Dorsal pancreatic agenesis
| Dorsal pancreatic agenesis | |
|---|---|
![]() | |
| Embryonic development of pancreas. Showing the dorsal rotation and fusion of ventral bud with dorsal bud during the sixth and seventh week of gestation. |
Dorsal pancreatic agenesis is a congenital anomaly characterised by the absence of the duct of Santorini, tail and body of the pancreas.[1] It is regarded as asymptomatic and the most common clinical manifestation is non-specific abdominal pain.[2] While the cause is unclear, its mechanism is thought to be impaired dorsal buds or mutation of genes that regulate organogenesis during embryogenesis.[1]
Early diagnostic methods are laparotomy and autopsy.[1] Endoscopic retrograde cholangiopancreatography (ERCP) and computed tomography scan (CT scan) are combined for diagnosis of this agenesis in recent years.[1][3] No specific medications are needed for relieving symptoms, but pancreatic enzymes capsule and insulin are prescribed.[4]
Scholars have studied several transcription factors and proteins that can manipulate pancreatic growth and related to dorsal pancreatic agenesis.[5][6] This malformation is associated with other pancreatic disorders including pancreatitis and pancreatic tumors.[2][7] Also, patients with this dysgenesis are usually accompanied with pancreatic exocrine dysfunction such as diabetes mellitus.
The prevalence and geographical pattern are unknown.[2] First reported in 1911 by Heiberg in an autopsy.[2]
Signs and symptoms
The agenesis of the dorsal pancreas is asymptomatic in most cases due to the functional reserves of exocrine and endocrine pancreas.[1][7] Thereby it is often diagnosed incidentally by autopsy, surgery, endoscopy, or imaging technologies during evaluation of other diseases.[3][7] Some common indicators reported by patients include abdominal pain, weight loss, and jaundice.[7] Abdominal pain could be associated with acute or chronic pancreatitis, pancreatic tumor, diabetic autonomic neuropathy; and weight loss can also be due to diabetes mellitus in some patients.[1][8]
The localisation of abdominal pain is at epigastrium and aggregates after meals.[8] The two possible reasons for abdominal pain include the underdevelopment of the papillary muscle of the sphincter of Oddi or the autonomic neuropathy due to diabetes mellitus.[1][8] Dorsal pancreatic agenesis is associated with diabetes mellitus because the β cells in the islets of Langerhans are present in the pancreatic body and tail, which are both absent in agenesis of the dorsal pancreas. Patients with dorsal pancreatic agenesis may result in a defect in the metabolism of hepatic glycogen, which may be related to the reduced β cell mass.[7]
Associated conditions
Pancreatitis
Pancreatitis is a common disorder associated with dorsal pancreatic agenesis. However, it is unclear whether the high occurrence of pancreatitis is due to repetitive imaging procedures or whether it is a comorbidity of agenesis.[7]
Diabetes mellitus
Diabetes mellitus is an endocrine disease that is due to insufficient amount of insulin produced by the pancreas, and it is another common disease linked with dorsal pancreatic agenesis.[3] Insulin is produced by the β cells of the islet of Langerhans in the dorsal pancreas. In patients with agenesis of the dorsal pancreas, the amount of β cells are reduced thus leading to a high possibility of causing diabetes mellitus.[7][3]
Pancreatic tumors
Tumors can also be associated with dorsal pancreatic agenesis. Reported pancreatic tumors include solid papillary, solid pseudopapillary tumors, adenocarcinomas, and intraductal papillary mucinous neoplasms (IPMN).[1]
Organ malfunction
Organ malfunction is also associated with dorsal pancreatic agenesis. Disorders such as polycystic kidney disease, Kartagener syndrome, multiple splenic deformities, congenital choledochal cysts, and biliary atresia have been reported.[4]
Cause
