Situs inversus
| Situs inversus | |
|---|---|
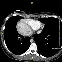
![]() | |
| Situs inversus causes the positions of the heart and lungs to be mirrored. | |
| Specialty | Medical genetics |
| Causes | Genes |
| Frequency | 0.01% |
Situs inversus (also called situs transversus or oppositus) is a congenital condition in which the major visceral organs are reversed or mirrored from their normal positions. The normal arrangement of internal organs is known as situs solitus. Many people with situs inversus have no medical symptoms resulting from the condition, although cardiac problems are the most common complication. Until the advent of modern medicine, it was usually undiagnosed.
Situs inversus is found in about 0.01% of the population, or about 1 person in 10,000. In the most common situation, situs inversus totalis, it involves complete transposition (right to left reversal) of all of the viscera. The heart is not in its usual position in the left chest, but is on the right, a condition known as dextrocardia (lit. 'right-hearted'). Because the relationship between the organs is not changed, most people with situs inversus have no associated medical symptoms or complications.[1]
An uncommon form of situs inversus is isolated levocardia, in which the position of the heart is not mirrored alongside the other organs. Isolated levocardia carries a risk of heart defects, and so patients with the condition may require surgery to correct them.
In rarer cases such as situs ambiguus or heterotaxy, situs cannot be determined. In these patients, the liver may be midline, the spleen absent or multiple, and the bowel malrotated. Often, structures are duplicated or absent altogether. This is more likely to cause medical problems than situs inversus totalis.[2]
Signs and symptoms
In the absence of congenital heart defects, individuals with situs inversus are homeostatically normal, and can live standard healthy lives, without any complications related to their medical condition. There is a 5–10% prevalence of congenital heart disease in individuals with situs inversus totalis, most commonly transposition of the great vessels. The incidence of congenital heart disease is 95% in situs inversus with levocardia.
Many people with situs inversus totalis are unaware of their unusual anatomy until they seek medical attention for an unrelated condition, such as a rib fracture or a bout of appendicitis. The condition may also be discovered during the administration of certain medicines or during tests such as a barium meal or enema.[3] The reversal of the organs may then lead to some confusion, as many signs and symptoms will be on the atypical side. For example, if an individual with situs inversus develops appendicitis, they will present to the physician with lower left abdominal pain, since that is where their appendix lies.[note 1] Thus, in the event of a medical problem, the knowledge that the individual has situs inversus can expedite diagnosis. People with this rare condition should inform their doctors before an examination, so the doctor can redirect their search for heart sounds and other signs. Wearing a medical identification tag can help inform health care providers in the event the person is unable to communicate.
Situs inversus also complicates organ transplantation operations as donor organs will more likely come from situs solitus (normal) donors. As hearts and livers are chiral, geometric problems arise placing an organ into a cavity shaped in the mirror image. For example, a person who requires a heart transplant needs all their great vessels reattached to the donor heart. However, the orientation of these vessels in a person with situs inversus is reversed, necessitating steps so that the blood vessels join properly.
Cause



Situs inversus is generally an autosomal recessive genetic condition, although it can be X-linked or found in identical "mirror image" twins.[4]
About 25% of individuals with situs inversus have an underlying condition known as primary ciliary dyskinesia (PCD). PCD is a dysfunction of the cilia that occurs during early embryonic development. Normally functioning cilia determine the position of the internal organs during early development, and so embryos with PCD have a 50% chance of developing situs inversus. If they do, they are said to have Kartagener syndrome, characterized by the triad of situs inversus, chronic sinusitis, and bronchiectasis. Cilia are also responsible for clearing mucus from the lung, and the dysfunction causes increased susceptibility to lung infections. Kartagener syndrome can also manifest with male infertility as functional cilia are required for proper sperm flagella function.
A marked increase in cases was observed several months after the lifting of the zero-COVID-19 policy in China, which coincided with a rise in SARS-CoV-2 infections. This rare clinical evidence suggests a possible link between infection during pregnancy and the development of situs inversus in the fetus, specifically during gestational weeks 4–6, the critical period for organ positioning.[5]
Effect on anatomy
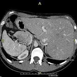
The condition affects all major structures within the thorax and abdomen. Generally, the organs are simply transposed through the sagittal plane. The heart is located on the right side of the thorax, the stomach and spleen on the right side of the abdomen and the liver and gall bladder on the left side. The heart's normal right atrium occurs on the left, and the left atrium is on the right. The lung anatomy is reversed and the left lung has three lobes while the right lung has two lobes. The intestines and other internal structures are also reversed from the normal, and the blood vessels, nerves, and lymphatics are also transposed.
