Asteroid body

An asteroid body is a microscopic finding seen within the giant cells of granulomas in diseases such as sarcoidosis and foreign-body giant cell reactions.[1]
There is controversy about their composition. Traditionally, they were thought to be cytoskeletal elements and to consist primarily of vimentin.[2] However, more recent research suggested that that was incorrect and that they may be composed of lipids arranged into bilayer membranes.[3]
They were also once thought to be related to centrioles,[4] an organelle involved in cell division in eukaryotes.
See also
- Asteroid
- Centriole
- Schaumann body
- Granulomatous diseases
- Sarcoidosis
Additional images
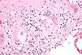
Micrograph of asteroid bodies in pulmonary sarcoidosis. H&E stain.
Micrograph of asteroid bodies in pulmonary sarcoidosis. H&E stain.
Asteroid body in sarcoidosis.
References
- ↑ Cain, H; Kraus, B (Dec 1977). "Asteroid bodies: derivatives of the cytosphere. An electron microscopic contribution to the pathology of the cytocentre". Virchows Archiv B. 26 (2): 119–32. doi:10.1007/BF02889541. PMID 204105. S2CID 104329698.
- ↑ Cain, H; Kraus, B (1983). "Immunofluorescence microscopic demonstration of vimentin filaments in asteroid bodies of sarcoidosis. A comparison with electron microscopic findings". Virchows Archiv B. 42 (2): 213–26. doi:10.1007/BF02890384. PMID 6133393. S2CID 40233107.
- ↑ Papadimitriou, JC; Drachenberg, CB (1992). "Ultrastructural analysis of asteroid bodies: Evidence for membrane lipid bilayer nature of components". Ultrastruct Pathol. 16 (4): 413–421. doi:10.3109/01913129209057826. PMID 1323892.
- ↑ Kirkpatrick, CJ; Curry, A; Bisset, DL (1988). "Light- and electron-microscopic studies on multinucleated giant cells in sarcoid granuloma: new aspects of asteroid and Schaumann bodies". Ultrastruct Pathol. 12 (6): 581–97. doi:10.3109/01913128809056483. PMID 2853474.