There is no suggested cause for the dorsal pancreatic agenesis, however there are several hypotheses for the underlying mechanism.[1][9] As the dorsal pancreatic bud is the ancestor for the majority of pancreas, one possible explanation to this rare anomaly is the dorsal mesentery ischemia which induces the dysgenesis of pancreas.[1] In spite of the unknown molecular mechanism, some scholars have speculated the mode of inheritance of this agenesis, which is autosomal-dominant or X-linked disease.[9][10]
Genetics
Scientists have demonstrated a wide spectrum of genes that can manipulate and regulate the embryonic pancreatic development by in vivo animal study. The formation of dorsal and ventral buds is reliant on the interaction of transcription factors, for instance the Pax4, Pax6 and Ptf1a.[1][5] By expressing sonic hedgehog (Shh) or Indian hedgehog (Ihh), the growth of both dorsal and ventral buds from the foregut endoderm is repressed to a large extent, inhibition of Shh or Ihh signaling pathway favor the pancreatic development.[6] The Homeodomain protein HB9 (Hlxb9) is critical for the formation of the dorsal bud, however it is not significant to the ventral bud. Another homeodomain protein, PDX1 (also known as Ipf-1 insulin promoter factor 1) is the initiator of buds expression, genetic mutation on gene Ipf-1 can lead to pancreatic agenesis.[1][9] Also, both heterozygous and homozygous variant of PDX1 can cause dysgenesis of pancreas and neonatal diabetes.[11]
CDH2 (CD352) gene encoded Neural-cadherin (N-cadherin) is identified to have an active role in recruiting dorsal pancreatic mesenchyme for pancreatic morphogenesis, depletion of N-cadherin in mice can lead to the apoptosis of dorsal pancreatic mesenchyme cells.[12] Moreover, research suggests that retinoid acid is significant for the development of pancreas as the deficiency of retinoid acid can induce dorsal pancreatic agenesis in mice.[13]
Embryonic development of pancreas
The pancreas is responsible for secreting various enzymes for most digestion. It is a retroperitoneal organ posterior to the great curvature of the stomach. Its anterior surface is covered by the parietal peritoneum while the posterior surface contacts the aorta as well as other viscera on the left posterior body wall. Its 15 cm entity is divided into three parts, a globular head attached to the right side of duodenum, a long body, and a blunt head.[14] In embryonic development, the pancreas is formed by the convergence of the two pancreatic buds (dorsal and ventral) during the sixth and seventh week of gestation, but the development of these two buds is initiated at about week 4.[14] During the gestation phase which takes place at week 4, the dorsal bud develops from the dorsal mesentery, and form the body and tail of the pancreas. Meanwhile, the ventral bud arises inferior to form the head of the pancreas.[1] Two weeks later, the ventral bud will rotate dorsally and fuse with the dorsal bud to form the pancreas. The fusion of the duct happened at the same time, to form the duct of Wirsung and the duct of Santorini.[15] Any deviation from the normal pancreatic embryogenesis process can potentially leads to congenital malformation of the pancreas. Among all anomalies, Pancreatic Divisum is the most prevalent one, followed by Pancreatic Heterotopia.[1][7] In comparison, a complete agenesis of dorsal pancreas is rare and often associated with infant mortality.[1]
The agenesis of dorsal pancreas can be classified into two classes based on the morphological features: complete and partial agenesis. For the former one, the accessory pancreatic duct (also known as duct of Santorini) as well as the body and tail of the pancreas are missing.[1] For partial agenesis, the tail of the pancreas is still present.[1]
Diagnosis

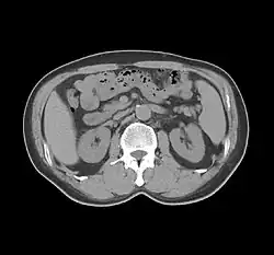
Dorsal pancreatic agenesis with advancement in modern day technology, is currently diagnosed with the following imaging technologies, and sometimes a combination of these methods.