If the heart is swapped to the right side of the thorax, it is known as "situs inversus with dextrocardia" or "situs inversus totalis". If the heart remains on the normal left side of the thorax, a much rarer condition (1 in 2,000,000 of the general population), it is known as "situs inversus with levocardia" or "situs inversus incompletus".
Situs inversus of the optic disc may occur unilaterally or bilaterally, associated with reduced binocularity and stereoacuity resembling monofixation syndrome. It is characterized by emergence of the retinal vessels in an anomalous direction (from the nasal rather than the temporal aspect) with dysversion (tilt) of the optic disc.[6]
Situs inversus does not appear to significantly affect rates of handedness. Based on a 2004 study documenting situs inversus in individuals with primary ciliary dyskinesia, the proportion of right-handedness among those with situs inversus did not differ significantly from that of those with situs solitus.[7] A more recent 2023 study failed to find statistically significant differences in cognition, albeit left-handedness was significantly more common at 26% compared to the 10.6% of general population.[8]
Diagnosis
Diagnosis of situs inversus can be made using imaging techniques such as x-ray, ultrasound, CT scan, and magnetic resonance imaging (MRI).[9]
Any potential treatment would involve a complete and highly invasive surgical rearrangement of the internal viscera of the patient. Such a procedure is unnecessary, given that situs inversus rarely causes any additional symptoms. No treatment, medical or surgical, is prescribed for situs inversus individuals, with medical professionals instead treating any other symptoms the patient may have with awareness of the unique anatomy of the patient.
Occurrence
Situs inversus is rare, affecting 0.01% of the population.[10][11]
History
Dextrocardia (the heart being located on the right side of the thorax) was seen and drawn by Leonardo da Vinci, and then recognised by Marco Aurelio Severino in 1643. Situs inversus was first described more than a century later by Matthew Baillie.[2]
Etymology
The term situs inversus is a short form of the Latin phrase situs inversus viscerum, meaning "inverted position of the internal organs".
Notable cases
Notable individuals with documented cases of situs inversus include:
- Enrique Iglesias, a Spanish singer, songwriter, actor and record producer.[12]
- Catherine O'Hara, Canadian-American actress, writer, and comedian.[13]
- Randy Foye, an American basketball player in the NBA. He has suffered no discernible complications, and the condition is not expected to affect his career as a professional athlete, as all his organs are in reverse.[14]
- Ginggaew Lorsoungnern, a Thai convict executed by firing squad. Her condition was discovered after she was shot in the left side of her chest and survived. After waking up in the morgue she was taken back and executed.[15]
- Tim Miller, director of the Ashtanga Yoga Center in Carlsbad, California.[16]
- Rose Marie Bentley, a Molalla, Oregon woman who unknowingly had the rare variant situs inversus with levocardia, and lived to 99 years without any complications. She donated her body to Oregon Health & Science University, where her condition was discovered during an anatomy class after students noticed the unusual arrangement of her heart's blood vessels, prompting further investigation of the cadaver.[17][18]
See also
- Asplenia
- Chirality (mathematics)
- Ectopia cordis
- Johann Friedrich Meckel, the Elder
- Polysplenia
Notes
- ↑ Intestinal malrotation can also cause the appendix to be on the left side.
References
- ↑ "Definition of Situs inversus totalis". MedicineNet. Archived from the original on 2019-02-02. Retrieved 2015-05-12.
- 1 2 "Situs Inversus Imaging: Overview, Radiography, Computed Tomography". EMedicine. 26 April 2016.
- ↑ medscapestatic.com; Situs inversus of the large intestine discovered after administering a barium enema, eMedicine
- ↑ Gedda L, Sciacca A, Brenci G, et al. (1984). "Situs viscerum specularis in monozygotic twins". Acta Genet Med Gemellol (Roma). 33 (1): 81–85. doi:10.1017/S0001566000007546. PMID 6540028.
- ↑ Guo, Zhenming; Luo, Yingchun; Bi, Yan; Liu, Liangjie; Qi, Yuan (November 2024). "Association between situs inversus and maternal SARS-CoV-2 infection at gestational age 4–6 weeks". Med. 5 (11): 1433–1441.e3. doi:10.1016/j.medj.2024.07.009. PMID 39094582.
{{cite journal}}: CS1 maint: multiple names: authors list (link) - ↑ Kothari, M.; Chatterjee, D. N. (2010). "Unilateral situs inversus of optic disc associated with reduced binocularity and stereoacuity resembling monofixation syndrome". Indian Journal of Ophthalmology. 58 (3): 241–242. doi:10.4103/0301-4738.62654. PMC 2886260. PMID 20413932.
