Selective immunoglobulin A deficiency

Selective immunoglobulin A deficiency
The dimeric IgA molecule. 1 H-chain, 2 L-chain, 3 J-chain, 4 secretory component

Selective immunoglobulin A (IgA) deficiency (SIgAD[1]) is a genetic immunodeficiency, a type of hypogammaglobulinemia. People with this deficiency lack immunoglobulin A (IgA), a type of antibody that protects against infections of the mucous membranes lining the mouth, airways, and digestive tract. It is defined as an undetectable serum IgA level in the presence of normal serum levels of IgG and IgM, in persons older than 4 years. It is the most common of the primary antibody deficiencies. Most such persons remain healthy throughout their lives and are never diagnosed.

Signs and symptoms

85–90% of IgA-deficient individuals are asymptomatic, although the reason for lack of symptoms is relatively unknown and continues to be a topic of interest and controversy.[2] Some patients with IgA deficiency have a tendency to develop recurrent sinopulmonary infections, gastrointestinal infections and disorders, allergies, autoimmune conditions, and malignancies.[2] These infections are generally mild and would not usually lead to an in-depth workup except when unusually frequent. They rarely present with severe reactions, including anaphylaxis, to blood transfusions or intravenous immunoglobulin due to the presence of IgA in these blood products. Patients have an increased susceptibility to pneumonia and recurrent episodes of other respiratory infections and a higher risk of developing autoimmune diseases in middle age.[3]

IgA deficiency and common variable immunodeficiency (CVID) feature similar B cell differentiation arrests,[4] but it does not present the same lymphocyte subpopulation abnormalities.[5] IgA-deficient patients may progress to panhypogammaglobulinemia characteristic of CVID.[4] Selective IgA and CVID are found in the same family.[4]

Cause

Selective IgA deficiency is inherited and has been associated with differences in chromosomes 18, 14 and 6. Selective IgA deficiency is often inherited, but has been associated with some congenital intrauterine infections.[4]

Pathophysiology

Pathogenesis of IgA Deficiency

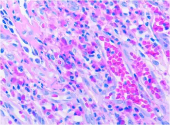
Lung showed inflammation with eosinophilic infiltration, without vasculitis

‘In IgA-deficient patients, the common finding is a maturation defect in B cells to produce IgA’. ‘In IgA deficiency, B cells express IgA; however, they are of immature phenotype with the coexpression of IgM and IgD, and they cannot fully develop into IgA-secreting plasma cells’.[2] There is an inherited inability to produce immunoglobulin A (IgA), a part of the body's defenses against infection at the body's surfaces (mainly the surfaces of the respiratory and digestive systems). As a result, bacteria at these locations are somewhat more able to cause disease.

Types include:

Type OMIM Gene Locus
IGAD1 137100 Unknown; MSH5 suggested[6][7] 6p21
IGAD2 609529 TNFRSF13B 17p11

Diagnosis

When suspected, the diagnosis can be confirmed by laboratory measurement of IgA level in the blood. SIgAD is an IgA level < 7 mg/dL with normal IgG and IgM levels (reference range 70–400 mg/dL for adults; children somewhat less).

Treatment

The treatment consists of identification of co-morbid conditions, preventive measures to reduce the risk of infection, and prompt and effective treatment of infections. Infections in an IgA-deficient person are treated as usual (i.e., with antibiotics). There is no treatment for the underlying disorder.

Use of IVIG as treatment

There is a historical popularity in using intravenous immunoglobulin (IVIG) to treat SIgAD, but the consensus is that there is no evidence that IVIG treats this condition.[8][9][10] In cases where a patient presents SIgAD and another condition which is treatable with IVIG, then a physician may treat the other condition with IVIG.[9] The use of IVIG to treat SIgAD without first demonstrating an impairment of specific antibody formation is not recommended.[9][11][12][10][8]

Prognosis

Prognosis is excellent, although there is an association with autoimmune disease. Of note, selective IgA deficiency can complicate the diagnosis of one such condition, celiac disease, as the deficiency masks the high levels of certain IgA antibodies usually seen in celiac disease.[13]

As opposed to the related condition CVID, selective IgA deficiency is not associated with an increased risk of cancer.[14]

