Variegate porphyria
| Variegate porphyria | |
|---|---|
| Other names: Mixed hepatic porphyria,[1] Mixed porphyria,[1] South African genetic porphyria,[1]: 525 and South African porphyria.[2] | |
![]() | |
| Protoporphyrinogen IX | |
| Symptoms | skin problems, Enzyme difficiency. |
| Causes | genetic mutations. |
| Treatment | liver transplants. |
Variegate porphyria, also known by several other names, is an autosomal dominant porphyria[3] that can have acute (severe but usually not long-lasting) symptoms along with symptoms that affect the skin. The disorder results from low levels of the enzyme responsible for the seventh step in heme production. Heme is a vital molecule for all of the body's organs. It is a component of hemoglobin, the molecule that carries oxygen in the blood.
Signs and symptoms
When symptoms occur, they can include acute attacks (similar to acute intermittent porphyria) or skin damage. Acute attacks usually begin in adulthood and cause abdominal pain, vomiting, diarrhoea and constipation. During an attack, a person may also experience muscle weakness, seizures, and mental changes such as anxiety and hallucinations. These signs and symptoms are triggered by nongenetic factors such as certain drugs, dieting or fasting, certain hormones and stress.
Some people with variegate porphyria have skin that is overly sensitive to sunlight (photosensitive). Areas of skin exposed to the sun develop severe blistering, scarring, changes in pigmentation, and increased hair growth. Exposed skin becomes fragile and is easily damaged.
Rarely, the signs and symptoms of variegate porphyria can begin in infancy or early childhood. In such cases, the signs and symptoms are usually more severe than those starting later in life.
Genetics

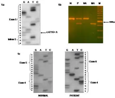
Mutations in the PPOX gene cause variegate porphyria.[4] The PPOX gene makes a membrane bound mitochondrial enzyme called protoporphyrinogen oxidase, which is critical to the chemical process that leads to heme production. The activity of this enzyme is reduced by 50 percent in most people with variegate porphyria. In severe cases that begin early in life, the enzyme is almost completely inactive. Nongenetic factors such as certain drugs, stress, and others listed above can increase the demand for heme and the enzymes required to make heme. The combination of this increased demand and reduced activity of protoporphyrinogen oxidase disrupts heme production and allows byproducts of the process to accumulate in the liver, triggering an acute attack.
Variegate porphyria is inherited in an autosomal dominant pattern, which means the defective gene is located on an autosome, and inheriting one copy of the defective gene from an affected parent is sufficient to cause the disorder. More severe cases result from inheriting two copies of the defective gene.
The entire PPOX gene has about 8kb with 13 exon sequences. It was successfully cloned from a cDNA library in 1995 revealing that, after processing, it is 477 nucleotides long. It has previously been thought that the PPOX gene was located on human chromosome 14,[5] however mapping experiments (FISH) have shown that it is near 1q23.[6] An additional aggravating mutation affecting variegate porphyria can be found at 6p21.3 on the HFE gene.[7]
A 2006 clinical, biochemical and mutational study of eight Swiss variegate porphyria patients and their families found four novel PPOX gene mutations believed to be unique to the Swiss population.[8]
Diagnosis

Diagnosis is by finding raised urine porphyrins, raised faecal porphyrins, markedly raised plasma porphyrins (pathognomic) and finding photosensitive cutaneous lesions on clinical examination.
Treatment
Liver transplant has been used in the treatment of this condition.[9]
Epidemiology
In South Africa, the prevalence of variegate porphyria is approximately 1 in 300.[10] In Finland, the prevalence is approximately 1 in 75,000.[11]
It is also found in Argentina,[12] Sweden,[13] and Australia.[14]
References
- ↑ 1.0 1.1 1.2 James, William D, Berger, Timothy G, et al. (2006). Andrews' Diseases of the Skin: clinical Dermatology. Saunders Elsevier. ISBN 978-0-7216-2921-6.