_CRUK_001.svg.png)
- Endoscopic retrograde cholangiopancreatography (ERCP). An invasive, operator-dependent gold standard for diagnosis. It presents the pancreatic duct; the absence or presence of the dorsal ductal system and the minor papilla can be used to indicate dorsal pancreatic agenesis.[1]
- Magnetic resonance cholangiopancreatography (MRCP). A non-invasive, accurate type of MRI to depict the major and accessory pancreatic ducts.[1][3]
- Magnetic resonance imaging (MRI). A non-invasive, non-radiation exposed method that can be used to identify the morphological structure of the pancreas.[16]
- Computed Tomography (CT). A non-invasive method to diagnose dorsal pancreatic agenesis by an absence of pancreatic tissue ventral to the splenic vein.[1]
- Stomach/intestine sign. Can be used to distinguish dorsal pancreatic agenesis from distal pancreatic lipomatosis.[1]
- Transabdominal Ultrasound (US). The diagnostic ability depends on pancreatic bowel gas or the patient's body habitus.[1]
Agenesis of dorsal pancreas has to be differentiated with pancreatic fat infiltration, chronic pancreatitis and atrophy of pancreatic body and tail.[4] The absence of pancreatic body and tail is the usual manifestation of dorsal pancreatic agenesis, the density and morphological features of the pancreatic head should be either normal or slightly enlarged due to compensation of the absent body and tail.[4]
Stomach/intestine sign can combine with CT for better diagnosis. Since dorsal pancreatic agenesis can be at times complicated with pancreatic tumors, CT is a visualisation tool that can be used to exclude both pancreatic tumors and abdominal tumors, which allows for improved observation.[1]
Management
Vast majority of dorsal pancreatic agenesis cases are diagnosed incidentally and asymptomatic, hence there is no special medication for dorsal pancreatic agenesis.[1][7][17]
Medication
1. Pancreatic enteric-coated capsules. A proposed study suggested dorsal pancreatic agenesis patients show Exocrine Pancreatic Insufficiency (EPI) related symptoms.[4] Oral administration of pancreatic enzymes, including lipase, protease and amylase is useful for relieving EPI related symptoms. In addition, pay attention to drugs that may interact with pancreatic enzymes such as Acarbose and Miglitol.[18]
2. Exogenous insulin. Patients with dorsal pancreatic agenesis have lost the tail of pancreas which contain the Islet of Langerhan for insulin production. Therefore, exogenous insulin can be used to treat the accompanied Diabetes Mellitus.[4]
History
Dorsal pancreatic agenesis is an extremely rare disease, there are only about 100 cases reported so far and no association discovered between a specific geographical location and disease prevalence.[2] First reported in 1911 by Heiberg in an autopsy.[2] The patient was diagnosed with diabetes mellitus and associated with pulmonary tuberculosis, the observed morphology of pancreatic head was described as "large and thick".[7] Two years later, the second case was reported by Ghon and Roman (1913).[7]
References
- 1 2 3 4 5 6 7 8 9 10 11 12 13 14 15 16 17 18 19 20 21 22 23 24 Sakpal, Sujit Vijay; Sexcius, Lucretia; Babel, Nitin; Chamberlain, Ronald Scott (May 2009). "Agenesis of the Dorsal Pancreas and Its Association With Pancreatic Tumors". Pancreas. 38 (4): 367–373. doi:10.1097/MPA.0b013e318196c401. ISSN 0885-3177. PMID 19390403.
- 1 2 3 4 5 6 A.-Cienfuegos, Javier; Rotellar, Fernando; Salguero, Joseba; Benito, Alberto; Solórzano, José Luis; Sangro, Bruno (2016). "Agenesis of the dorsal pancreas: systematic review of a clinical challenge". Revista Española de Enfermedades Digestivas. 108 (8): 479–484. doi:10.17235/reed.2016.4474/2016. ISSN 1130-0108. PMID 27468966.
- 1 2 3 4 5 Zhong, Jin Wei; Yu, Ling Min; Ying, Qing Ji; Peng, Wen Wen; Xu, Chang Zhao; Cai, Zhen Zhai; Xue, Zhan Xiong; Zhou, Yu Hui (May 2020). "Performance of endoscopic ultrasound for diagnosis of agenesis of the dorsal pancreas: a case report". Journal of International Medical Research. 48 (5): 030006051988414. doi:10.1177/0300060519884148. ISSN 0300-0605. PMC 7265568. PMID 31680602.
- 1 2 3 4 5 6 Mei, Wentong; Cao, Feng; Li, Fei (December 2020). "Two cases of agenesis of the dorsal pancreas and a review of the literature". BMC Gastroenterology. 20 (1): 94. doi:10.1186/s12876-020-01245-8. ISSN 1471-230X. PMC 7137410. PMID 32252649.
- 1 2 Edlund, H. (December 1998). "Transcribing pancreas". Diabetes. 47 (12): 1817–1823. doi:10.2337/diabetes.47.12.1817. ISSN 0012-1797. PMID 9836511.
- 1 2 Hebrok, Matthias; Kim, Seung K.; St-Jacques, Benoit; McMahon, Andrew P.; Melton, Douglas A. (2000-11-15). "Regulation of pancreas development by hedgehog signaling". Development. 127 (22): 4905–4913. doi:10.1242/dev.127.22.4905. ISSN 0950-1991. PMID 11044404.
- 1 2 3 4 5 6 7 8 9 10 11 Schnedl, Wolfgang J.; Piswanger-Soelkner, Claudia; Wallner, Sandra J.; Reittner, Pia; Krause, Robert; Lipp, Rainer W.; Hohmeier, Hans E. (March 2009). "Agenesis of the Dorsal Pancreas and Associated Diseases". Digestive Diseases and Sciences. 54 (3): 481–487. doi:10.1007/s10620-008-0370-3. ISSN 0163-2116. PMID 18618254.