Patients with Selective IgA deficiency rarely have severe reactions to blood transfusions.[15] Although Selective IgA deficiency is common,[16][17][18] severe reactions to blood transfusions are very rare.[15][17][19] People with selective IgA deficiency do not require special blood products unless they have a history of a severe allergic reaction to a blood transfusion.[20][21][22]

Epidemiology

Prevalence varies by population, but is on the order of 1 in 100 to 1 in 1000 people,[16] making it relatively common for a genetic disease. SIgAD occurs in 1 in 39 to 1 in 57 people with celiac disease. This is much higher than the prevalence of selective IgA deficiency in the general population.[23] It is also significantly more common in those with type 1 diabetes.

It is more common in males than in females.[24]

See also

References

  1. Hammarström, L; Vorechovsky, I; Webster, D (May 2000). "Selective IgA deficiency (SIgAD) and common variable immunodeficiency (CVID)". Clinical and Experimental Immunology. 120 (2): 225–231. doi:10.1046/j.1365-2249.2000.01131.x. PMC 1905641. PMID 10792368.
  2. 2.0 2.1 2.2 Yel, L. (2010) 'Selective IgA Deficiency', Journal of Clinical Immunology, 30(1), pp. 10-16.
  3. Koskinen S (1996). "Long-term follow-up of health in blood donors with primary selective IgA deficiency". J Clin Immunol. 16 (3): 165–70. doi:10.1007/BF01540915. PMID 8734360. S2CID 28529140.
  4. 4.0 4.1 4.2 4.3 Harrison's Principles of Internal Medicine, 17th edition, pag. 2058
  5. Litzman J, Vlková M, Pikulová Z, Stikarovská D, Lokaj J (February 2007). "T and B lymphocyte subpopulations and activation/differentiation markers in patients with selective IgA deficiency". Clin. Exp. Immunol. 147 (2): 249–54. doi:10.1111/j.1365-2249.2006.03274.x. PMC 1810464. PMID 17223965.
  6. Sekine H, Ferreira RC, Pan-Hammarström Q, et al. (April 2007). "Role for Msh5 in the regulation of Ig class switch recombination". Proc. Natl. Acad. Sci. U.S.A. 104 (17): 7193–8. Bibcode:2007PNAS..104.7193S. doi:10.1073/pnas.0700815104. PMC 1855370. PMID 17409188.
  7. Online Mendelian Inheritance in Man (OMIM): 137100
  8. 8.0 8.1 American Academy of Allergy, Asthma, and Immunology. "Five Things Physicians and Patients Should Question" (PDF). Choosing Wisely: An Initiative of the ABIM Foundation. American Academy of Allergy, Asthma, and Immunology. Archived (PDF) from the original on November 3, 2012. Retrieved August 14, 2012.
  9. 9.0 9.1 9.2 Francisco A. Bonilla; I. Leonard Bernstein; David A. Khan; Zuhair K. Ballas; Javier Chinen; Michael M. Frank; Lisa J. Kobrynski; Arnold I. Levinson; Bruce Mazer (May 2005). "Practice parameter for the diagnosis and management of primary immunodeficiency" (PDF). Annals of Allergy, Asthma & Immunology. 94 (5): S1 – S63. doi:10.1016/s1081-1206(10)61142-8. PMID 15945566. Archived from the original (PDF) on 11 November 2011. Retrieved 27 August 2012.
  10. 10.0 10.1 Perez, Elena E.; Orange, Jordan S.; Bonilla, Francisco; Chinen, Javier; Chinn, Ivan K.; Dorsey, Morna; El-Gamal, Yehia; Harville, Terry O.; Hossny, Elham (2017). "Update on the use of immunoglobulin in human disease: A review of evidence". Journal of Allergy and Clinical Immunology. 139 (3): S1 – S46. doi:10.1016/j.jaci.2016.09.023. PMID 28041678.
  11. Hammarström, L.; Vorechovsky, I.; Webster, D. (2000). "Selective IgA deficiency (SIgAD) and common variable immunodeficiency (CVID)". Clinical and Experimental Immunology. 120 (2): 225–231. doi:10.1046/j.1365-2249.2000.01131.x. PMC 1905641. PMID 10792368.
