Hepatic capillariasis
| Hepatic capillariasis | |
|---|---|
| Other names: Capillaria hepatica hepatitis;[1] hepatic capillariasis infection[2][3] | |
![]() ![]() | |
| Specialty | Infectious disease |
| Symptoms | Fever , abdominal pain[4] |
| Causes | C. hepatica[4] |
| Diagnostic method | Liver tissue biopsy[4] |
| Differential diagnosis | Amoebic liver abscess,Visceral larva migrans [5] |
| Treatment | Antiparasitic medications[4] |
Hepatic capillariasis is a parasitic infection caused by the nematode Capillaria hepatica. This parasite can occasionally infect humans leading to liver damage, as the adult worms lay eggs within the liver, this causes inflammation.[2][6]
Humans get the infection by ingesting embryonated eggs via contaminated food, or water. Symptoms include fever, hepatomegaly, and eosinophilia Diagnosis is made through liver biopsy, and treatment involves antiparasitic medications and steroids.[6]
Signs and symptoms
In terms of the presentation we find that the following is observed:[2][6]
- Fever
- Jaundice
- Hepatomegaly
Complications
As to the complications we find that chronic inflammation and the deposition of eggs can lead to the formation of scar tissue in the liver, which can progress to cirrhosis, that impairs liver function. In severe cases liver failure can occur[7][4]
Cause
Capillaria hepatica is a parasitic nematode which causes hepatic capillariasis in numerous mammal species, including humans.[8]
The life cycle of C. hepatica may be completed in a single host species. However, the eggs, which are laid in the liver, most mature outside of the host body prior to infecting a new host.[8]
-
Capillaria hepatica tissue -
C. hepatica
Mechanism
Humans get infected by ingesting embryonated C. hepatica eggs, often via contaminated food, water. After ingestion, the embryonated eggs hatch in the small intestine, releasing larvae. These larvae then penetrate the intestinal wall and migrate via the portal vein to liver. Within the liver parenchyma, the larvae mature into adult worms over a period of one month[6][2]
The immune system tries to partition the foreign parasitic material by forming granulomas; collections of immune cells, macrophages, eosinophils, lymphocytes, surround the eggs. There is a increase in eosinophils in the peripheral blood and within the liver tissue . The inflammatory process and the physical presence of eggs/worms lead to diffuse necrosis of liver cells. This in turn leads to chronic inflammation and deposition of collagen fibers, causing septal fibrosis and, maybe leading to liver cirrhosis[9][1][2][10][11]
Diagnosis
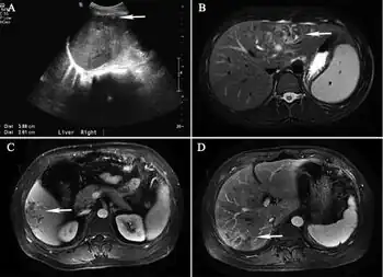
As to the diagnosis of Hepatic capillariasis the epidemiological history, and clinical manifestations, are taken into account as well as:[4]
- Ultrasound
- MRI
- Liver tissue biopsy
Differential diagnosis

As to the DDx in Hepatic capillariasis we find the following:[5]
- Visceral larva migrans
- Amoebic liver abscess
- Strongyloides stercoralis
Treatment
In terms of treatment, hepatic capillariasis requires a combination of management strategies:[2][12]
- Antiparasitic drug(albendazole or mebendazole)
- Corticosteroids
- Supportive care
Epidemiology
In terms of the geographic distribution of C. hepatica we find it is located worldwide in wildlife populations.Human cases have been reported from all continents except for Australia.[13][2][6]
Human cases have been reported from North America, Central America, and South America(Brazil, Mexico, US), Asia(India, Japan, Korea, China), Europe(Italy, Germany, Czechoslovakia, England), and Africa (South Africa, Nigeria, Ivory Coast).The true incidence of human cases may be underestimated due to its diagnostic challenges.[14][2]
History

Hepatic capillariasis was discovered by Dr Thomas Bancroft in 1893.[15]
While the parasite itself was identified in 1893, the first documented case of human hepatic capillariasis was described by MacArthur in 1924[16]
Research
Recent research is exploring the host immune response to Capillaria hepatica infection. Studies have investigated the role of PD-1/PD-L2 signaling and alternatively activated macrophages in determining the immune response and liver pathology, which could lead to new therapeutic targets to modulate the inflammatory response.[17]
See also
Notes
- 1.^ Case report (PubMed indexed)
References
- ↑ "MedGen - NCBI /Concept Id". www.ncbi.nlm.nih.gov.
- ↑ 2.0 2.1 2.2 2.3 2.4 2.5 2.6 2.7 "CDC - DPDx - Hepatic Capillariasis". www.cdc.gov. 1 October 2019. Retrieved 4 June 2025.
- ↑ Camargo, Luis Marcelo Aranha; de Souza Almeida Aranha Camargo, Juliana; Vera, Luana Janaina de Souza; di Tarique Crispim Barreto, Pedro; Tourinho, Eudes Kang; de Souza, Marcia Maria (26 February 2010). "Capillariaisis (Trichurida, Trichinellidae, Capillaria hepatica) in the Brazilian Amazon: low pathogenicity, low infectivity and a novel mode of transmission". Parasites & Vectors. 3 (1): 11. doi:10.1186/1756-3305-3-11. ISSN 1756-3305. Archived from the original on 2025-06-12. Retrieved 2025-09-18.
