Arias-Stella reaction

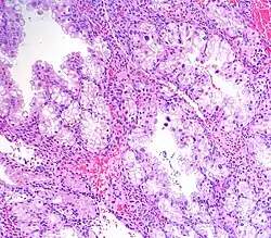
Micrograph showing Arias-Stella reaction in endometrium

Arias-Stella reaction, also Arias-Stella phenomenon, is a benign change in the endometrium associated with the presence of chorionic tissue.[1]

Arias-Stella reaction is due to progesterone primarily. Cytologically, it resembles a malignancy and, historically, it was misdiagnosed as endometrial cancer.[1]

Significance

It is significant only because it can be misdiagnosed as a cancer. It may be seen in a completely normal pregnancy.

Diagnosis

It is characterized by nuclear enlargement and may also have any of the following: an irregular nuclear membrane, granular chromatin, centronuclear vacuolization, and pseudonuclear inclusions.[1]

Five subtypes are recognized:[1]

  1. Minimal atypia.
  2. Early secretory pattern.
  3. Secretory or hypersecretory pattern.
  4. Regenerative, proliferative or nonsecretory pattern.
  5. Monstrous cell pattern.

History

It was first described by Javier Arias Stella, a Peruvian pathologist, in 1954.[2]

See also

Molar ectopic

References

  1. 1 2 3 4 Arias-Stella, J. (Jan 2002). "The Arias-Stella reaction: facts and fancies four decades after". Adv Anat Pathol. 9 (1): 12–23. doi:10.1097/00125480-200201000-00003. PMID 11756756. S2CID 26249687.
  2. Arias-Stella, J. (Aug 1954). "Atypical endometrial changes associated with the presence of chorionic tissue". Arch Pathol. 58 (2): 112–28. PMID 13170908.

Bibliography

  • Textbook of Obstetrics by D.C.Dutta Page no. 180. ISBN 81-7381-142-3