Septic thrombophlebitis
| Septic thrombophlebitis | |
|---|---|
![]() | |
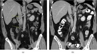
| a)Image findings are consistent with septic deep thrombophlebitis of proximal right ovarian vein b) 2.5 months later, complete resolution of septic thrombophlebitis | |
Septic thrombophlebitis refers to venous thrombosis and inflammation associated with bacteremia.
Signs and symptoms
The clinical presentation of this condition is consistent with the following:[1]
- Mild swelling
- Septic shock
- Fever
Causes
It can occur following throat infections, dental procedures, gingivitis, or central lines.[2] Following pregnancy septic pelvic thrombophlebitis may occur.[3]
Diagnosis
The diagnosis of septic thrombophlebitis is done via the following:[1]
- Contrast-enhanced computed tomography
- MRI
- Ultrasound
- CBC
Treatment
Treatment is mainly antibiotic and may involve heparin.[4]
See also
References
- ↑ 1.0 1.1 Lipe, Demis (2021). Septic thrombophlebitis. StatPearls. Archived from the original on 28 March 2022. Retrieved 27 March 2022.
- ↑ Kar, S; Webel, R (2014). "Septic thrombophlebitis: percutaneous mechanical thrombectomy and thrombolytic therapies". American Journal of Therapeutics. 21 (2): 131–6. doi:10.1097/mjt.0b013e31822de6e3. PMID 22198069. S2CID 26368656.
- ↑ Garcia J, Aboujaoude R, Apuzzio J, Alvarez JR (2006). "Septic pelvic thrombophlebitis: diagnosis and management". Infect Dis Obstet Gynecol. 2006: 15614. doi:10.1155/IDOG/2006/15614. PMC 1581461. PMID 17485796.
- ↑ "Thrombophlebitis, Septic: eMedicine Emergency Medicine". Archived from the original on 2010-07-29. Retrieved 2010-03-28.
External links
| Classification | |
|---|---|
| External resources |
