WU polyomavirus


Human polyomavirus 4
Virus classification e
(unranked): Virus
Realm: Monodnaviria
Kingdom: Shotokuvirae
Phylum: Cossaviricota
Class: Papovaviricetes
Order: Sepolyvirales
Family: Polyomaviridae
Genus: Betapolyomavirus
Species:
Human polyomavirus 4

WU polyomavirus (also known as WU virus, WUPyV, or Human polyomavirus 4) is a virus of the family Polyomaviridae. It was discovered in 2007 in samples of human respiratory secretions, originally from a child patient in Australia who presented with clinical signs of pneumonia and in whom other common respiratory viruses were not detected. Follow-up studies identified the presence of WU virus in respiratory secretion samples from patients in Australia and the United States, suggesting that, like other human polyomaviruses, WU virus is widely distributed.[1]

Classification

WU virus was most similar to KI virus and somewhat divergent from the other human polyomaviruses known at the time, JC virus and BK virus. A 2010 proposed classification recommended the division of the polyomaviruses into three genera, containing one genus of avian viruses and two of mammalian viruses; one of the latter was designated Wukipolyomavirus to indicate its two founding members.[2] In an updated classification system for the polyomavirus family proposed in 2016, WU virus is classified as a member of the genus Betapolyomavirus along with BK, JC, and KI.[3]

Genome

Genome structure of the WU virus.[1]

The complete genome of the WU virus has been sequenced and found to be a circular double-stranded DNA genome of 5229 base pairs containing genetic material characteristic of polyomaviruses, encoding five viral proteins: three capsid components, major capsid protein VP1, VP2, and VP3; and two additional proteins involved in replication, the large tumor antigen and small tumor antigen.[1]

History

WU virus was discovered by shotgun sequencing of the nucleic acids found in the respiratory secretions of a young patient diagnosed with pneumonia in whom other known respiratory viruses had not been detected. Sequence homology was detected among the sequences found in the clinical sample and the known genomes of other human polyomaviruses.[1] WU virus was one of two new human polyomaviruses discovered in 2007; the other was KI virus.[4]

Nomenclature

WU virus got its name from Washington University in St. Louis, the institutional affiliation of the researchers who discovered and reported the virus.[1]

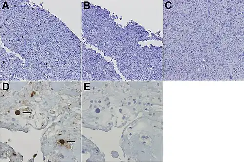
Disease

a-e)WU polyomavirus antigen in bronchoalveolar lavage specimens from lungs transplanted into a recipient

WU virus was originally discovered in respiratory secretions from a patient diagnosed with pneumonia of unknown origin.[1] However, the overall rate of co-infection with other respiratory viruses is high,[1][5] and it is not clear that WU virus itself causes disease.[6] WU virus has not been detected in urine,[1] although many polyomaviruses infect the kidneys and urinary tract and one human polyomavirus, BK virus, is associated with nephropathy in renal transplant patients.[3] Some polyomaviruses are well known as carcinogenic, including the human polyomavirus Merkel cell polyomavirus, but WU virus has also not been associated with cancer.[7] While no clear association with clinical symptoms has been identified, there is weak indication that WU and KI viruses may have pathogenic potential in immunocompromised patients.[8]

Prevalence

Although WU virus has been detected in a variety of locations around the world, indicating a global distribution, estimates of its prevalence vary. In the first report describing the virus, its DNA was detected in 0.7% of respiratory secretion samples in a population in St. Louis, Missouri and 3.0% of samples in Brisbane, Australia.[1] Similar prevalence rates under 5% have been reported in various locations and populations, with some indication of age-dependence.[5] By contrast, one 2009 study placed seroprevalence - that is, prevalence of antibodies against the virus (in this case the VP1 coat protein) - as high as 69% among a population of American adults and 54% among a population of American children.[9] Another 2009 study found around 80% seroprevalence for adults, with age patterns indicating that infants may inherit maternal antibodies against both WU and KI.[10] A 2016 study of polyomavirus seroprevalence found WU virus in 97.4% of samples from another American population.[11] Primary infection is generally believed to occur in childhood.[11]