- ↑ I.C. McManus; N. Martin; G.F. Stubbings; E.M.K. Chung; H.M. Mitchison (22 December 2004). "Handedness and situs inversus in primary ciliary dyskinesia". Proceedings of the Royal Society B: Biological Sciences. 271 (1557). Royal Society: 2579–2582. doi:10.1098/rspb.2004.2881. PMC 1691902. PMID 15615683.
- ↑ Gerrits, Robin; Vingerhoets, Guy (2023). "Brain functional segregation, handedness and cognition in situs inversus totalis: A replication study". Neuropsychologia. 191 108731. doi:10.1016/j.neuropsychologia.2023.108731. PMID 37949213.
- ↑ Fulcher, Ann S.; Turner, Mary Ann. Abdominal Manifestations of Situs Abnormalities in Adults. RadioGraphics, 2002. 22(6). p. 1440. http://pubs.rsna.org/doi/pdf/10.1148/rg.226025016
- ↑ Soccorso, Giampiero; Ninan, George K. (February 2012). "Through the looking-glass what you found there". World Journal of Pediatrics. 8 (1): 86. doi:10.1007/s12519-012-0336-6. PMID 22282384.
- ↑ Eitler, Katalin; Bibok, András; Telkes, Gábor (3 March 2022). "Situs Inversus Totalis: A Clinical Review". International Journal of General Medicine. 15: 2437–2449. doi:10.2147/IJGM.S295444. ISSN 1178-7074. PMC 8901252. PMID 35264880.
- ↑ Silver, Katie (28 April 2015). "Here's why some people are left-handed, according to science". sciencealert.com. Science Alert. Archived from the original on 25 December 2018. Retrieved 23 May 2016.
- ↑ Commanducci, Massimo (October 15, 2009). "Catherine O'Hara: particulars". The Globe and Mail. Retrieved February 7, 2021.
- ↑ "Rookie T-Wolf's Organs Reversed". Archived from the original on January 7, 2009. Retrieved February 7, 2021.
- ↑ Jaruboon, Chavoret (8 January 2015). The Last Executioner: Memoirs of Thailand's Last Executioner. Maverick House. ISBN 978-1-908518-41-5.
- ↑ "Tuesday September 16th – Encinitas – "God's Hospital"". Tuesdays with Timji.
- ↑ Foden-Vencil, Kristian (April 8, 2019). "Mollala Woman Lived 99 years with organs inversed". OPB. Retrieved February 7, 2021.
- ↑ Sandee LaMotte (8 April 2019). "She lived for 99 years with organs in all the wrong places and never knew it". CNN.
Further reading
- McManus, Chris (2002). Right Hand, Left Hand. Harvard University Press. ISBN 0-674-00953-3. this book was the 2003 Aventis winner and has a description of the history behind the discovery of this medical condition.
- Yokoyama T, Copeland NG, Jenkins NA, Montgomery CA, Elder FF, Overbeek PA (1993). "Reversal of left-right asymmetry: a situs inversus mutation". Science. 260 (5108): 679–682. Bibcode:1993Sci...260..679Y. doi:10.1126/science.8480178. PMID 8480178.
- Lowe LA, Supp DM, Sampath K, et al. (1996). "Conserved left-right asymmetry of nodal expression and alterations in murine situs inversus". Nature. 381 (6578): 158–161. Bibcode:1996Natur.381..158L. doi:10.1038/381158a0. PMID 8610013. S2CID 4316534.
- Levin M (1997). "Left-right asymmetry in vertebrate embryogenesis". BioEssays. 19 (4): 287–296. doi:10.1002/bies.950190406. PMID 9136626. S2CID 8035548.
- Levin M, Pagan S, Roberts DJ, Cooke J, Kuehn MR, Tabin CJ (1997). "Left/right patterning signals and the independent regulation of different aspects of situs in the chick embryo". Dev. Biol. 189 (1): 57–67. doi:10.1006/dbio.1997.8662. PMID 9281337.
- Logan M, Pagán-Westphal SM, Smith DM, Paganessi L, Tabin CJ (1998). "The transcription factor Pitx2 mediates situs-specific morphogenesis in response to left-right asymmetric signals". Cell. 94 (3): 307–317. doi:10.1016/S0092-8674(00)81474-9. PMID 9708733. S2CID 14375165.
- Stern CD, Wolpert L (2002). "Left-right asymmetry: all hands to the pump". Curr. Biol. 12 (23): R802–803. Bibcode:2002CBio...12.R802S. doi:10.1016/S0960-9822(02)01312-X. PMID 12477404.
External links
- 00698 at CHORUS
- Chest X-ray & CT scan Archived 2014-10-21 at the Wayback Machine Radiology Teaching File
