Central veins of liver
| Central veins of liver | |
|---|---|
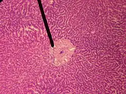
![]() A single lobule of the liver of a pig. X 60. (Central vein not labeled, though region is visible. Central vein would be a single vein at the center of the lobule.) | |
human central vein | |
| Details | |
| Drains from | Liver sinusoid |
| Drains to | Hepatic veins |
| Identifiers | |
| Latin | venae centrales hepatis |
| TA98 | A05.8.01.059 |
| TA2 | 3065 |
| FMA | 71629 |
| Anatomical terminology | |
In microanatomy, the central vein of liver (or central venule)[1] is a vein at the center of each hepatic lobule.[2] It receives the blood mixed in the liver sinusoids to drain it into hepatic veins.[3]
References
- ↑ Anatomy photo: digestive/mammal/liver3/liver2 - Comparative Organology at University of California, Davis
- ↑ "central veins of liver - Dictionnaire médical de l'Académie de Médecine". www.academie-medecine.fr. Retrieved 2024-07-02.
- ↑ "central veins of liver" at Dorland's Medical Dictionary
External links
- Histology image: 15505loa – Histology Learning System at Boston University
- Histology at okstate.edu
- Histology at ntu.edu.tw
- Diagrams at vanderbilt.edu
