Apoplexy

Apoplexy (from Ancient Greek ἀποπληξία (apoplexia) 'a striking away') refers to the rupture of an internal organ and the associated symptoms. Informally or metaphorically, the term apoplexy is associated with being furious, especially as "apoplectic". Historically, it described what is now known as a hemorrhagic stroke, typically involving a ruptured blood vessel in the brain; modern medicine typically specifies the anatomical location of the bleeding, such as cerebral apoplexy, ovarian apoplexy, or pituitary apoplexy.[1][2][3]
Historical meaning
From the late 14th to the late 19th century, the diagnosis apoplexy referred to any sudden death that began with abrupt loss of consciousness, especially when the victim died within seconds after losing consciousness. The word apoplexy was sometimes used to refer to the symptom of sudden loss of consciousness immediately preceding death. Strokes, ruptured aortic aneurysms, and even heart attacks were referred to as apoplexy in the past, because before the advent of biomedical science, the ability to differentiate abnormal conditions and diseased states was limited. Although physiology, as a medical field, dates back at least to the time of Hippocrates, until the late 19th century, physicians often had inadequate or inaccurate understandings of many of the human body's normal functions and abnormal presentations. Hence, identifying a specific cause of a symptom or of death often proved difficult or impossible.[4][5][6][7][8]
Hemorrhage
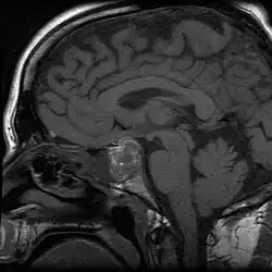
To specify the site of bleeding, the term "apoplexy" is often accompanied by a descriptive adjective. For instance, bleeding within the pituitary gland is termed "pituitary apoplexy", and bleeding within the adrenal glands is referred to as "adrenal apoplexy".[9]
Apoplexy also includes hemorrhaging within the gland and accompanying neurological problems, such as confusion, headache, and impairment of consciousness.[10]
See also
References
- ↑ Stöppler, Melissa Conrad (February 7, 2011). "apoplexy". Oxford English Dictionary (definition of) (OED online ed.). Oxford University Press.
- ↑ "apoplexy". Collins English Dictionary. HarperCollins. 2012. Retrieved May 9, 2022 – via dictionary.reference.com.
- ↑ Coupland, A.P.; Thapar, A.; Qureshi, M.I.; Jenkins, H.; Davies, A.H. (2017). "The definition of 'stroke'". J R Soc Med. 110 (1): 9–12. doi:10.1177/0141076816680121. PMC 5298424. PMID 28084167.
- ↑ Engelhardt, E. (2017). "Apoplexy, cerebrovascular disease, and stroke: Historical evolution of terms and definitions". Dement Neuropsychol. 11 (4): 449–453. doi:10.1590/1980-57642016dn11-040016. PMC 5770005. PMID 29354227.
- ↑ Bauer, M.; Lang, C.; Patzelt, D. (2001). "Sudden death due to pituitary apoplexy". Leg Med (Tokyo). 3 (3): 183–186. doi:10.1016/s1344-6223(01)00026-8. PMID 12935525.
- ↑ Schutta, H.S.; Howe, H.M. (2006). "Seventeenth century concepts of "apoplexy" as reflected in Bonet's "sepulchretum"". J Hist Neurosci. 15 (3): 250–268. doi:10.1080/09647040500403312.
- ↑ Lidell, J.A. (1873). A treatise on apoplexy, cerebral hemorrhage, cerebral embolism, cerebral gout, cerebral rheumatism, and epidemic cerebro-spinal meningitis. New York, NY: W. Wood & Company.
- ↑ Kleisiaris, C.F.; Sfakianakis, C.; Papathanasiou, I.V. (2014). "Health care practices in ancient Greece: The Hippocratic ideal". J Med Ethics Hist Med. 7: 6. PMC 4263393. PMID 25512827.
- ↑ Bashari, W.A.; Myint, Y.M.M.; Win, M.L.; Oyibo, S.O. (13 June 2020). "Adrenal insufficiency secondary to bilateral adrenal hemorrhage: A case report". Cureus. 12 (6) e8596. doi:10.7759/cureus.8596. PMC 7294864. PMID 32550089.
- ↑ Mohr, G.; Hardy, J. (1982). "Hemorrhage, necrosis, and apoplexy in pituitary adenomas". Surg Neurol. 18 (3): 181–189. doi:10.1016/0090-3019(82)90388-3. PMID 7179072.
External links
Texts on Wikisource:
- Black, James Rush (6 April 1875). . Popular Science Monthly. 6.
- Mott, Frederick Walker (1911). "Apoplexy". Encyclopædia Britannica. Vol. 2 (11th ed.). pp. 195–196.