Keratocyst
| Keratocyst | |
|---|---|
![]() | |
| Cutaneous Keratocyst | |
| Specialty | Dermatology |
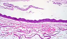
A keratocyst is a type of cutaneous cyst. They appear similar to epidermoid cysts; however, are not limited to a specified location on the body. Keratocyst are most often reported in persons with nevoid basal cell carcinoma syndrome.[1]
Pathology
Keratocysts have a stratified squamous epithelial wall without sebaceous lobules.[2]
See also
References
- ↑ Rapini, Ronald P.; Bolognia, Jean L.; Jorizzo, Joseph L. (2007). Dermatology: 2-Volume Set. St. Louis: Mosby. p. 1686. ISBN 978-1-4160-2999-1.
- ↑ Cassarino DS; Linden KG; Barr RJ (2005). Cutaneous keratocyst arising independently of the nevoid basal cell carcinoma syndrome. Am J Dermatopathol. pp. 27:177–178.
_(2405421689).jpg)