, José; Bueno, Angel (2008). "Appendix A. Fractures with names". In Pope, Thomas; Bloem, Hans L.; Beltran, Javier; Morrison, William B.; John, David (eds.). Musculoskeletal Imaging (2nd ed.). Philadelphia: Elsevier. pp. 1232–1231. ISBN 978-1-4557-0813-0. Archived from the original on 2023-07-01. Retrieved 2023-06-04.
- ↑ 2.0 2.1 2.2 Hunter, Tim B.; Peltier, Leonard F.; Lund, Pamela J. (1 May 2000). "Radiologic History Exhibit". RadioGraphics. pp. 819–836. doi:10.1148/radiographics.20.3.g00ma20819. Archived from the original on 16 September 2022. Retrieved 16 September 2022.
- ↑ Major, Nancy M.; Anderson, Mark W. (2020). "10. Shoulder". Musculoskeletal MRI. Philadelphia: Elsevier. pp. 218–219. ISBN 978-0-323-415606. Archived from the original on 2023-07-01. Retrieved 2023-03-25.
- ↑ also known as Hutchinson's fracture
- ↑ also known as Dupuytren's fracture
- ↑ Injuries involving the epiphyseal plate. RB Salter, WR Harris. JBJS (1963) 45: 587–632.



.png)





















