Subepidermal calcified nodule
| Subepidermal calcified nodule | |
|---|---|
| Other names: Solitary congenital nodular calcification[1] and Winer's nodular calcinosis[1]) | |
![]() | |
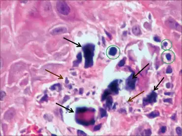
| Histologic sample of subepidermal calcified nodule | |
| Specialty | Dermatology |
Subepidermal calcified nodule is a type of Calcinosis cutis. It's a cutaneous condition characterized by calcification of the skin resulting from the deposition of calcium and phosphorus, occurring most frequently as one or a few skin lesions on the scalp or face of children.[2]: 528 Lesions may also appear on the ear and eyelid.

See also
References
_(2822226156).jpg)