- ↑ Rapini, Ronald P.; Bolognia, Jean L.; Jorizzo, Joseph L. (2007). Dermatology: 2-Volume Set. St. Louis: Mosby. ISBN 978-1-4160-2999-1.
- ↑ "porphyria variegata" at Dorland's Medical Dictionary
- ↑ Frank J, Christiano AM (1998). "Variegate porphyria: past, present and future". Skin Pharmacol. Appl. Skin Physiol. 11 (6): 310–20. doi:10.1159/000029854. PMID 10343202. S2CID 40665725. Archived from the original on 2011-11-22. Retrieved 2021-12-12.
- ↑ Bissbort S, Hitzeroth HW, du Wentzel DP, et al. (July 1988). "Linkage between the variegate porphyria (VP) and the alpha-1-antitrypsin (PI) genes on human chromosome 14". Hum. Genet. 79 (3): 289–90. doi:10.1007/BF00366255. PMID 3261272. S2CID 27271722.
- ↑ Roberts AG, Whatley SD, Daniels J, et al. (December 1995). "Partial characterization and assignment of the gene for protoporphyrinogen oxidase and variegate porphyria to human chromosome 1q23". Hum. Mol. Genet. 4 (12): 2387–90. doi:10.1093/hmg/4.12.2387. PMID 8634714. Archived from the original on 2020-10-12. Retrieved 2021-12-12.
- ↑ de Villiers JN, Hillermann R, Loubser L, Kotze MJ (August 1999). "Spectrum of mutations in the HFE gene implicated in haemochromatosis and porphyria". Hum. Mol. Genet. 8 (8): 1517–22. doi:10.1093/hmg/8.8.1517. PMID 10401000. Archived from the original on 2020-10-12. Retrieved 2021-12-12.
- ↑ Schneider-Yin X, Minder EI (August 2006). "Swiss patients with variegate porphyria have unique mutations". Swiss Med Wkly. 136 (31–32): 515–9. PMID 16947091. Archived from the original on 2013-01-15.
- ↑ Stojeba N, Meyer C, Jeanpierre C, et al. (July 2004). "Recovery from a variegate porphyria by a liver transplantation". Liver Transpl. 10 (7): 935–8. doi:10.1002/lt.20136. PMID 15237381.
- ↑ Arceci, Robert.; Hann, Ian M.; Smith, Owen P. (2006). Pediatric hematolog. Malden, Mass.: Blackwell Pub. ISBN 978-1-4051-3400-2.
- ↑ Mustajoki, P. (1980). "Variegate porphyria. Twelve years' experience in Finland". The Quarterly Journal of Medicine. 49 (194): 191–203. PMID 7433635.
- ↑ Rossetti MV, Granata BX, Giudice J, Parera VE, Batlle A (2008). "Genetic and biochemical studies in Argentinean patients with variegate porphyria". BMC Med. Genet. 9: 54. doi:10.1186/1471-2350-9-54. PMC 2467414. PMID 18570668.
{{cite journal}}: CS1 maint: unflagged free DOI (link) - ↑ Wiman A, Harper P, Floderus Y (August 2003). "Nine novel mutations in the protoporphyrinogen oxidase gene in Swedish families with variegate porphyria". Clin. Genet. 64 (2): 122–30. doi:10.1034/j.1399-0004.2003.00116.x. PMID 12859407. S2CID 38314848.
- ↑ Rossi E, Chin CY, Beilby JP, Waso HF, Warnich L (September 2002). "Variegate porphyria in Western Australian Aboriginal patients". Internal Medicine Journal. 32 (9–10): 445–450. doi:10.1046/j.1445-5994.2002.00274.x. PMID 12380696. S2CID 34572600.
{{cite journal}}: CS1 maint: multiple names: authors list (link)
This article incorporates public domain text from The U.S. National Library of Medicine Archived 2019-02-04 at the Wayback Machine
External links
| Classification | |
|---|---|
| External resources |
- Variegate porphyria at NIH's Office of Rare Diseases