- 1 2 3 Thakur, Shruti; Jhobta, Anupam; Sharma, Dinesh; Thakur, Charu S (May 2014). "MR in complete dorsal pancreatic agenesis: Case report and review of literature". Indian Journal of Radiology and Imaging. 24 (2): 156–159. doi:10.4103/0971-3026.134401. ISSN 0971-3026. PMC 4094968. PMID 25024525.
- 1 2 3 Ashraf, Ambika; Abdullatif, Hussein; Hardin, William; Moates, J Michael (December 2005). "Unusual case of neonatal diabetes mellitus due to congenital pancreas agenesis". Pediatric Diabetes. 6 (4): 239–243. doi:10.1111/j.1399-543X.2005.00114.x. ISSN 1399-543X. PMID 16390394.
- ↑ Wildling, Reinhard; Schnedl, Wolfgang J.; Reisinger, Emil C.; Schreiber, Florian; Lipp, Rainer W.; Lederer, Adolf; Krejs, Guenter J. (April 1993). "Agenesis of the dorsal pancreas in a woman with diabetes mellitus and in both of her sons". Gastroenterology. 104 (4): 1182–1186. doi:10.1016/0016-5085(93)90290-S. PMID 8462806.
- ↑ Caetano, L.A.; Santana, L.S.; Costa-Riquetto, A.D.; Lerario, A.M.; Nery, M.; Nogueira, G.F.; Ortega, C.D.; Rocha, M.S.; Jorge, A.A.L.; Teles, M.G. (February 2018). "PDX1 - MODY and dorsal pancreatic agenesis: New phenotype of a rare disease". Clinical Genetics. 93 (2): 382–386. doi:10.1111/cge.13044. hdl:2027.42/142027. ISSN 0009-9163. PMID 28436541.
- ↑ Esni, Farzad; Johansson, Bengt R.; Radice, Glenn L.; Semb, Henrik (October 2001). "Dorsal Pancreas Agenesis in N-Cadherin- Deficient Mice". Developmental Biology. 238 (1): 202–212. doi:10.1006/dbio.2001.0405. ISSN 0012-1606. PMID 11784004.
- ↑ Martín, Mercè; Gallego-Llamas, Jabier; Ribes, Vanessa; Kedinger, Michèle; Niederreither, Karen; Chambon, Pierre; Dollé, Pascal; Gradwohl, Gérard (August 2005). "Dorsal pancreas agenesis in retinoic acid-deficient Raldh2 mutant mice". Developmental Biology. 284 (2): 399–411. doi:10.1016/j.ydbio.2005.05.035. PMID 16026781.
- 1 2 Saladin, Kenneth S.; Gan, Christina A.; Cushman, Heather N. (2021). Anatomy & physiology: the unity of form and function (Ninth ed.). New York, NY: McGraw-Hill Education. ISBN 978-1-260-57129-5. OCLC 1183718219.
- ↑ Henry, Brandon Michael; Skinningsrud, Bendik; Saganiak, Karolina; Pękala, Przemysław A.; Walocha, Jerzy A.; Tomaszewski, Krzysztof A. (January 2019). "Development of the human pancreas and its vasculature — An integrated review covering anatomical, embryological, histological, and molecular aspects". Annals of Anatomy - Anatomischer Anzeiger. 221: 115–124. doi:10.1016/j.aanat.2018.09.008. PMID 30300687.
- ↑ Helmberger, Thomas K.; Manfredi, Riccardo (2018), Hodler, Juerg; Kubik-Huch, Rahel A.; von Schulthess, Gustav K. (eds.), "Diseases of the Pancreas", Diseases of the Abdomen and Pelvis 2018-2021, Cham: Springer International Publishing, pp. 145–156, doi:10.1007/978-3-319-75019-4_14, ISBN 978-3-319-75018-7, PMID 31314365
- ↑ Dhakal, Binaya; Pant, Sujit; Choudhary, Saroj; Basnet, Bina; Neupane, Shanta (June 2023). "Dorsal pancreatic agenesis: a case report". Annals of Medicine & Surgery. 85 (6): 2949–2952. doi:10.1097/MS9.0000000000000136. ISSN 2049-0801. PMC 10289771. PMID 37363558.
- ↑ "Pancreatic Enzymes Oral: Uses, Side Effects, Interactions, Pictures, Warnings & Dosing - WebMD". www.webmd.com. Retrieved 2024-03-25.
