Feathery degeneration

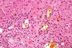
In histopathology, feathery degeneration, formally feathery degeneration of hepatocytes, is a form of liver parenchymal cell (i.e. hepatocyte) death associated with cholestasis.[1]
Cells undergoing this form of cell death have a flocculant appearing cytoplasm,[2] and are larger than normal hepatocytes.
Relation to ballooning degeneration
Feathery degeneration is somewhat similar in appearance to ballooning degeneration, which is due to other causes (e.g. alcohol, obesity); it also has cytoplasmic clearing and cell swelling.
See also
Additional images
Feathery degeneration. H&E stain.
References
- ↑ Desmet, VJ (1995). "Histopathology of cholestasis". Verh Dtsch Ges Pathol. 79: 233–40. PMID 8600686.
- ↑ Li, MK; Crawford, JM (Feb 2004). "The pathology of cholestasis". Semin Liver Dis. 24 (1): 21–42. doi:10.1055/s-2004-823099. PMID 15085484.