Tuberculous cellulitis
| Tuberculous cellulitis | |
|---|---|
![]() | |
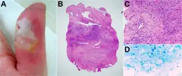
| Tuberculous cellulitis-a) Erythematous swelling of thumb with erosion and maceration b) epidermal necrosis, neutrophilic infiltration in the mid dermis c) caseous necrosis surrounded by histiocytes d) Ziehl–Neelsen staining indicated acid-fast bacilli | |
| Specialty | Dermatology |
Tuberculous cellulitis is a skin condition resulting from infection with mycobacterium, and presenting as cellulitis.[1]: 336
See also
References
- ↑ James, William D.; Berger, Timothy G.; et al. (2006). Andrews' Diseases of the Skin: clinical Dermatology. Saunders Elsevier. ISBN 0-7216-2921-0.
