Goblet cell carcinoid
| Goblet cell carcinoid | |
|---|---|
| Other names | Crypt cell carcinoma, neuroendocrine tumour with goblet cell differentiation |
![]() | |
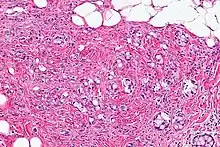
| Micrograph showing a goblet cell carcinoid. H&E stain. | |
The goblet cell carcinoid (GCC) is a rare biphasic gastrointestinal tract tumour that consists of a neuroendocrine component and a conventional carcinoma, histologically arising from Paneth cells.[1]
Sign and symptoms
GCCs may present as appendicitis.
Diagnosis

GCCs are diagnosed by pathology. They have a characteristic biphasic appearance which includes (1) goblet cell-like cells, and (2) neuroendocrine-type nuclear chromatin (stippled chromatin).
Prognosis
GCCs have an aggressive course compared to other appendiceal neuroendocrine tumours.[1]
Treatment
GCCs are treated with surgery.
See also
References
- 1 2 van Eeden S, Offerhaus GJ, Hart AA, et al. (December 2007). "Goblet cell carcinoid of the appendix: a specific type of carcinoma". Histopathology. 51 (6): 763–73. doi:10.1111/j.1365-2559.2007.02883.x. PMID 18042066.
External links
Wikimedia Commons has media related to Goblet cell carcinoid.