  12. Mark Ballow (2008). "85". In Robert R. Rich (ed.). Clinical immunology : principles and practice (3rd ed.). St. Louis, Mo.: Mosby/Elsevier. pp. 1265–1280. ISBN 978-0323044042.
  13. Prince, Harry E.; Gary L. Norman; Walter L. Binder (November 2002). "Validation of an In-House Assay for Cytomegalovirus Immunoglobulin G (CMV IgG) Avidity and Relationship of Avidity to CMV IgM Levels". Clin Vaccine Immunol. 9 (6): 1295–1300. doi:10.1128/CDLI.9.4.824-827.2002. PMC 120015. PMID 12093680.
  14. Mellemkjaer L, Hammarstrom L, Andersen V, et al. (2002). "Cancer risk among patients with IgA deficiency or common variable immunodeficiency and their relatives: a combined Danish and Swedish study". Clin. Exp. Immunol. 130 (3): 495–500. doi:10.1046/j.1365-2249.2002.02004.x. PMC 1906562. PMID 12452841.
  15. 15.0 15.1 Vassallo, R. R. (2020). "Review: IgA anaphylactic transfusion reactions. Part I. Laboratory diagnosis, incidence, and supply of IgA-deficient products". Immunohematology. 20 (4): 226–233. doi:10.21307/immunohematology-2019-454. ISSN 0894-203X. PMID 15679454.
  16. 16.0 16.1 "IgA Deficiency: Immunodeficiency Disorders: Merck Manual Professional". Archived from the original on 2008-02-07. Retrieved 2008-03-01.
  17. 17.0 17.1 Tacquard, Charles; Boudjedir, Karim; Carlier, Monique; Muller, Jean-Yves; Gomis, Philippe; Mertes, Paul Michel (2017). "Hypersensitivity transfusion reactions due to IgA deficiency are rare according to French hemovigilance data". Journal of Allergy and Clinical Immunology. 140 (3): 884–885. doi:10.1016/j.jaci.2017.03.029. PMID 28414063.
  18. Yazdani, R.; Azizi, G.; Abolhassani, H.; Aghamohammadi, A. (2017). "Selective IgA Deficiency: Epidemiology, Pathogenesis, Clinical Phenotype, Diagnosis, Prognosis and Management". Scandinavian Journal of Immunology. 85 (1): 3–12. doi:10.1111/sji.12499. PMID 27763681.
  19. "SHOT Report, Summary and Supplement 2017". Serious Hazards of Transfusion. Archived from the original on 2022-02-15. Retrieved 2019-04-26.
  20. "5.2 Non-infectious hazards of transfusion". Handbook of transfusion medicine. Norfolk, Derek (5th ed.). London: Stationery Office. 2013. ISBN 9780117068469. OCLC 869523772.{{cite book}}: CS1 maint: others (link)
  21. Tinegate, Hazel; Birchall, Janet; Gray, Alexandra; Haggas, Richard; Massey, Edwin; Norfolk, Derek; Pinchon, Deborah; Sewell, Carrock; Wells, Angus (2012). "Guideline on the investigation and management of acute transfusion reactions Prepared by the BCSH Blood Transfusion Task Force". British Journal of Haematology. 159 (2): 143–153. doi:10.1111/bjh.12017. PMID 22928769. S2CID 9150295.
  22. "IgA deficient components". transfusion.com.au. Archived from the original on 2019-03-27. Retrieved 2019-04-26.
  23. McGowan KE, Lyon EM, Butzner JD (July 2008). "Celiac Disease and IgA Deficiency: Complications of Serological Testing Approaches Encountered in the Clinic". Clinical Chemistry. 54 (7): 1203–1209. doi:10.1373/clinchem.2008.103606. PMID 18487281.
  24. Weber-Mzell D, Kotanko P, Hauer AC, et al. (March 2004). "Gender, age and seasonal effects on IgA deficiency: a study of 7293 Caucasians". Eur. J. Clin. Invest. 34 (3): 224–8. doi:10.1111/j.1365-2362.2004.01311.x. PMID 15025682. S2CID 25545688.

External links

Classification
External resources