Small-cell melanoma

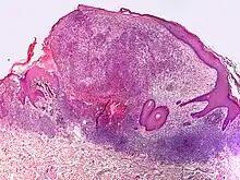
Small-cell melanoma, also known as melanoma with small nevus-like cells, is a cutaneous condition, a tumor that contains variably-sized, large nests of small melanocytes with hyperchromatic nuclei and prominent nucleoli.[1]

See also
References
- ↑ Rapini, Ronald P.; Bolognia, Jean L.; Jorizzo, Joseph L. (2007). Dermatology: 2-Volume Set. St. Louis: Mosby. p. 1752. ISBN 1-4160-2999-0.