Usutu virus
| Usutu virus | |
|---|---|
| |
| Virus classification | |
| (unranked): | Virus |
| Realm: | Riboviria |
| Kingdom: | Orthornavirae |
| Phylum: | Kitrinoviricota |
| Class: | Flasuviricetes |
| Order: | Amarillovirales |
| Family: | Flaviviridae |
| Genus: | Flavivirus |
| Species: | Usutu virus
|
Usutu virus (USUV) is a flavivirus belonging to the Japanese encephalitis complex, which is an emerging zoonotic arbovirus of concern because of its pathogenicity to humans and its similarity in ecology with other emerging arboviruses such as West Nile virus.[1] It mainly infects Culex mosquitoes and birds; humans form a dead-end host. First identified in South Africa in 1959, the virus has caused outbreaks in birds across Europe since 1996. Nearly 50 cases in humans have been reported as of 2019, mainly in Europe. These are predominantly asymptomatic, but some people experience neurological symptoms.
History

USUV was first identified by Bruce McIntosh in Culex neavei mosquitoes in South Africa in 1959,[2][3] and is named after the Usutu River.[4][5] The virus was later identified in Mansonia aurites mosquitoes in Uganda.[3] In 1996, USUV was identified outside Africa for the first time, causing significant mortality among Old World blackbirds in Italy.[6]
Only two human cases have been identified in Africa, in 1981 and 2004, with one benign and one severe case described.[1] The first human case outside Africa was reported in Italy in 2009, where an immunocompromised patient was infected, causing encephalitis.[7]
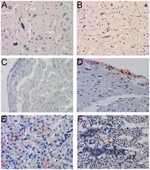
_of_USUVuninfected_(A%252C_C)_and_infected_(B%252C_D%252C_F_and_F)_blackbird_organs_PlosOne.png)
(A) USUV-uninfected blackbird brain.
(B) USUV-infected blackbird brain showing a group of USUV-positive neurons (in red).
(C) USUV-uninfected blackbird heart.
(D) USUV-infected blackbird heart, USUV-positive cells are localized in the endocardium (in red).
(E) USUV-infected blackbird liver, disseminated USUV-positive Kupffer cells (in red).
(F) USUV-infected blackbird lung, disseminated USUV-positive cells (in red).
Virology
USUV has a diameter of 40–60 nm and is enveloped. The genome is a +-sense, single-stranded RNA of 11,064 nucleotides with a 5′ N7-methylguanosine-triphosphate cap. There is one open reading frame, which encodes a 3434-amino acid polyprotein. This is processed to generate eleven proteins: three structural and eight non-structural proteins. Replication occurs in the cytoplasm of the host cell.[3]The virus has eight lineages, five in Europe and three in Africa.[3]
Epidemiology and host range
USUV has been reported from several African countries including Burkina Faso, Central African Republic, Cote d'Ivoire, Morocco, Nigeria, Senegal, South Africa, Tunisia and Uganda,[1][3] as well as from Israel. Since 1996, it has also been found in European countries, including Austria, Belgium, Croatia, Czech Republic, France, Germany, Greece, Hungary, Italy, Serbia, Spain and Switzerland, and more recently the Netherlands, and was spreading across Europe in the late 2010s. Outbreaks are often simultaneous with those of the related West Nile virus.[3]
USUV's host range includes primarily Culex mosquitoes and birds.[1] The main bird hosts are blackbirds (Turdus merula), magpies (Pica pica) and owls, including the great grey owl (Strix nebulosa). In addition to humans, the virus has been isolated from Pipistrellus bats, and anti-USUV antibodies have been found in horses, dogs, deer, wild boar, rodents and shrews. Humans and horses are dead-end hosts.[3] The vector is one of several mosquitoes that bite birds, in Europe particularly Culex pipiens.[3] For example, a 2008–2009 survey of mosquitoes and birds in the Emilia-Romagna region of Italy detected USUV in 89 C. pipiens pools and in 2 Aedes albopictus pools, suggesting the possible involvement of A. albopictus in the virus cycle. The virus was also found in twelve wild birds, primarily Eurasian magpies (P. pica), hooded crows (Corvus cornix), and Eurasian jays (Garrulus glandarius).[8] In Africa multiple Culex species are involved, as well as several species of Aedes and other mosquitoes.[3]
Disease
Two cases of symptomatic infection in humans have been reported from Africa, with fever and skin rash but no neurological symptoms. In Europe, 46 infections were detected up to 2019; these were mainly asymptomatic, but neurological symptoms including encephalitis and meningoencephalitis have been observed.[3]
The virus is highly pathogenic in birds, causing central nervous system symptoms, enlargement of the liver and spleen, and infiltration by inflammatory cells in a wide range of organs.[3]
References
- ↑ 1.0 1.1 1.2 1.3 Nikolay, Birgit; Diallo, Mawlouth; Boye, Cheikh Saad Bouh; Sall, Amadou Alpha (November 2011). "Usutu Virus in Africa". Vector-Borne and Zoonotic Diseases. 11 (11): 1417–1423. doi:10.1089/vbz.2011.0631. PMID 21767160.
- ↑ McIntosh, Bruce M. (1985). "Usutu (SA Ar 1776), nouvel arbovirus du groupe B.". International Catalogue of Arboviruses. 3: 1059–1060.
- ↑ 3.00 3.01 3.02 3.03 3.04 3.05 3.06 3.07 3.08 3.09 3.10 "Usutu virus: A new threat?". Epidemiology and Infection. 147: E232. 2019. doi:10.1017/S0950268819001213. PMC 6625183. PMID 31364580.
{{cite journal}}: Unknown parameter|authors=ignored (help) - ↑ Becker, Norbert; Petrić, Dušan; Zgomba, Marija; Boase, Clive; Madon, Minoo B.; Dahl, Christine; Kaiser, Achim (2020). "§ 3.2.2.6 Usutu virus". Mosquitoes: Identification, Ecology and Control (3rd ed.). Springer. p. 41. ISBN 9783030116231.
- ↑ Worth, Charles Brooke (1971). Mosquito Safari: A Naturalist in Southern Africa. New York: Simon and Schuster. p. 303. ISBN 9780671208271.
- ↑ "Usutu Virus, Italy, 1996". Emerging Infectious Diseases. 19 (2): 274–277. 2013. doi:10.3201/eid1902.121191. PMC 3559058. PMID 23347844.
{{cite journal}}: Unknown parameter|authors=ignored (help) - ↑ Pecorari, M.; Longo, G.; Gennari, W.; Grottola, A.; Sabbatini, A.; Tagliazucchi, S.; Savini, G.; Monaco, F.; Simone, M. (17 December 2009). "First human case of Usutu virus neuroinvasive infection, Italy, August-September 2009". Eurosurveillance. 14 (50). doi:10.2807/ese.14.50.19446-en. hdl:11380/640750. PMID 20070936. Archived from the original on 5 September 2016. Retrieved 20 October 2022.
- ↑ Calzolari M, Gaibani P, Bellini R, Defilippo F, Pierro A, Albieri A, Maioli G, Luppi A, Rossini G, Balzani A, Tamba M, Galletti G, Gelati A, Carrieri M, Poglayen G, Cavrini F, Natalini S, Dottori M, Sambri V, Angelini P, Bonilauri P (2012). "Mosquito, bird and human surveillance of West Nile and Usutu viruses in Emilia-Romagna Region (Italy) in 2010". PLOS ONE. 7 (5): e38058. Bibcode:2012PLoSO...738058C. doi:10.1371/journal.pone.0038058. PMC 3364206. PMID 22666446.