{{cite journal}}: CS1 maint: unflagged free DOI (link) - ↑ 4.0 4.1 4.2 4.3 4.4 4.5 4.6 Wang, Lei; Zhang, Yalan; Deng, Yan; Li, Xiaoli; Zheng, Xiaoyan; Wang, Fei; Zou, Yang (2019). "Clinical and laboratory characterizations of hepatic capillariasis". Acta Tropica. 193. Elsevier BV: 206–210. doi:10.1016/j.actatropica.2019.01.023. ISSN 0001-706X. PMID 30710532.
- ↑ 5.0 5.1 Saxena, Romil (2 February 2017). Practical Hepatic Pathology: A Diagnostic Approach E-Book: A Volume in the Pattern Recognition Series. Elsevier Health Sciences. p. 277. ISBN 978-0-323-44285-5. Retrieved 21 June 2025.
- ↑ 6.0 6.1 6.2 6.3 6.4 "About Capillariasis". Centers for Disease Control and Prevention. 4 September 2024. Archived from the original on 19 June 2025. Retrieved 18 September 2025.
- ↑ Tapper, Elliot B.; Parikh, Neehar D. (9 May 2023). "Diagnosis and Management of Cirrhosis and Its Complications: A Review". JAMA. 329 (18): 1589–1602. doi:10.1001/jama.2023.5997. ISSN 0098-7484. PMC 10843851. PMID 37159031.
- ↑ 8.0 8.1 "Parasites and Health: Capillariasis". Center for Disease Control. Archived from the original on 9 February 2015. Retrieved 14 September 2011.
- ↑ Wang, Z. Q.; Cui, J.; Wang, Y. (September 2011). "Persistent febrile hepatomegaly with eosinophilia due to hepatic capillariasis in Central China". Annals of Tropical Medicine and Parasitology. 105 (6): 469–472. doi:10.1179/1364859411Y.0000000035. ISSN 1364-8594. PMC 4100308. PMID 22117857.
- ↑ Dubey, Abhishek; Bagchi, Antara; Sharma, Disha; Dey, Amit; Nandy, Kunal; Sharma, Rajaram (2018). "Hepatic Capillariasis- Drug Targets". Infectious Disorders Drug Targets. 18 (1): 3–10. doi:10.2174/1871526517666170427124254. ISSN 2212-3989. PMID 28460612.
- ↑ "Hepatic Granulomas - Hepatic and Biliary Disorders". Merck Manual Professional Edition. Retrieved 20 June 2025.
- ↑ "Clinical Care of Capillariasis". Parasites - Capillariasis. 16 February 2024. Archived from the original on 14 June 2025. Retrieved 20 June 2025.
- ↑ Manor, Uri; Doviner, Victoria; Kolodziejek, Jolanta; Weidinger, Pia; Dagan, Amir; Ben-Haim, Menahem; Rokah, Merav; Nowotny, Norbert; Boleslavsky, Daniel (17 May 2021). "Capillaria hepatica (syn. Calodium hepaticum) as a Cause of Asymptomatic Liver Mass". The American Journal of Tropical Medicine and Hygiene. 105 (1): 204–206. doi:10.4269/ajtmh.21-0120. ISSN 1476-1645. PMC 8274773. PMID 33999846.
- ↑ Fuehrer, Hans-Peter; Igel, Petra; Auer, Herbert (October 2011). "Capillaria hepatica in man--an overview of hepatic capillariosis and spurious infections". Parasitology Research. 109 (4): 969–979. doi:10.1007/s00436-011-2494-1. ISSN 1432-1955. PMID 21717279. Archived from the original on 2022-08-13. Retrieved 2025-06-08.
- ↑ Bancroft, Thomas L.; Bancroft, Thomas L. (1893). "On the whip-worm of the rat's liver". Journal and Proceedings of the Royal Society of New South Wales. 27: 86––90. doi:10.5962/p.359144. Archived from the original on 2025-05-03. Retrieved 2025-06-11.
- ↑ "Proceedings of the Royal Society of Medicine 1924: Vol 17 Iss 3 : Free Download, Borrow, and Streaming : Internet Archive". Internet Archive. 2016-10-23. Retrieved 2025-06-19.
- ↑ Huang, Minjun; Li, Xiaoli; Zheng, Xiaoyan; Wang, Fei; Zou, Yang; Wang, Lei (6 January 2023). "PD-L2 Blockade Exacerbates Liver Lesion in Mice Infected with Capillaria hepatica through Reducing Alternatively Activated Macrophages". Tropical Medicine and Infectious Disease. 8 (1): 46. doi:10.3390/tropicalmed8010046. ISSN 2414-6366. PMC 9866821. PMID 36668953.
Further reading
- Pal, Mahendra; Gutama, Kirubel Paulos (1 January 2024). "Capillariasis as an Emerging Foodborne Helminthic Disease". Encyclopedia of Food Safety (Second ed.). Academic Press. pp. 556–563. ISBN 978-0-12-822520-2.
- Williams, Samuel (2001). Samuel, William M.; Pybus, Margo J.; Kocan, A. Alan (eds.). Parasitic diseases of wild mammals (2nd ed.). Ames: Iowa State University Press. doi:10.1002/9780470377000. ISBN 9780470377000. Archived from the original on 16 January 2024. Retrieved 4 June 2025.