References

  1. 1.0 1.1 1.2 1.3 1.4 1.5 1.6 1.7 1.8 Gaynor, AM; Nissen, MD; Whiley, DM; Mackay, IM; Lambert, SB; Wu, G; Brennan, DC; Storch, GA; Sloots, TP; Wang, D (4 May 2007). "Identification of a novel polyomavirus from patients with acute respiratory tract infections". PLOS Pathogens. 3 (5): e64. doi:10.1371/journal.ppat.0030064. PMC 1864993. PMID 17480120.
  2. Johne, R; Buck, CB; Allander, T; Atwood, WJ; Garcea, RL; Imperiale, MJ; Major, EO; Ramqvist, T; Norkin, LC (September 2011). "Taxonomical developments in the family Polyomaviridae". Archives of Virology. 156 (9): 1627–34. doi:10.1007/s00705-011-1008-x. PMC 3815707. PMID 21562881.
  3. 3.0 3.1 Polyomaviridae Study Group of the International Committee on Taxonomy of, Viruses; Calvignac-Spencer, S; Feltkamp, MC; Daugherty, MD; Moens, U; Ramqvist, T; Johne, R; Ehlers, B (June 2016). "A taxonomy update for the family Polyomaviridae". Archives of Virology. 161 (6): 1739–50. doi:10.1007/s00705-016-2794-y. PMID 26923930.
  4. Allander, Tobias; Andreasson, Kalle; Gupta, Shawon; Bjerkner, Annelie; Bogdanovic, Gordana; Persson, Mats A. A.; Dalianis, Tina; Ramqvist, Torbjörn; Andersson, Björn (2007-04-01). "Identification of a third human polyomavirus". Journal of Virology. 81 (8): 4130–4136. doi:10.1128/JVI.00028-07. ISSN 0022-538X. PMC 1866148. PMID 17287263.
  5. 5.0 5.1 Abedi Kiasari, B; Vallely, PJ; Corless, CE; Al-Hammadi, M; Klapper, PE (September 2008). "Age-related pattern of KI and WU polyomavirus infection". Journal of Clinical Virology. 43 (1): 123–5. doi:10.1016/j.jcv.2008.05.003. PMC 7108349. PMID 18573691.
  6. Norja, P; Ubillos, I; Templeton, K; Simmonds, P (December 2007). "No evidence for an association between infections with WU and KI polyomaviruses and respiratory disease". Journal of Clinical Virology. 40 (4): 307–11. doi:10.1016/j.jcv.2007.09.008. PMC 7172997. PMID 17997354.
  7. Dalianis, T; Hirsch, HH (15 March 2013). "Human polyomaviruses in disease and cancer". Virology. 437 (2): 63–72. doi:10.1016/j.virol.2012.12.015. PMID 23357733.
  8. Babakir-Mina, M; Ciccozzi, M; Perno, CF; Ciotti, M (August 2013). "The human polyomaviruses KI and WU: virological background and clinical implications". APMIS. 121 (8): 746–54. doi:10.1111/apm.12091. PMID 23782405. S2CID 38133334.
  9. Kean, JM; Rao, S; Wang, M; Garcea, RL (March 2009). "Seroepidemiology of human polyomaviruses". PLOS Pathogens. 5 (3): e1000363. doi:10.1371/journal.ppat.1000363. PMC 2655709. PMID 19325891.
  10. Nguyen, Nang L.; Le, Binh Minh; Wang, David (2009-08-01). "Serologic evidence of frequent human infection with WU and KI polyomaviruses". Emerging Infectious Diseases. 15 (8): 1199–1205. doi:10.3201/eid1508.090270. ISSN 1080-6059. PMC 2815979. PMID 19751580.
  11. 11.0 11.1 Gossai, A; Waterboer, T; Nelson, HH; Michel, A; Willhauck-Fleckenstein, M; Farzan, SF; Hoen, AG; Christensen, BC; Kelsey, KT; Marsit, CJ; Pawlita, M; Karagas, MR (1 January 2016). "Seroepidemiology of Human Polyomaviruses in a US Population". American Journal of Epidemiology. 183 (1): 61–9. doi:10.1093/aje/kwv155. PMC 5006224. PMID 26667254.