Capillariasis
| Capillariasis | |
|---|---|
![]() | |
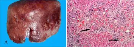
| a,b)Hepatic capillariasis | |
| Specialty | Infectious diseases |
Capillariasis is a parasitic disease caused by nematodes (roundworms) of the genus Capillaria. It affects the intestines and liver. The most common form, is intestinal capillariasis[1][2] The two principal forms of the disease are:
- Intestinal capillariasis, caused by Capillaria philippinensis[3]
- Hepatic capillariasis, caused by Capillaria hepatica[4]

References
- ↑ "About Capillariasis". Capillariasis. 4 September 2024. Archived from the original on 19 June 2025. Retrieved 25 June 2025.
- ↑ Berger SA, Marr JS. Human Parasitic Diseases Sourcebook. Jones and Bartlett Publishers: Sudbury, Massachusetts, 2006.
- ↑ "CDC - DPDx - Intestinal Capillariasis". www.cdc.gov. 14 February 2020. Archived from the original on 11 June 2025. Retrieved 25 June 2025.
- ↑ "CDC - DPDx - Hepatic Capillariasis". www.cdc.gov. 1 October 2019. Retrieved 25 June 2025.
Further reading
- Limsrivilai, Julajak; Pongprasobchai, Supot; Apisarnthanarak, Piyaporn; Manatsathit, Sathaporn (10 December 2014). "Intestinal capillariasis in the 21stcentury: clinical presentations and role of endoscopy and imaging". BMC Gastroenterology. 14 (1): 207. doi:10.1186/s12876-014-0207-9. ISSN 1471-230X. Archived from the original on 21 January 2021. Retrieved 8 June 2025.
{{cite journal}}: CS1 maint: unflagged free DOI (link)
