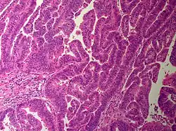
Intraductal papillary neoplasm of the bile duct

Intraductal papillary neoplasm of the bile duct
Other namesIntraductal papillary biliary neoplasm
SpecialtyOncology

Intraductal papillary neoplasm of the bile duct, also known as intraductal papillary biliary neoplasm, is a rare type of liver cancer.[1]

References

  1. World Cancer Report 2014. World Health Organization. 2014. pp. Chapter 5.6. ISBN 978-9283204299.